Skip to main content

Prodynorphin/PDYN Antibody - BSA Free

Novus Biologicals, part of Bio-Techne | Catalog # NBP3-38195

Novus Biologicals, part of Bio-Techne
Catalog #
Availability
Size / Price
Qty
Loading...
NBP3-38195-20ul
NBP3-38195-100ul

Key Product Details

Species Reactivity

Human, Mouse, Rat

Applications

Immunohistochemistry, Immunohistochemistry-Paraffin, Western Blot, ELISA

Label

Unconjugated

Antibody Source

Polyclonal Rabbit IgG

Format

BSA Free

Concentration

Please see the vial label for concentration. If unlisted please contact technical services.

Product Specifications

Immunogen

Recombinant fusion protein containing a sequence corresponding to amino acids 21-254 of human Prodynorphin/PDYN (NP_077722.1).

Sequence:
DCLSRCSLCAVKTQDGPKPINPLICSLQCQAALLPSEEWERCQSFLSFFTPSTLGLNDKEDLGSKSVGEGPYSELAKLSGSFLKELEKSKFLPSISTKENTLSKSLEEKLRGLSDGFREGAESELMRDAQLNDGAMETGTLYLAEEDPKEQVKRYGGFLRKYPKRSSEVAGEGDGDSMGHEDLYKRYGGFLRRIRPKLKWDNQKRYGGFLRRQFKVVTRSQEDPNAYSGELFDA

Clonality

Polyclonal

Host

Rabbit

Isotype

IgG

Theoretical MW

28 kDa.
Disclaimer note: The observed molecular weight of the protein may vary from the listed predicted molecular weight due to post translational modifications, post translation cleavages, relative charges, and other experimental factors.

Description

Novus Biologicals Rabbit Prodynorphin/PDYN Antibody - BSA Free (NBP3-38195) is a polyclonal antibody validated for use in IHC, WB and ELISA. All Novus Biologicals antibodies are covered by our 100% guarantee.

Scientific Data Images for Prodynorphin/PDYN Antibody - BSA Free

Prodynorphin/PDYN Antibody

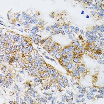
Immunohistochemistry: Prodynorphin/PDYN Antibody [NBP3-38195] -

Immunohistochemistry: Prodynorphin/PDYN Antibody [NBP3-38195] - Immunohistochemistry analysis of paraffin-embedded Human lung cancer using Prodynorphin/PDYN Rabbit pAb at dilution of 1:100 (40x lens). Microwave antigen retrieval performed with 0.01M PBS Buffer (pH 7.2) prior to IHC staining.
Prodynorphin/PDYN Antibody

Immunohistochemistry: Prodynorphin/PDYN Antibody [NBP3-38195] -

Immunohistochemistry: Prodynorphin/PDYN Antibody [NBP3-38195] - Immunohistochemistry analysis of paraffin-embedded Mouse brain using Prodynorphin/PDYN Rabbit pAb at dilution of 1:100 (40x lens). Microwave antigen retrieval performed with 0.01M PBS Buffer (pH 7.2) prior to IHC staining.
Prodynorphin/PDYN Antibody

Western Blot: Prodynorphin/PDYN Antibody [NBP3-38195] -

Western Blot: Prodynorphin/PDYN Antibody [NBP3-38195] - Western blot analysis of various lysates using Prodynorphin/PDYN Rabbit pAb at 1:1000 dilution.
Secondary antibody: HRP-conjugated Goat anti-Rabbit IgG (H+L) at 1:10000 dilution.
Lysates/proteins: 25ug per lane.
Blocking buffer: 3% nonfat dry milk in TBST.
Detection: ECL Basic Kit.
Exposure time: 90s.

Applications for Prodynorphin/PDYN Antibody - BSA Free

Application
Recommended Usage

Immunohistochemistry-Paraffin

1:50 - 1:200

Western Blot

1:500 - 1:2000

Formulation, Preparation, and Storage

Purification

Affinity purified

Formulation

PBS (pH 7.3), 50% glycerol

Format

BSA Free

Preservative

0.02% Sodium Azide

Concentration

Please see the vial label for concentration. If unlisted please contact technical services.

Shipping

The product is shipped with polar packs. Upon receipt, store it immediately at the temperature recommended below.

Stability & Storage

Store at -20C. Avoid freeze-thaw cycles.

Background: Prodynorphin/PDYN

The protein encoded by this gene is a preproprotein that is proteolytically processed to form the secreted opioid peptides beta-neoendorphin, dynorphin, leu-enkephalin, rimorphin, and leumorphin. These peptides are ligands for the kappa-type of opioid receptor. Dynorphin is involved in modulating responses to several psychoactive substances, including cocaine. Multiple alternatively spliced transcript variants encoding the same protein have been found for this gene. [provided by RefSeq, Jul 2010]

Alternate Names

ADCA, Beta-neoendorphin-dynorphin, leu-enkephalin, leumorphin, neoendorphin-dynorphin-enkephalin prepropeptide, PENKB, preprodynorphin, preproenkephalin B, proenkephalin-B, rimorphin, SCA23

Gene Symbol

PDYN

Additional Prodynorphin/PDYN Products

Product Documents for Prodynorphin/PDYN Antibody - BSA Free

Certificate of Analysis

To download a Certificate of Analysis, please enter a lot number in the search box below.

Product Specific Notices for Prodynorphin/PDYN Antibody - BSA Free

This product is for research use only and is not approved for use in humans or in clinical diagnosis. Primary Antibodies are guaranteed for 1 year from date of receipt.

Loading...
Loading...
Loading...
Loading...