Skip to main content

Profilin 1 Antibody (JA30-13)

Novus Biologicals, part of Bio-Techne | Catalog # NBP2-67078

Recombinant Monoclonal Antibody.
Novus Biologicals, part of Bio-Techne
Catalog #
Availability
Size / Price
Qty
Loading...
NBP2-67078

Key Product Details

Species Reactivity

Human, Mouse, Rat

Applications

Flow Cytometry, Immunocytochemistry/ Immunofluorescence, Immunohistochemistry, Immunohistochemistry-Paraffin, Western Blot

Label

Unconjugated

Antibody Source

Recombinant Monoclonal Rabbit IgG Clone # JA30-13 expressed in HEK293

Concentration

1 mg/ml

Product Specifications

Immunogen

Synthetic peptide within Human Profilin 1 aa 91-140 / 140. (SwissProt: P07737 Human; SwissProt: P62962 Mouse; SwissProt: P62963 Rat)

Localization

Cytoskeleton.

Clonality

Monoclonal

Host

Rabbit

Isotype

IgG

Description

Novus Biologicals Rabbit Profilin 1 Antibody (JA30-13) (NBP2-67078) is a recombinant monoclonal antibody validated for use in IHC, WB, Flow and ICC/IF. Anti-Profilin 1 Antibody: Cited in 1 publication. All Novus Biologicals antibodies are covered by our 100% guarantee.

Scientific Data Images for Profilin 1 Antibody (JA30-13)

Western Blot: Profilin 1 Antibody (JA30-13) [NBP2-67078]

Western Blot: Profilin 1 Antibody (JA30-13) [NBP2-67078]

Western Blot: Profilin 1 Antibody (JA30-13) [NBP2-67078] - Analysis of Profilin 1 on Hela cell using anti-Profilin 1 antibody at 1/1,000 dilution.
Immunocytochemistry/ Immunofluorescence: Profilin 1 Antibody (JA30-13) [NBP2-67078]

Immunocytochemistry/ Immunofluorescence: Profilin 1 Antibody (JA30-13) [NBP2-67078]

Immunocytochemistry/Immunofluorescence: Profilin 1 Antibody (JA30-13) [NBP2-67078] - Staining Profilin 1 in HepG2 cells (green). The nuclear counter stain is DAPI (blue). Cells were fixed in paraformaldehyde, permeabilised with 0.25% Triton X100/PBS.
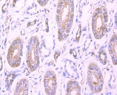
Immunohistochemistry-Paraffin: Profilin 1 Antibody (JA30-13) [NBP2-67078]

Immunohistochemistry-Paraffin: Profilin 1 Antibody (JA30-13) [NBP2-67078]

Immunohistochemistry-Paraffin: Profilin 1 Antibody (JA30-13) [NBP2-67078] - Analysis of paraffin-embedded mouse kidney tissue using anti-Profilin 1 antibody. Counter stained with hematoxylin.

Applications for Profilin 1 Antibody (JA30-13)

Application
Recommended Usage

Flow Cytometry

1:50-1:100

Immunocytochemistry/ Immunofluorescence

1:50-1:200

Immunohistochemistry-Paraffin

1:50-1:200

Western Blot

1:500-1:2000

Formulation, Preparation, and Storage

Purification

Protein A purified

Formulation

TBS (pH7.4), 0.05% BSA, 40% Glycerol

Preservative

0.05% Sodium Azide

Concentration

1 mg/ml

Shipping

The product is shipped with polar packs. Upon receipt, store it immediately at the temperature recommended below.

Stability & Storage

Store at 4C short term. Aliquot and store at -20C long term. Avoid freeze-thaw cycles.

Background: Profilin 1

Profilin is an ubiquitous small (12-15 kDa) phosphoinositides and poly-L-proline binding protein that plays a role both in signal transduction pathways and actin filament dynamics. There are two mammalian profilins with similar biochemical properties but different expression patterns. Whereas profilin I appears to be highly expressed in most tissues except for skeletal muscle, profilin II is predominantly expressed in brain and at lower levels. It is also in expressed in skeletal muscle, the uterus and kidneys. Profilin is a mainly cytosolic protein with higher concentrations in dynamic membrane areas like the leading edge and ruffling membranes.

Alternate Names

PFN1, PROF1, Profilin I

Gene Symbol

PFN1

Additional Profilin 1 Products

Product Documents for Profilin 1 Antibody (JA30-13)

Certificate of Analysis

To download a Certificate of Analysis, please enter a lot number in the search box below.

Product Specific Notices for Profilin 1 Antibody (JA30-13)

This product is for research use only and is not approved for use in humans or in clinical diagnosis. Primary Antibodies are guaranteed for 1 year from date of receipt.

Loading...
Loading...
Loading...
Loading...
Loading...