Skip to main content

Prolactin Antibody (OTI6B1)

Novus Biologicals, part of Bio-Techne | Catalog # NBP2-02142

Novus Biologicals, part of Bio-Techne
Catalog #
Availability
Size / Price
Qty
Loading...
NBP2-02142

Key Product Details

Species Reactivity

Human

Applications

Validated:

Immunohistochemistry, Immunohistochemistry-Paraffin, Western Blot, Flow Cytometry, Immunocytochemistry/ Immunofluorescence

Cited:

Immunohistochemistry, Immunohistochemistry-Paraffin

Label

Unconjugated

Antibody Source

Monoclonal Mouse IgG2A Clone # OTI6B1

Concentration

1 mg/ml

Product Specifications

Immunogen

Full length human recombinant protein of human PRL (NP_000939) produced in HEK293T cell.

Clonality

Monoclonal

Host

Mouse

Isotype

IgG2A

Theoretical MW

25.7 kDa.
Disclaimer note: The observed molecular weight of the protein may vary from the listed predicted molecular weight due to post translational modifications, post translation cleavages, relative charges, and other experimental factors.

Description

Novus Biologicals Mouse Prolactin Antibody (OTI6B1) (NBP2-02142) is a monoclonal antibody validated for use in IHC, WB, Flow and ICC/IF. Anti-Prolactin Antibody: Cited in 1 publication. All Novus Biologicals antibodies are covered by our 100% guarantee.

Scientific Data Images for Prolactin Antibody (OTI6B1)

Western Blot: Prolactin Antibody (OTI6B1) [NBP2-02142]

Western Blot: Prolactin Antibody (OTI6B1) [NBP2-02142]

Western Blot: Prolactin Antibody (6B1) [NBP2-02142] - HEK293T cells were transfected with the pCMV6-ENTRY control (Left lane) or pCMV6-ENTRY Prolactin (Right lane) cDNA for 48 hrs and lysed. Equivalent amounts of cell lysates (5 ug per lane) were separated by SDS-PAGE and immunoblotted with anti-Prolactin.
Immunocytochemistry/Immunofluorescence: Prolactin Antibody (6B1) [NBP2-02142] Staining of COS7 cells transiently transfected by pCMV6-ENTRY Prolactin.
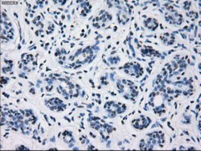
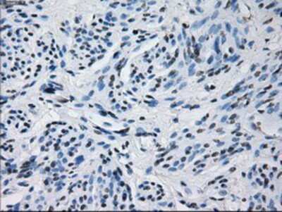
Immunohistochemistry-Paraffin: Prolactin Antibody (OTI6B1) [NBP2-02142]

Immunohistochemistry-Paraffin: Prolactin Antibody (OTI6B1) [NBP2-02142]

Immunohistochemistry-Paraffin: Prolactin Antibody (6B1) [NBP2-02142] - Staining of paraffin-embedded Human Ovary tissue using anti-Prolactin mouse monoclonal antibody.

Applications for Prolactin Antibody (OTI6B1)

Application
Recommended Usage

Flow Cytometry

1:100

Immunocytochemistry/ Immunofluorescence

1:50-100

Immunohistochemistry

1:50

Immunohistochemistry-Paraffin

1:50

Western Blot

1:1000

Formulation, Preparation, and Storage

Purification

Immunogen affinity purified

Formulation

PBS (pH 7.3), 1.0% BSA and 50% Glycerol

Preservative

0.02% Sodium Azide

Concentration

1 mg/ml

Shipping

The product is shipped with polar packs. Upon receipt, store it immediately at the temperature recommended below.

Stability & Storage

Store at -20C. Avoid freeze-thaw cycles.

Background: Prolactin

Various hormones are secreted from the anterior pituitary during development and growth. Prolactin is a growth factor secreted by the anterior pituitary that is necessary for the proliferation and differentiation of the mammary glands.

Alternate Names

PRL

Entrez Gene IDs

5617 (Human)

Gene Symbol

PRL

Additional Prolactin Products

Product Documents for Prolactin Antibody (OTI6B1)

Certificate of Analysis

To download a Certificate of Analysis, please enter a lot number in the search box below.

Product Specific Notices for Prolactin Antibody (OTI6B1)

This product is for research use only and is not approved for use in humans or in clinical diagnosis. Primary Antibodies are guaranteed for 1 year from date of receipt.

Loading...
Loading...
Loading...
Loading...
Loading...