Skip to main content

Proenkephalin Antibody - BSA Free

Novus Biologicals, part of Bio-Techne | Catalog # NBP3-38239

Novus Biologicals, part of Bio-Techne
Catalog #
Availability
Size / Price
Qty
Loading...
NBP3-38239-20ul
NBP3-38239-100ul

Key Product Details

Species Reactivity

Human, Mouse, Rat

Applications

Immunohistochemistry, Immunohistochemistry-Paraffin, Western Blot, ELISA, Immunocytochemistry/ Immunofluorescence

Label

Unconjugated

Antibody Source

Polyclonal Rabbit IgG

Format

BSA Free

Concentration

Please see the vial label for concentration. If unlisted please contact technical services.

Product Specifications

Immunogen

Recombinant fusion protein containing a sequence corresponding to amino acids 25-267 of human Proenkephalin (NP_001129162.1).

Sequence:
ECSQDCATCSYRLVRPADINFLACVMECEGKLPSLKIWETCKELLQLSKPELPQDGTSTLRENSKPEESHLLAKRYGGFMKRYGGFMKKMDELYPMEPEEEANGSEILAKRYGGFMKKDAEEDDSLANSSDLLKELLETGDNRERSHHQDGSDNEEEVSKRYGGFMRGLKRSPQLEDEAKELQKRYGGFMRRVGRPEWWMDYQKRYGGFLKRFAEALPSDEEGESYSKEVPEMEKRYGGFMRF

Clonality

Polyclonal

Host

Rabbit

Isotype

IgG

Theoretical MW

31 kDa.
Disclaimer note: The observed molecular weight of the protein may vary from the listed predicted molecular weight due to post translational modifications, post translation cleavages, relative charges, and other experimental factors.

Description

Novus Biologicals Rabbit Proenkephalin Antibody - BSA Free (NBP3-38239) is a polyclonal antibody validated for use in IHC, WB, ELISA and ICC/IF. All Novus Biologicals antibodies are covered by our 100% guarantee.

Scientific Data Images for Proenkephalin Antibody - BSA Free

Proenkephalin Antibody

Immunohistochemistry: Proenkephalin Antibody [NBP3-38239] -

Immunohistochemistry: Proenkephalin Antibody [NBP3-38239] - Immunohistochemistry analysis of paraffin-embedded Human prostate using Proenkephalin Rabbit pAb at dilution of 1:100 (40x lens). Microwave antigen retrieval performed with 0.01M PBS Buffer (pH 7.2) prior to IHC staining.
Proenkephalin Antibody

Immunocytochemistry/ Immunofluorescence: Proenkephalin Antibody [NBP3-38239] -

Immunocytochemistry/ Immunofluorescence: Proenkephalin Antibody [NBP3-38239] - Immunofluorescence analysis of paraffin-embedded Human adrenal gland using Proenkephalin Rabbit pAb at dilution of 1:20 (40x lens). Secondary antibody: Cy3-conjugated Goat anti-Rabbit IgG (H+L) at 1:500 dilution. Blue: DAPI for nuclear staining.
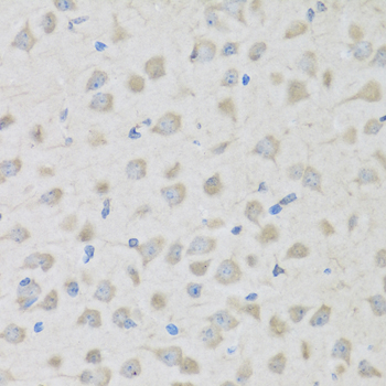
Proenkephalin Antibody

Immunohistochemistry: Proenkephalin Antibody [NBP3-38239] -

Immunohistochemistry: Proenkephalin Antibody [NBP3-38239] - Immunohistochemistry analysis of paraffin-embedded Mouse brain using Proenkephalin Rabbit pAb at dilution of 1:100 (40x lens). Microwave antigen retrieval performed with 0.01M PBS Buffer (pH 7.2) prior to IHC staining.

Applications for Proenkephalin Antibody - BSA Free

Application
Recommended Usage

Immunocytochemistry/ Immunofluorescence

1:50 - 1:200

Immunohistochemistry-Paraffin

1:50 - 1:100

Western Blot

1:100 - 1:500

Formulation, Preparation, and Storage

Purification

Affinity purified

Formulation

PBS (pH 7.3), 50% glycerol

Format

BSA Free

Preservative

0.09% Sodium Azide

Concentration

Please see the vial label for concentration. If unlisted please contact technical services.

Shipping

The product is shipped with polar packs. Upon receipt, store it immediately at the temperature recommended below.

Stability & Storage

Store at -20C. Avoid freeze-thaw cycles.

Background: Proenkephalin

Enkephalins are small peptides derived from large precursers (pro-enkephalin A and B) containing multiple enkephalin copies. They are the most abundant opioid peptides in the body and are widely distributed in the brain and the peripheral nervous system and occur also in the adrenal medulla. Several types of neuroendocrine tumors, including pheochromocytomas, neuroblastomas and bronchial and gastrointestinal endocrine tumors, produce enkephalin.

Alternate Names

enkephalin A, preproenkephalin, proenkephalin, proenkephalin-A

Gene Symbol

PENK

Additional Proenkephalin Products

Product Documents for Proenkephalin Antibody - BSA Free

Certificate of Analysis

To download a Certificate of Analysis, please enter a lot number in the search box below.

Product Specific Notices for Proenkephalin Antibody - BSA Free

This product is for research use only and is not approved for use in humans or in clinical diagnosis. Primary Antibodies are guaranteed for 1 year from date of receipt.

Loading...
Loading...
Loading...
Loading...