PRDM5 Antibody - BSA Free
Novus Biologicals, part of Bio-Techne | Catalog # NBP2-93069
Key Product Details
Species Reactivity
Human, Mouse, Rat
Applications
Immunohistochemistry, Immunohistochemistry-Paraffin, Western Blot, Immunocytochemistry/ Immunofluorescence
Label
Unconjugated
Antibody Source
Polyclonal Rabbit IgG
Format
BSA Free
Concentration
Please see the vial label for concentration. If unlisted please contact technical services.
Product Specifications
Immunogen
Recombinant fusion protein containing a sequence corresponding to amino acids 1-100 of human PRDM5 (NP_061169.2). MLGMYVPDRFSLKSSRVQDGMGLYTARRVRKGEKFGPFAGEKRMPEDLDENMDYRLMWEVRGSKGEVLYILDATNPRHSNWLRFVHEAPSQEQKNLAAIQ
Clonality
Polyclonal
Host
Rabbit
Isotype
IgG
Description
Novus Biologicals Rabbit PRDM5 Antibody - BSA Free (NBP2-93069) is a polyclonal antibody validated for use in IHC, WB and ICC/IF. All Novus Biologicals antibodies are covered by our 100% guarantee.
Scientific Data Images for PRDM5 Antibody - BSA Free
Western Blot: PRDM5 AntibodyBSA Free [NBP2-93069]
Western Blot: PRDM5 Antibody [NBP2-93069] - Analysis of extracts of various cell lines, using PRDM5 at 1:1000 dilution. Secondary antibody: HRP Goat Anti-Rabbit IgG (H+L) at 1:10000 dilution. Lysates/proteins: 25ug per lane. Blocking buffer: 3% nonfat dry milk in TBST. Detection: ECL Basic Kit . Exposure time: 90s.Immunocytochemistry/ Immunofluorescence: PRDM5 Antibody - BSA Free [NBP2-93069]
Immunocytochemistry/Immunofluorescence: PRDM5 Antibody [NBP2-93069] - Analysis of A549 cells using PRDM5 . Blue: DAPI for nuclear staining.Immunohistochemistry-Paraffin: PRDM5 Antibody - BSA Free [NBP2-93069]
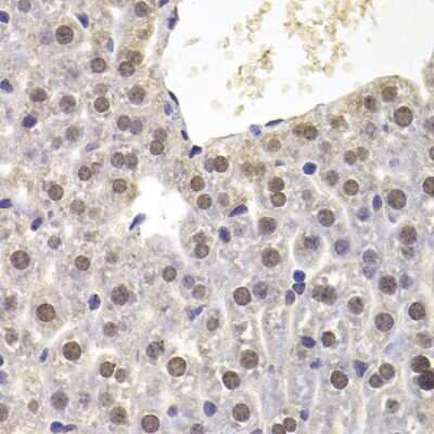
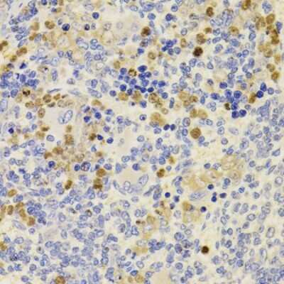
Immunohistochemistry-Paraffin: PRDM5 Antibody [NBP2-93069] - Paraffin-embedded rat spleen using PRDM5 .Applications for PRDM5 Antibody - BSA Free
Application
Recommended Usage
Immunocytochemistry/ Immunofluorescence
1:50-1:200
Immunohistochemistry
1:50-1:200
Western Blot
1:500-1:2000
Formulation, Preparation, and Storage
Purification
Affinity purified
Formulation
PBS (pH 7.3), 50% glycerol
Format
BSA Free
Preservative
0.02% Sodium Azide
Concentration
Please see the vial label for concentration. If unlisted please contact technical services.
Shipping
The product is shipped with polar packs. Upon receipt, store it immediately at the temperature recommended below.
Stability & Storage
Store at -20C. Avoid freeze-thaw cycles.
Background: PRDM5
Alternate Names
PFM2PR domain-containing protein 5, PR domain containing 5, PR domain zinc finger protein 5
Gene Symbol
PRDM5
Additional PRDM5 Products
Product Documents for PRDM5 Antibody - BSA Free
Product Specific Notices for PRDM5 Antibody - BSA Free
This product is for research use only and is not approved for use in humans or in clinical diagnosis. Primary Antibodies are guaranteed for 1 year from date of receipt.
Loading...
Loading...
Loading...
Loading...