Skip to main content

PRL-2/PTP4A2 Antibody - Azide and BSA Free

Novus Biologicals, part of Bio-Techne | Catalog # NBP2-93937

Novus Biologicals, part of Bio-Techne
Catalog #
Availability
Size / Price
Qty
Loading...
NBP2-93937-0.1ml
NBP2-93937-0.02ml

Key Product Details

Species Reactivity

Human, Mouse, Rat

Applications

Immunohistochemistry, Immunohistochemistry-Paraffin, Western Blot, Immunocytochemistry/ Immunofluorescence

Label

Unconjugated

Antibody Source

Polyclonal Rabbit IgG

Format

Azide and BSA Free

Concentration

Please see the vial label for concentration. If unlisted please contact technical services.

Product Specifications

Immunogen

Recombinant fusion protein containing a sequence corresponding to amino acids 30-100 of human PTP4A2 (NP_536316.1). FTEELKKYGVTTLVRVCDATYDKAPVEKEGIHVLDWPFDDGAPPPNQIVDDWLNLLKTKFREEPGCCVAVH

Clonality

Polyclonal

Host

Rabbit

Isotype

IgG

Theoretical MW

19 kDa.
Disclaimer note: The observed molecular weight of the protein may vary from the listed predicted molecular weight due to post translational modifications, post translation cleavages, relative charges, and other experimental factors.

Scientific Data Images for PRL-2/PTP4A2 Antibody - Azide and BSA Free

Western Blot: PRL-2/PTP4A2 AntibodyAzide and BSA Free [NBP2-93937]

Western Blot: PRL-2/PTP4A2 AntibodyAzide and BSA Free [NBP2-93937]

Western Blot: PRL-2/PTP4A2 Antibody [NBP2-93937] - Analysis of extracts of various cell lines, using PRL-2/PTP4A2 at 1:1000 dilution. Secondary antibody: HRP Goat Anti-Rabbit IgG (H+L) at 1:10000 dilution. Lysates/proteins: 25ug per lane. Blocking buffer: 3% nonfat dry milk in TBST. Detection: ECL Basic Kit . Exposure time: 30s.
Immunocytochemistry/ Immunofluorescence: PRL-2/PTP4A2 Antibody - Azide and BSA Free [NBP2-93937]

Immunocytochemistry/ Immunofluorescence: PRL-2/PTP4A2 Antibody - Azide and BSA Free [NBP2-93937]

Immunocytochemistry/Immunofluorescence: PRL-2/PTP4A2 Antibody [NBP2-93937] - Analysis of C6 cells using PRL-2/PTP4A2 at dilution of 1:100. Blue: DAPI for nuclear staining.
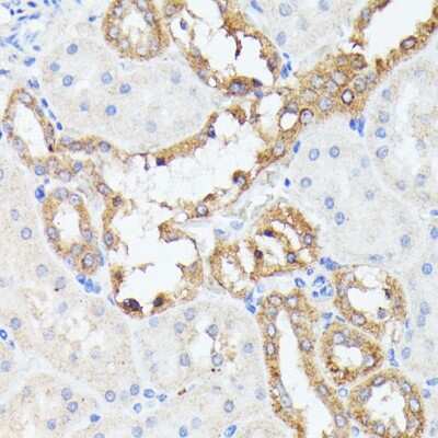
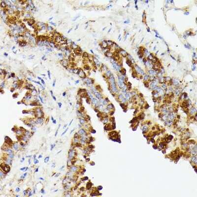
Immunohistochemistry-Paraffin: PRL-2/PTP4A2 Antibody - Azide and BSA Free [NBP2-93937]

Immunohistochemistry-Paraffin: PRL-2/PTP4A2 Antibody - Azide and BSA Free [NBP2-93937]

Immunohistochemistry-Paraffin: PRL-2/PTP4A2 Antibody [NBP2-93937] - Rat kidney using PTP4A2 antibody at dilution of 1:100 (40x lens).Perform microwave antigen retrieval with 10 mM PBS buffer pH 7.2 before commencing with IHC staining protocol.

Applications for PRL-2/PTP4A2 Antibody - Azide and BSA Free

Application
Recommended Usage

Immunocytochemistry/ Immunofluorescence

1:50-1:200

Immunohistochemistry

1:50-1:200

Western Blot

1:200-1:2000

Formulation, Preparation, and Storage

Purification

Affinity purified

Formulation

PBS (pH 7.3), 50% glycerol

Format

Azide and BSA Free

Preservative

0.01% Thimerosal

Concentration

Please see the vial label for concentration. If unlisted please contact technical services.

Shipping

The product is shipped with polar packs. Upon receipt, store it immediately at the temperature recommended below.

Stability & Storage

Store at -20C. Avoid freeze-thaw cycles.

Background: PRL-2/PTP4A2

PTP4A2 is encoded by this gene belongs to a small class of the protein tyrosine phosphatase (PTP) family. PTPs are cell signaling molecules that play regulatory roles in a variety of cellular processes. PTPs in this class contain a protein tyrosine phosphatase catalytic domain and a characteristic C-terminal prenylation motif. This PTP has been shown to primarily associate with plasmic and endosomal membrane through its C-terminal prenylation. This PTP was found to interact with the beta-subunit of Rab geranylgeranyltransferase II (beta GGT II), and thus may function as a regulator of GGT II activity. Overexpression of this gene in mammalian cells conferred a transformed phenotype, which suggested its role in tumorigenesis. Alternatively spliced transcript variants that encode two distinct isoforms have been described. [provided by RefSeq]

Long Name

Phosphatase of Regenerating Liver 2

Alternate Names

HH13, HH7-2, HU-PP-1, OV-1, PRL2, PTP4A2, PTPCAAX2

Gene Symbol

PTP4A2

Additional PRL-2/PTP4A2 Products

Product Documents for PRL-2/PTP4A2 Antibody - Azide and BSA Free

Certificate of Analysis

To download a Certificate of Analysis, please enter a lot number in the search box below.

Product Specific Notices for PRL-2/PTP4A2 Antibody - Azide and BSA Free

This product is for research use only and is not approved for use in humans or in clinical diagnosis. Primary Antibodies are guaranteed for 1 year from date of receipt.

Loading...
Loading...
Loading...
Loading...

⚠ WARNING: This product can expose you to chemicals including Methotrexate, which is known to the State of California to cause reproductive toxicity with developmental effects. For more information, go to www.P65Warnings.ca.gov