Skip to main content

Prohibitin Antibody (PHB/3228)

Novus Biologicals, part of Bio-Techne | Catalog # NBP3-07857

Novus Biologicals, part of Bio-Techne
Catalog #
Availability
Size / Price
Qty
Loading...
NBP3-07857-100ug
NBP3-07857-20ug

Key Product Details

Species Reactivity

Human

Applications

Immunohistochemistry-Paraffin, Western Blot, Protein Array

Label

Unconjugated

Antibody Source

Monoclonal Mouse IgG2a Kappa Clone # PHB/3228

Concentration

0.2 mg/ml

Product Specifications

Immunogen

Recombinant human Prohibitin protein fragment (aa167-261) (exact sequence is proprietary) (Uniprot: P35232)

Localization

Cytoplasmic (Mitochondria)

Marker

Mitochondrial Marker

Clonality

Monoclonal

Host

Mouse

Isotype

IgG2a Kappa

Theoretical MW

30 kDa.
Disclaimer note: The observed molecular weight of the protein may vary from the listed predicted molecular weight due to post translational modifications, post translation cleavages, relative charges, and other experimental factors.

Description

200ug/ml of antibody purified from Bioreactor Concentrate by Protein A or G. Prepared in 10 mM PBS with 0.05% BSA & 0.05% azide. Also available WITHOUT BSA & azide at 1.0 mg/ml. (NBP3-08337)

Antibody with azide - store at 2 to 8C. Antibody without azide - store at -20 to -80C.

Scientific Data Images for Prohibitin Antibody (PHB/3228)

Western Blot: Prohibitin Antibody (PHB/3228) [NBP3-07857]

Western Blot: Prohibitin Antibody (PHB/3228) [NBP3-07857]

Western Blot: Prohibitin Antibody (PHB/3228) [NBP3-07857] - Western Blot Analysis of human liver tissue lysate using Prohibitin Mouse Monoclonal Antibody (PHB/3228).
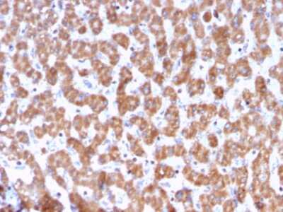
Immunohistochemistry-Paraffin: Prohibitin Antibody (PHB/3228) [NBP3-07857]

Immunohistochemistry-Paraffin: Prohibitin Antibody (PHB/3228) [NBP3-07857]

Immunohistochemistry-Paraffin: Prohibitin Antibody (PHB/3228) [NBP3-07857] - Formalin-fixed, paraffin-embedded human Liver stained with Prohibitin Mouse Monoclonal Antibody (PHB/3228).
Protein Array: Prohibitin Antibody (PHB/3228) [NBP3-07857]

Protein Array: Prohibitin Antibody (PHB/3228) [NBP3-07857]

Protein Array: Prohibitin Antibody (PHB/3228) [NBP3-07857] - Analysis of Protein Array containing more than 19,000 full-length human proteins using Monospecific Mouse Monoclonal Antibody to Prohibitin (PHB/3228).

Applications for Prohibitin Antibody (PHB/3228)

Application
Recommended Usage

Immunohistochemistry-Paraffin

1-2 ug/ml

Western Blot

1-2 ug/ml
Application Notes
Immunohistochemistry (Formalin-fixed): 1-2ug/ml for 30 minutes at RT. Staining of formalin-fixed tissues requires heating tissue sections in 10mM Tris with 1mM EDTA, pH 9.0, for 45 min at 95C followed by cooling at RT for 20 minutes.
Optimal dilution for a specific application should be determined.

Formulation, Preparation, and Storage

Purification

Protein A or G purified

Formulation

10 mM PBS with 0.05% BSA

Preservative

0.05% Sodium Azide

Concentration

0.2 mg/ml

Shipping

The product is shipped with polar packs. Upon receipt, store it immediately at the temperature recommended below.

Stability & Storage

Store at 4C.

Background: Prohibitin

Prohibitin is an evolutionarily conserved protein located in the inner membrane of mitochondria. Prohibitin shows antiproliferative activity and has been proposed to play a role in normal cell cycle regulation, replicative senescence, cellular immortalization and tumor suppression.

Alternate Names

PHB

Gene Symbol

PHB1

UniProt

Additional Prohibitin Products

Product Documents for Prohibitin Antibody (PHB/3228)

Certificate of Analysis

To download a Certificate of Analysis, please enter a lot number in the search box below.

Product Specific Notices for Prohibitin Antibody (PHB/3228)

This product is for research use only and is not approved for use in humans or in clinical diagnosis. Primary Antibodies are guaranteed for 1 year from date of receipt.

Loading...
Loading...
Loading...
Loading...