Skip to main content

PRKRIR Antibody

Novus Biologicals, part of Bio-Techne | Catalog # NB100-1555

Novus Biologicals, part of Bio-Techne
Catalog #
Availability
Size / Price
Qty
Loading...
NB100-1555

Key Product Details

Validated by

Independent Antibodies, Biological Validation

Species Reactivity

Human, Mouse

Applications

Immunohistochemistry, Immunohistochemistry-Paraffin, Western Blot, Immunoprecipitation

Label

Unconjugated

Antibody Source

Polyclonal Rabbit IgG

Concentration

0.2 mg/ml

Product Specifications

Immunogen

The immunogen recognized by this antibody maps to a region between residues 150 and 200 of human Protein-Kinase, Interferon-inducible double strand RNA dependent Inhibitor, Repressor of (P58 Repressor) using the numbering given in entry NP_004696.2 (GeneI

Clonality

Polyclonal

Host

Rabbit

Isotype

IgG

Scientific Data Images for PRKRIR Antibody

Western Blot: PRKRIR Antibody [NB100-1555]

Western Blot: PRKRIR Antibody [NB100-1555]

Western Blot: PRKRIR Antibody [NB100-1555] - Detection of PRKRIR on HeLa whole cell lysate. PRKRIR was also immunoprecipitated using rabbit anti-PRKRIR antibody NB100-1554.
Immunohistochemistry: PRKRIR Antibody [NB100-1555]

Immunohistochemistry: PRKRIR Antibody [NB100-1555]

Immunohistochemistry: PRKRIR Antibody [NB100-1555] - Sample: FFPE sections of human ovarian carcinoma (left) and mouse squamous cell carcinoma (right). Antibody: Affinity purified rabbit anti- PRKRIR used at a dilution of 1:1,000 (0.2ug/ml) and 1:200 (1ug/ml). Detection: DAB
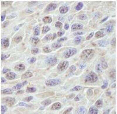
Immunohistochemistry-Paraffin: PRKRIR Antibody [NB100-1555]

Immunohistochemistry-Paraffin: PRKRIR Antibody [NB100-1555]

Immunohistochemistry-Paraffin: PRKRIR Antibody [NB100-1555] - FFPE section of human skin basal cell carcinoma. Affinity purified rabbit anti-PRKRIR used at a dilution of 1:250.

Applications for PRKRIR Antibody

Application
Recommended Usage

Immunohistochemistry

1:10-1:500

Immunohistochemistry-Paraffin

1:10-1:500

Immunoprecipitation

1-4 ug/mg of lysate

Western Blot

1:2000-1:10000

Formulation, Preparation, and Storage

Purification

Immunogen affinity purified

Formulation

TBS and 0.1% BSA

Preservative

0.09% Sodium Azide

Concentration

0.2 mg/ml

Shipping

The product is shipped with polar packs. Upon receipt, store it immediately at the temperature recommended below.

Stability & Storage

Store at 4C. Do not freeze.

Background: PRKRIR

P58IPK is an inhibitor of the serine/threonine protein kinase, PKR. P58IPK functions to repress eukaryotic initiation factor 2-alpha subunit (eIF-2alpha) phosphorylation by PKR. PRKRIR, also designated P52RIPK, is a P58IPK interacting protein that abrogates P58IPK mediated suppression of PKR activity. PRKRIR is also known as 52 kDa repressor of the inhibitor of the protein kinase, p58IPK-interacting protein, 58 kDa interferon-induced protein kinase-interacting protein, P52rIPK, death-associated protein 4, THAP domain-containing protein 0, and MGC102750.

Alternate Names

58 kDa interferon-induced protein kinase-interacting protein, DAP452 kDa repressor of the inhibitor of the protein kinase, Death-associated protein 4, inhibitor of protein kinase PKR, MGC102750, P52rIPK, p58IPK-interacting protein, protein-kinase, interferon-inducible double stranded RNA dependent inhibitor, repressor of (P58 repressor), THAP domain-containing protein 0, THAP0

Entrez Gene IDs

5612 (Human); 72981 (Mouse)

Gene Symbol

THAP12

Additional PRKRIR Products

Product Documents for PRKRIR Antibody

Certificate of Analysis

To download a Certificate of Analysis, please enter a lot number in the search box below.

Product Specific Notices for PRKRIR Antibody

This product is for research use only and is not approved for use in humans or in clinical diagnosis. Primary Antibodies are guaranteed for 1 year from date of receipt.

Loading...
Loading...
Loading...
Loading...