Skip to main content

PREX2 Antibody - BSA Free

Novus Biologicals, part of Bio-Techne | Catalog # NBP1-84275

Novus Biologicals, part of Bio-Techne
Catalog #
Availability
Size / Price
Qty
Loading...
NBP1-84275
NBP1-84275-25ul

Key Product Details

Validated by

Orthogonal Validation

Species Reactivity

Validated:

Human

Cited:

Human

Predicted:

Mouse (94%), Rat (93%). Backed by our 100% Guarantee.

Applications

Validated:

Immunohistochemistry, Immunohistochemistry-Paraffin

Cited:

IF/IHC

Label

Unconjugated

Antibody Source

Polyclonal Rabbit IgG

Format

BSA Free

Concentration

Concentrations vary lot to lot. See vial label for concentration. If unlisted please contact technical services.

Product Specifications

Immunogen

This antibody was developed against Recombinant Protein corresponding to amino acids: GLGFQIRGFGPSVVHAVGRGTVAAAAGLHPGQCIIKVNGINVSKETHASVIAHVTACRKYRRPTKQDSIQWVYNSIESAQEDLQKSHSKPPGDEAGDAFDCKVEEVIDKFNTMAIIDGKKEHVSLTVDNVHLEYGVVYEYDSTAGIKCNV

Clonality

Polyclonal

Host

Rabbit

Isotype

IgG

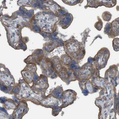
Scientific Data Images for PREX2 Antibody - BSA Free

Immunohistochemistry-Paraffin: PREX2 Antibody [NBP1-84275]

Immunohistochemistry-Paraffin: PREX2 Antibody [NBP1-84275]

Immunohistochemistry-Paraffin: PREX2 Antibody [NBP1-84275] - Staining of human small intestine shows moderate to strong membranous positivity in glandular cells.
Immunohistochemistry-Paraffin: PREX2 Antibody [NBP1-84275]

Immunohistochemistry-Paraffin: PREX2 Antibody [NBP1-84275]

Immunohistochemistry-Paraffin: PREX2 Antibody [NBP1-84275] - Staining of human colorectal cancer shows strong membranous positivity in tumor cells.
Immunohistochemistry-Paraffin: PREX2 Antibody [NBP1-84275]

Immunohistochemistry-Paraffin: PREX2 Antibody [NBP1-84275]

Immunohistochemistry-Paraffin: PREX2 Antibody [NBP1-84275] - Staining of human pancreas shows strong membranous positivity in a subset of exocrine glandular cells.

Applications for PREX2 Antibody - BSA Free

Application
Recommended Usage

Immunohistochemistry

1:1000 - 1:2500

Immunohistochemistry-Paraffin

1:1000 - 1:2500
Application Notes
For IHC-Paraffin, HIER pH 6 retrieval is recommended.

Formulation, Preparation, and Storage

Purification

Affinity purified

Formulation

PBS (pH 7.2) and 40% Glycerol

Format

BSA Free

Preservative

0.02% Sodium Azide

Concentration

Concentrations vary lot to lot. See vial label for concentration. If unlisted please contact technical services.

Shipping

The product is shipped with polar packs. Upon receipt, store it immediately at the temperature recommended below.

Stability & Storage

Store at 4C short term. Aliquot and store at -20C long term. Avoid freeze-thaw cycles.

Background: PREX2

PREX2 functions as a RAC1 guanine nucleotide exchange factor (GEF), activating Rac proteins by exchanging bound GDPfor free GTP. Its activity is synergistically activated by phosphatidylinositol-3,4,5-triphosphate and the beta gammasubunits of heterotrimeric G

Alternate Names

DEP domain-containing protein 2, DEP.2, DEPDC2, phosphatidylinositol 34,5-trisphosphate-dependent Rac exchanger 2 protein, phosphatidylinositol-34,5-trisphosphate-dependent Rac exchange factor 2, P-REX2,6230420N16Rik, PtdIns(34,5)-dependent Rac exchanger 2

Gene Symbol

PREX2

Additional PREX2 Products

Product Documents for PREX2 Antibody - BSA Free

Certificate of Analysis

To download a Certificate of Analysis, please enter a lot number in the search box below.

Product Specific Notices for PREX2 Antibody - BSA Free

This product is for research use only and is not approved for use in humans or in clinical diagnosis. Primary Antibodies are guaranteed for 1 year from date of receipt.

Loading...
Loading...
Loading...
Loading...