Skip to main content

PPTC7 Antibody - BSA Free

Novus Biologicals, part of Bio-Techne | Catalog # NBP1-90653

Novus Biologicals, part of Bio-Techne
Catalog #
Availability
Size / Price
Qty
Loading...
NBP1-90653-25ul
NBP1-90653

Key Product Details

Validated by

Independent Antibodies

Species Reactivity

Validated:

Human

Predicted:

Mouse (99%), Rat (99%). Backed by our 100% Guarantee.

Applications

Immunohistochemistry, Immunohistochemistry-Paraffin, Western Blot

Label

Unconjugated

Antibody Source

Polyclonal Rabbit IgG

Format

BSA Free

Concentration

Concentrations vary lot to lot. See vial label for concentration. If unlisted please contact technical services.

Product Specifications

Immunogen

This antibody was developed against Recombinant Protein corresponding to amino acids: LGDIILTATDGLFDNMPDYMILQELKKLKNSNYESIQQTARSIAEQAHELAYDPNYMSPFAQFACDNGLNVRGGKPDDITVLLSIVAEY

Clonality

Polyclonal

Host

Rabbit

Isotype

IgG

Scientific Data Images for PPTC7 Antibody - BSA Free

Immunohistochemistry-Paraffin: PPTC7 Antibody [NBP1-90653]

Immunohistochemistry-Paraffin: PPTC7 Antibody [NBP1-90653]

Immunohistochemistry-Paraffin: PPTC7 Antibody [NBP1-90653] - Staining of human stomach shows moderate cytoplasmic positivity in glandular cells.
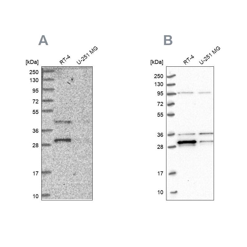
PPTC7 Antibody - BSA Free Western Blot: PPTC7 Antibody - BSA Free [NBP1-90653]

Western Blot: PPTC7 Antibody - BSA Free [NBP1-90653]

Analysis using antibody NBP1-90653 (A) shows similar pattern to independent antibody NBP1-90654 (B).

Applications for PPTC7 Antibody - BSA Free

Application
Recommended Usage

Immunohistochemistry

1:20 - 1:50

Immunohistochemistry-Paraffin

1:20 - 1:50

Western Blot

0.04-0.4 ug/ml
Application Notes
For IHC-Paraffin, HIER pH 6 retrieval is recommended.

Formulation, Preparation, and Storage

Purification

Affinity purified

Formulation

PBS (pH 7.2) and 40% Glycerol

Format

BSA Free

Preservative

0.02% Sodium Azide

Concentration

Concentrations vary lot to lot. See vial label for concentration. If unlisted please contact technical services.

Shipping

The product is shipped with polar packs. Upon receipt, store it immediately at the temperature recommended below.

Stability & Storage

Store at 4C short term. Aliquot and store at -20C long term. Avoid freeze-thaw cycles.

Background: PPTC7

Alternate Names

MGC133072, PTC7 protein phosphatase homolog (S. cerevisiae)

Gene Symbol

PPTC7

Additional PPTC7 Products

Product Documents for PPTC7 Antibody - BSA Free

Certificate of Analysis

To download a Certificate of Analysis, please enter a lot number in the search box below.

Product Specific Notices for PPTC7 Antibody - BSA Free

This product is for research use only and is not approved for use in humans or in clinical diagnosis. Primary Antibodies are guaranteed for 1 year from date of receipt.

Loading...
Loading...
Loading...
Loading...