Prohibitin 2 Antibody (JE35-46)
Novus Biologicals, part of Bio-Techne | Catalog # NBP3-32900
Recombinant Monoclonal Antibody
Key Product Details
Species Reactivity
Human, Mouse, Rat
Applications
Immunohistochemistry, Immunohistochemistry-Paraffin, Western Blot, Flow Cytometry, Immunocytochemistry/ Immunofluorescence
Label
Unconjugated
Antibody Source
Recombinant Monoclonal Rabbit IgG Clone # JE35-46 expressed in HEK293
Concentration
1 mg/ml
Product Specifications
Immunogen
Synthetic peptide within Human Prohibitin 2 aa 151-200 / 299. (Uniprot: Q99623)
Localization
Mitochondrion inner membrane, Cytoplasm, Nucleus, Cell membrane.
Clonality
Monoclonal
Host
Rabbit
Isotype
IgG
Theoretical MW
33 kDa.
Disclaimer note: The observed molecular weight of the protein may vary from the listed predicted molecular weight due to post translational modifications, post translation cleavages, relative charges, and other experimental factors.
Disclaimer note: The observed molecular weight of the protein may vary from the listed predicted molecular weight due to post translational modifications, post translation cleavages, relative charges, and other experimental factors.
Description
Novus Biologicals Rabbit Prohibitin 2 Antibody (JE35-46) (NBP3-32900) is a recombinant monoclonal antibody validated for use in IHC, WB, Flow and ICC/IF. All Novus Biologicals antibodies are covered by our 100% guarantee.
Scientific Data Images for Prohibitin 2 Antibody (JE35-46)
Western Blot: Prohibitin 2 Antibody (JE35-46) [NBP3-32900]
Western Blot: Prohibitin 2 Antibody (JE35-46) [NBP3-32900] - Western blot analysis of Prohibitin 2 on different lysates with Rabbit anti-Prohibitin 2 antibody (NBP3-32900) at 1/1,000 dilution.Lane 1: Huh7 cell lysate (15 ug/Lane)
Lane 2: HeLa cell lysate (15 ug/Lane)
Lane 3: HepG2 cell lysate (15 ug/Lane)
Lane 4: PANC-1 cell lysate (15 ug/Lane)
Lane 5: RAW264.7 cell lysate (15 ug/Lane)
Lane 6: NIH/3T3 cell lysate (15 ug/Lane)
Lane 7: PC-12 cell lysate (15 ug/Lane)
Lane 8: Mouse liver tissue lysate (30 ug/Lane)
Lane 9: Rat liver tissue lysate (30 ug/Lane)
Lane 10: Mouse heart tissue lysate (30 ug/Lane)
Lane 11: Rat heart tissue lysate (30 ug/Lane)
Lane 12: Mouse testis tissue lysate (30 ug/Lane)
Lane 13: Rat testis tissue lysate (30 ug/Lane)
Predicted band size: 33 kDa
Observed band size: 33 kDa
Exposure time: 3 minutes;
4-20% SDS-PAGE gel.
Proteins were transferred to a PVDF membrane and blocked with 5% NFDM/TBST for 1 hour at room temperature. The primary antibody (NBP3-32900) at 1/1,000 dilution was used in 5% NFDM/TBST at room temperature for 2 hours. Goat Anti-Rabbit IgG - HRP Secondary Antibody at 1:100,000 dilution was used for 1 hour at room temperature.
