Skip to main content

Progesterone R B/NR3C3 Antibody (CL8721) - Azide and BSA Free

Novus Biologicals, part of Bio-Techne | Catalog # NBP3-44136

Novus Biologicals, part of Bio-Techne

Key Product Details

Validated by

Orthogonal Validation

Species Reactivity

Human

Applications

Immunohistochemistry-Paraffin, Western Blot, Immunocytochemistry/ Immunofluorescence

Label

Unconjugated

Antibody Source

Monoclonal Mouse IgG1 Clone # CL8721

Format

Azide and BSA Free

Concentration

LYOPH mg/ml

Product Specifications

Immunogen

This antibody was generated using a recombinant protein sequence of P06401, with the exact immunogen sequence remaining proprietary.

Clonality

Monoclonal

Host

Mouse

Isotype

IgG1

Description

Novus Biologicals Mouse Progesterone R B/NR3C3 Antibody (CL8721) - Azide and BSA Free (NBP3-21167) is a monoclonal antibody validated for use in IHC, WB and ICC/IF. All Novus Biologicals antibodies are covered by our 100% guarantee.

Scientific Data Images for Progesterone R B/NR3C3 Antibody (CL8721) - Azide and BSA Free

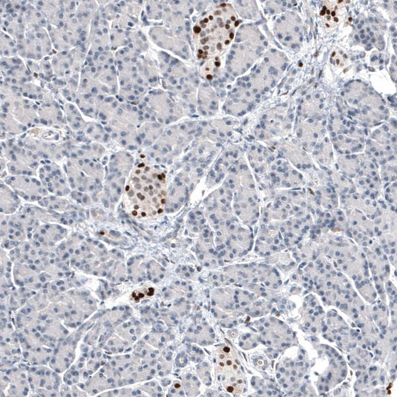
Progesterone R B/NR3C3 Antibody (CL8721) - Azide and BSA Free Immunohistochemistry-Paraffin: Progesterone R B/NR3C3 Antibody [NBP3-44136]

Immunohistochemistry-Paraffin: Progesterone R B/NR3C3 Antibody [NBP3-44136]

Analysis in human endometrium and pancreas tissues using NBP3-44136 antibody. Corresponding Progesterone R B/NR3C3 RNA-seq data are presented for the same tissues.
Progesterone R B/NR3C3 Antibody (CL8721) - Azide and BSA Free Immunohistochemistry-Paraffin: Progesterone R B/NR3C3 Antibody [NBP3-44136]

Immunohistochemistry-Paraffin: Progesterone R B/NR3C3 Antibody [NBP3-44136]

Staining of human Fallopian tube shows strong nuclear positivity in glandular cells.
Progesterone R B/NR3C3 Antibody (CL8721) - Azide and BSA Free Immunohistochemistry-Paraffin: Progesterone R B/NR3C3 Antibody [NBP3-44136]

Immunohistochemistry-Paraffin: Progesterone R B/NR3C3 Antibody [NBP3-44136]

Staining of human cerebral cortex shows no positivity in neurons as expected.

Applications for Progesterone R B/NR3C3 Antibody (CL8721) - Azide and BSA Free

Application
Recommended Usage

Immunocytochemistry/ Immunofluorescence

2-10 ug/ml

Immunohistochemistry-Paraffin

1:2500 - 1:5000

Western Blot

1 ug/ml
Application Notes
Immunocytochemistry/ Immunofluorescence/IF Fixation Permeabilization: Use PFA/Triton X-100. For IHC-Paraffin, HIER pH 6 retrieval is recommended.

Formulation, Preparation, and Storage

Purification

Protein A purified

Reconstitution

Centrifuge the vial of lyophilized antibody at 12,000 x g for 20 seconds. Reconstitute by adding sterile, distilled water to achieve a final antibody concentration of 1mg/ml.

Formulation

Lyophilized from a 0.2 um filtered solution in PBS with Trehalose

Format

Azide and BSA Free

Preservative

No Preservative

Concentration

LYOPH mg/ml

Shipping

The product is shipped at ambient temperature. Upon receipt, store it immediately at the temperature recommended below.

Stability & Storage

Store at 4C short term. Aliquot and store at -20C long term. Avoid freeze-thaw cycles.

Background: Progesterone R B/NR3C3

The progesterone Receptor (PR; NR3C3) is a member of the steroid receptor superfamily which binds progesterone. The progesterone receptor is expressed in uterus, ovary, vagina, fallopian tubes and breast. Progesterone receptors play a central role in diverse reproductive events associated with the establishment and maintenance of pregnancy, alveolar development in the breast, and sexual behavior. Two isoforms of the progesterone receptor have been identified, progesterone receptor-A (PR-A) and progesterone receptor-B (PR-B), 94 and 114 kDa in size, respectively.

The B progesterone receptor (PR-B), or long form, is 933 amino acids (aa) in length. Progesterone receptor-A (PR-A) utilizes a different start site that shortens the N-terminus by 164 amino acids. The N-terminus in both progesterone receptor isoforms is rich in serine that is phosphorylated in response to hormone binding. In the absence of progesterone, few receptor molecules are phosphorylated at Serine 190 (S190). Progesterone increases this number two-fold, providing evidence for hormone stimulation. It has been shown that the two progesterone receptor isoforms can form homodimers as well as heterodimers.

Long Name

Progesterone Receptor B

Alternate Names

PGRB, Progesterone RB

Gene Symbol

PGR

Additional Progesterone R B/NR3C3 Products

Product Documents for Progesterone R B/NR3C3 Antibody (CL8721) - Azide and BSA Free

Certificate of Analysis

To download a Certificate of Analysis, please enter a lot number in the search box below.

Product Specific Notices for Progesterone R B/NR3C3 Antibody (CL8721) - Azide and BSA Free

This product is for research use only and is not approved for use in humans or in clinical diagnosis. Primary Antibodies are guaranteed for 1 year from date of receipt.

Loading...
Loading...
Loading...
Loading...
Loading...