PRMT7 Antibody (JE64-78)
Novus Biologicals, part of Bio-Techne | Catalog # NBP3-32855
Recombinant Monoclonal Antibody
Key Product Details
Species Reactivity
Human, Mouse, Rat
Applications
Immunohistochemistry, Immunohistochemistry-Paraffin, Western Blot
Label
Unconjugated
Antibody Source
Recombinant Monoclonal Rabbit IgG Clone # JE64-78 expressed in HEK293
Concentration
1 mg/ml
Product Specifications
Immunogen
Synthetic peptide within Human PRMT7 aa 1-50 / 692. (Uniprot: Q9NVM4)
Localization
Cytoplasm, cytosol, Nucleus
Clonality
Monoclonal
Host
Rabbit
Isotype
IgG
Theoretical MW
78 kDa.
Disclaimer note: The observed molecular weight of the protein may vary from the listed predicted molecular weight due to post translational modifications, post translation cleavages, relative charges, and other experimental factors.
Disclaimer note: The observed molecular weight of the protein may vary from the listed predicted molecular weight due to post translational modifications, post translation cleavages, relative charges, and other experimental factors.
Description
Novus Biologicals Rabbit PRMT7 Antibody (JE64-78) (NBP3-32855) is a recombinant monoclonal antibody validated for use in IHC and WB. All Novus Biologicals antibodies are covered by our 100% guarantee.
Scientific Data Images for PRMT7 Antibody (JE64-78)
Western Blot: PRMT7 Antibody (JE64-78) [NBP3-32855]
Western Blot: PRMT7 Antibody (JE64-78) [NBP3-32855] - Western blot analysis of PRMT7 on different lysates with Rabbit anti-PRMT7 antibody (NBP3-32855) at 1/1,000 dilution.Lane 1: HeLa cell lysate (15 ug/Lane)
Lane 2: Jurkat cell lysate (15 ug/Lane)
Lane 3: HepG2 cell lysate (15 ug/Lane)
Lane 4: HEK-293 cell lysate (15 ug/Lane)
Lane 5: 293T cell lysate (15 ug/Lane)
Lane 6: MCF7 cell lysate (15 ug/Lane)
Lane 7: NIH/3T3 cell lysate (15 ug/Lane)
Lane 8: Mouse testis tissue lysate (30 ug/Lane)
Lane 9: Rat testis tissue lysate (30 ug/Lane)
Predicted band size: 78 kDa
Observed band size: 78 kDa
Exposure time: 3 minutes;
4-20% SDS-PAGE gel.
Proteins were transferred to a PVDF membrane and blocked with 5% NFDM/TBST for 1 hour at room temperature. The primary antibody (NBP3-32855) at 1/1,000 dilution was used in 5% NFDM/TBST at 4C overnight. Goat Anti-Rabbit IgG - HRP Secondary Antibody at 1/50,000 dilution was used for 1 hour at room temperature.
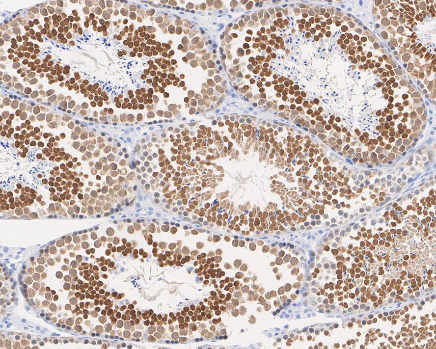
Immunohistochemistry: PRMT7 Antibody (JE64-78) [NBP3-32855]
Immunohistochemistry: PRMT7 Antibody (JE64-78) [NBP3-32855] - Immunohistochemical analysis of paraffin-embedded mouse testis tissue with Rabbit anti-PRMT7 antibody (NBP3-32855) at 1/1,000 dilution.The section was pre-treated using heat mediated antigen retrieval with sodium citrate buffer (pH 6.0) for 2 minutes. The tissues were blocked in 1% BSA for 20 minutes at room temperature, washed with ddH2O and PBS, and then probed with the primary antibody (NBP3-32855) at 1/1,000 dilution for 1 hour at room temperature. The detection was performed using an HRP conjugated compact polymer system. DAB was used as the chromogen. Tissues were counterstained with hematoxylin and mounted with DPX.
Applications for PRMT7 Antibody (JE64-78)
Application
Recommended Usage
Immunohistochemistry-Paraffin
1:1000
Western Blot
1:1000
Formulation, Preparation, and Storage
Purification
Protein A purified
Formulation
1*TBS (pH7.4), 0.05% BSA and 40% Glycerol
Preservative
0.05% Sodium Azide
Concentration
1 mg/ml
Shipping
The product is shipped with polar packs. Upon receipt, store it immediately at the temperature recommended below.
Stability & Storage
Store at 4C short term. Aliquot and store at -20C long term. Avoid freeze-thaw cycles.
Background: PRMT7
Long Name
Protein arginine N-methyltransferase 7
Alternate Names
EC 2.1.1.321, KIAA1933
Gene Symbol
PRMT7
Additional PRMT7 Products
Product Documents for PRMT7 Antibody (JE64-78)
Product Specific Notices for PRMT7 Antibody (JE64-78)
This product is for research use only and is not approved for use in humans or in clinical diagnosis. Primary Antibodies are guaranteed for 1 year from date of receipt.
Loading...
Loading...
Loading...
Loading...