Skip to main content

PRDM6 Antibody - BSA Free

Novus Biologicals, part of Bio-Techne | Catalog # NBP1-91022

Novus Biologicals, part of Bio-Techne
Catalog #
Availability
Size / Price
Qty
Loading...
NBP1-91022
NBP1-91022-25ul

Key Product Details

Species Reactivity

Validated:

Human

Predicted:

Mouse (96%), Rat (94%). Backed by our 100% Guarantee.

Applications

Immunohistochemistry, Immunohistochemistry-Paraffin

Label

Unconjugated

Antibody Source

Polyclonal Rabbit IgG

Format

BSA Free

Concentration

Concentrations vary lot to lot. See vial label for concentration. If unlisted please contact technical services.

Product Specifications

Immunogen

This antibody was developed against Recombinant Protein corresponding to amino acids: RGTELLVWYNDSYTSFFGIPLQCIAQDENLNVPSTVMEAMCRQDALQPFNKSSKLAPTTQQRSVVFPQTPCSRNFSLLDKSG

Clonality

Polyclonal

Host

Rabbit

Isotype

IgG

Scientific Data Images for PRDM6 Antibody - BSA Free

PRDM6 Antibody

Immunohistochemistry-Paraffin: PRDM6 Antibody [NBP1-91022] -

Immunohistochemistry-Paraffin: PRDM6 Antibody [NBP1-91022] - Staining of human cerebral cortex shows strong nucleus-nucleus membranous positivity in neurons.
PRDM6 Antibody

Immunohistochemistry-Paraffin: PRDM6 Antibody [NBP1-91022] -

Immunohistochemistry-Paraffin: PRDM6 Antibody [NBP1-91022] - Staining of human cerebellum shows strong nucleus-nucleus membranous positivity in molecular layer.
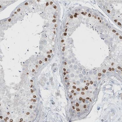
PRDM6 Antibody

Immunohistochemistry-Paraffin: PRDM6 Antibody [NBP1-91022] -

Immunohistochemistry-Paraffin: PRDM6 Antibody [NBP1-91022] -Staining of human testis shows strong nucleus-nucleus membranous positivity in subset of cells in seminiferous ducts.

Applications for PRDM6 Antibody - BSA Free

Application
Recommended Usage

Immunohistochemistry

1:20 - 1:50

Immunohistochemistry-Paraffin

1:20 - 1:50
Application Notes
IHC-P,HIER pH6 retrieval is recommended.

Formulation, Preparation, and Storage

Purification

Affinity purified

Formulation

PBS (pH 7.2) and 40% Glycerol

Format

BSA Free

Preservative

0.02% Sodium Azide

Concentration

Concentrations vary lot to lot. See vial label for concentration. If unlisted please contact technical services.

Shipping

The product is shipped with polar packs. Upon receipt, store it immediately at the temperature recommended below.

Stability & Storage

Store at 4C short term. Aliquot and store at -20C long term. Avoid freeze-thaw cycles.

Background: PRDM6

Alternate Names

PRDM6 PR domain containing 6, putative histone-lysine N-methyltransferase PRDM6

Gene Symbol

PRDM6

Additional PRDM6 Products

Product Documents for PRDM6 Antibody - BSA Free

Certificate of Analysis

To download a Certificate of Analysis, please enter a lot number in the search box below.

Product Specific Notices for PRDM6 Antibody - BSA Free

This product is for research use only and is not approved for use in humans or in clinical diagnosis. Primary Antibodies are guaranteed for 1 year from date of receipt.

Loading...
Loading...
Loading...
Loading...