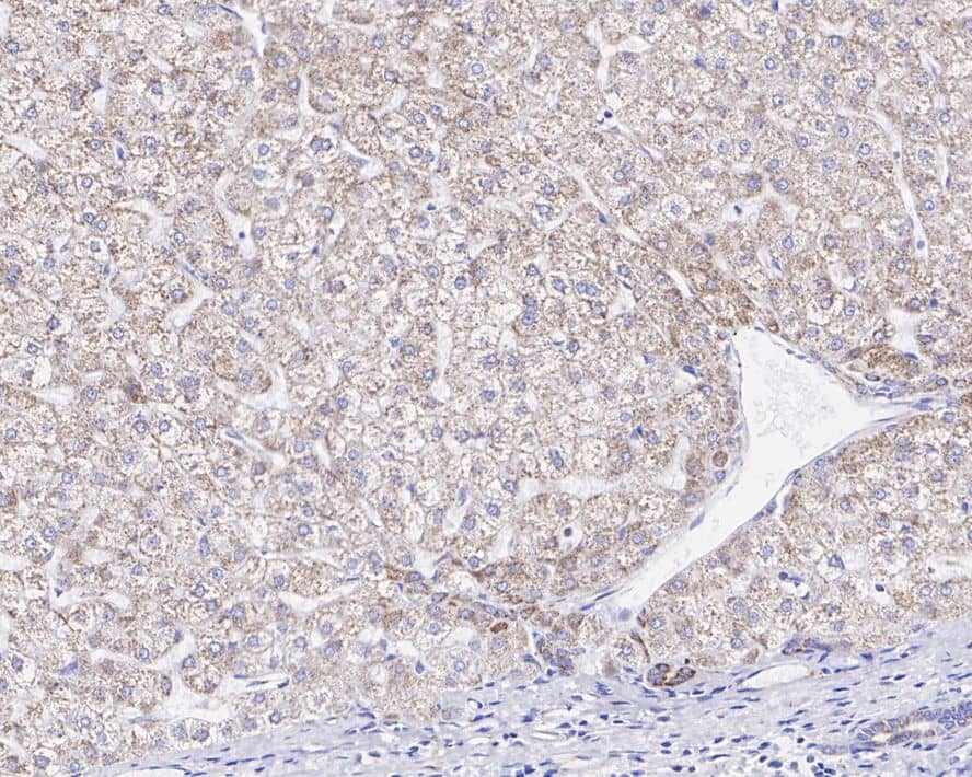
Immunohistochemistry: Prohibitin 2 Antibody (JE35-46) [NBP3-32900]
Immunohistochemistry: Prohibitin 2 Antibody (JE35-46) [NBP3-32900] - Immunohistochemical analysis of paraffin-embedded human liver tissue with Rabbit anti-Prohibitin 2 antibody (NBP3-32900) at 1/1,000 dilution.The section was pre-treated using heat mediated antigen retrieval with Tris-EDTA buffer (pH 9.0) for 20 minutes. The tissues were blocked in 1% BSA for 20 minutes at room temperature, washed with ddH2O and PBS, and then probed with the primary antibody (NBP3-32900) at 1/1,000 dilution for 1 hour at room temperature. The detection was performed using an HRP conjugated compact polymer system. DAB was used as the chromogen. Tissues were counterstained with hematoxylin and mounted with DPX.
Immunocytochemistry/ Immunofluorescence: Prohibitin 2 Antibody (JE35-46) [NBP3-32900]
Immunocytochemistry/ Immunofluorescence: Prohibitin 2 Antibody (JE35-46) [NBP3-32900] - Immunocytochemistry analysis of HeLa cells labeling Prohibitin 2 with Rabbit anti-Prohibitin 2 antibody (NBP3-32900) at 1/100 dilution.Cells were fixed in 4% paraformaldehyde for 10 minutes at 37 ℃, permeabilized with 0.05% Triton X-100 in PBS for 20 minutes, and then blocked with 2% negative goat serum for 30 minutes at room temperature. Cells were then incubated with Rabbit anti-Prohibitin 2 antibody (NBP3-32900) at 1/100 dilution in 2% negative goat serum overnight at 4 ℃. Goat Anti-Rabbit IgG H&L (iFluor™ 488) was used as the secondary antibody at 1/1,000 dilution. Nuclear DNA was labelled in blue with DAPI.
Beta tubulin (red) was stained at 1/200 dilution overnight at +4℃. Goat Anti-Mouse IgG H&L (iFluor™ 594) was used as the secondary antibody at 1/1,000 dilution.
Applications for Prohibitin 2 Antibody (JE35-46)
Application
Recommended Usage
Flow Cytometry
1:500-1:1000
Immunocytochemistry/ Immunofluorescence
1:100
Immunohistochemistry-Paraffin
1:200-1:1000
Western Blot
1:1000
Formulation, Preparation, and Storage
Purification
Protein A purified
Formulation
1*TBS (pH7.4), 0.05% BSA and 40% Glycerol
Preservative
0.05% Sodium Azide
Concentration
1 mg/ml
Shipping
The product is shipped with polar packs. Upon receipt, store it immediately at the temperature recommended below.
Stability & Storage
Store at 4C short term. Aliquot and store at -20C long term. Avoid freeze-thaw cycles.
Background: Prohibitin 2
Alternate Names
BAP, Bap37, BCAP37, D-Prohibitin, p22, PHB2, PNAS-141, REA
Gene Symbol
PHB2
Additional Prohibitin 2 Products
Product Documents for Prohibitin 2 Antibody (JE35-46)
Product Specific Notices for Prohibitin 2 Antibody (JE35-46)
This product is for research use only and is not approved for use in humans or in clinical diagnosis. Primary Antibodies are guaranteed for 1 year from date of receipt.
Loading...
Loading...
Loading...
Loading...
Loading...