PRELID2 Antibody - BSA Free
Novus Biologicals, part of Bio-Techne | Catalog # NBP1-81937
Key Product Details
Species Reactivity
Validated:
Human
Predicted:
Mouse (90%). Backed by our 100% Guarantee.
Applications
Immunohistochemistry, Immunohistochemistry-Paraffin, Western Blot, Immunocytochemistry/ Immunofluorescence
Label
Unconjugated
Antibody Source
Polyclonal Rabbit IgG
Format
BSA Free
Concentration
Concentrations vary lot to lot. See vial label for concentration. If unlisted please contact technical services.
Product Specifications
Immunogen
This antibody was developed against Recombinant Protein corresponding to amino acids: QLEEESWLNPRERNMAIRSHCLTWTQYASMKEESVFRESMENPNWTEFIQRGRISITGVGFLNCVLETFASTFLRQGAQKGIRIMEMLLKEQCG
Reactivity Notes
Immunogen displays the following percentage of sequence identity for non-tested species: Rat (89%)
Clonality
Polyclonal
Host
Rabbit
Isotype
IgG
Scientific Data Images for PRELID2 Antibody - BSA Free
Western Blot: PRELID2 Antibody [NBP1-81937]
Western Blot: PRELID2 Antibody [NBP1-81937] - Analysis in control (vector only transfected HEK293T lysate) and PRELID2 over-expression lysate (Co-expressed with a C-terminal myc-DDK tag (3.1 kDa) in mammalian HEK293T cells).Immunocytochemistry/ Immunofluorescence: PRELID2 Antibody [NBP1-81937]
Immunocytochemistry/Immunofluorescence: PRELID2 Antibody [NBP1-81937] - Immunofluorescent staining of human cell line A-431 shows localization to nucleoplasm.Immunohistochemistry-Paraffin: PRELID2 Antibody [NBP1-81937] -
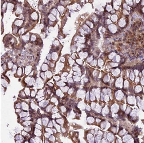
Immunohistochemistry-Paraffin: PRELID2 Antibody [NBP1-81937] -Staining of human small intestine shows moderate cytoplasmic positivity in glandular cells.Applications for PRELID2 Antibody - BSA Free
Application
Recommended Usage
Immunocytochemistry/ Immunofluorescence
0.25-2 ug/ml
Immunohistochemistry
1:20 - 1:50
Immunohistochemistry-Paraffin
1:20 - 1:50
Western Blot
0.04-0.4 ug/ml
Application Notes
IHC-Paraffin, HIER pH 6 retrieval is recommended. ICC/IF, Fixation Permeabilization: Use PFA/Triton X-100.
Formulation, Preparation, and Storage
Purification
Affinity purified
Formulation
PBS (pH 7.2) and 40% Glycerol
Format
BSA Free
Preservative
0.02% Sodium Azide
Concentration
Concentrations vary lot to lot. See vial label for concentration. If unlisted please contact technical services.
Shipping
The product is shipped with polar packs. Upon receipt, store it immediately at the temperature recommended below.
Stability & Storage
Store at 4C short term. Aliquot and store at -20C long term. Avoid freeze-thaw cycles.
Background: PRELID2
Alternate Names
FLJ38376, MGC21644, PRELI domain containing 2, PRELI domain-containing protein 2
Gene Symbol
PRELID2
Additional PRELID2 Products
Product Documents for PRELID2 Antibody - BSA Free
Product Specific Notices for PRELID2 Antibody - BSA Free
This product is for research use only and is not approved for use in humans or in clinical diagnosis. Primary Antibodies are guaranteed for 1 year from date of receipt.
Loading...
Loading...
Loading...
Loading...