Skip to main content

Prohibitin 2 Antibody - BSA Free

Novus Biologicals, part of Bio-Techne | Catalog # NBP2-13754

Novus Biologicals, part of Bio-Techne
Catalog #
Availability
Size / Price
Qty
Loading...
NBP2-13754

Key Product Details

Species Reactivity

Human, Mouse, Rat

Applications

Immunohistochemistry, Immunohistochemistry-Paraffin, Western Blot, Immunocytochemistry/ Immunofluorescence

Label

Unconjugated

Antibody Source

Polyclonal Rabbit IgG

Format

BSA Free

Concentration

Concentrations vary lot to lot. See vial label for concentration. If unlisted please contact technical services.

Product Specifications

Immunogen

This antibody was developed against a recombinant protein corresponding to the amino acids: AQRAQFLVEKAKQEQRQKIVQAEGEAEAAKMLGEALSKNPGYIKLRKIRAAQNISKTIATSQNRIYLTADNLVLNLQDESFTRGSDSLIKGKK

Clonality

Polyclonal

Host

Rabbit

Isotype

IgG

Description

Novus Biologicals Rabbit Prohibitin 2 Antibody - BSA Free (NBP2-13754) is a polyclonal antibody validated for use in IHC, WB and ICC/IF. Anti-Prohibitin 2 Antibody: Cited in 1 publication. All Novus Biologicals antibodies are covered by our 100% guarantee.

Scientific Data Images for Prohibitin 2 Antibody - BSA Free

Western Blot: Prohibitin 2 Antibody [NBP2-13754]

Western Blot: Prohibitin 2 Antibody [NBP2-13754]

Western Blot: Prohibitin 2 Antibody [NBP2-13754] - Analysis in human cell line BEWO.
Immunocytochemistry/ Immunofluorescence: Prohibitin 2 Antibody [NBP2-13754]

Immunocytochemistry/ Immunofluorescence: Prohibitin 2 Antibody [NBP2-13754]

Immunocytochemistry/Immunofluorescence: Prohibitin 2 Antibody [NBP2-13754] - Staining of human cell line A-431 shows localization to mitochondria. Antibody staining is shown in green.
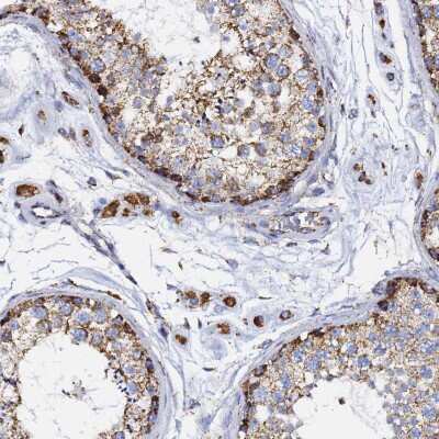
Immunohistochemistry-Paraffin: Prohibitin 2 Antibody [NBP2-13754]

Immunohistochemistry-Paraffin: Prohibitin 2 Antibody [NBP2-13754]

Immunohistochemistry-Paraffin: Prohibitin 2 Antibody [NBP2-13754] - Staining of human testis shows strong cytoplasmic positivity in Leydig cells.

Applications for Prohibitin 2 Antibody - BSA Free

Application
Recommended Usage

Immunocytochemistry/ Immunofluorescence

0.25-2 ug/ml

Immunohistochemistry

1:500 - 1:1000

Immunohistochemistry-Paraffin

1:500 - 1:1000

Western Blot

0.04-0.4 ug/ml
Application Notes
For IHC-Paraffin, HIER pH 6 retrieval is recommended. For ICC/IF Fixation/Permeabilization: PFA/Triton X-100.

Formulation, Preparation, and Storage

Purification

Affinity purified

Formulation

PBS (pH 7.2) and 40% Glycerol

Format

BSA Free

Preservative

0.02% Sodium Azide

Concentration

Concentrations vary lot to lot. See vial label for concentration. If unlisted please contact technical services.

Shipping

The product is shipped with polar packs. Upon receipt, store it immediately at the temperature recommended below.

Stability & Storage

Store at 4C short term. Aliquot and store at -20C long term. Avoid freeze-thaw cycles.

Background: Prohibitin 2

REA, or repressor of estrogen receptor activity, (also known as BAP37, or B-cell receptor-associated protein) is a 37 kD erythrocyte band 7 integral membrane protein that contains an SPFH domain. It is located in the inner mitochondrial membrane that selectively potentiates the inhibitory effectiveness of antiestrogen-occupied ER. REA plays a possible role in cell aging and acts as a mitochondrial protein chaperone. This protein has been shown to interact with the estrogen receptor, prohibitin, and IgM.

Alternate Names

BAP, Bap37, BCAP37, D-Prohibitin, p22, PHB2, PNAS-141, REA

Gene Symbol

PHB2

Additional Prohibitin 2 Products

Product Documents for Prohibitin 2 Antibody - BSA Free

Certificate of Analysis

To download a Certificate of Analysis, please enter a lot number in the search box below.

Product Specific Notices for Prohibitin 2 Antibody - BSA Free

This product is for research use only and is not approved for use in humans or in clinical diagnosis. Primary Antibodies are guaranteed for 1 year from date of receipt.

Loading...
Loading...
Loading...
Loading...