PPPDE1 Antibody - BSA Free
Novus Biologicals, part of Bio-Techne | Catalog # NBP3-46909
Key Product Details
Species Reactivity
Human, Mouse, Rat
Applications
Immunohistochemistry, Western Blot, ELISA, Immunocytochemistry/ Immunofluorescence, Immunoprecipitation
Label
Unconjugated
Antibody Source
Polyclonal Rabbit IgG
Format
BSA Free
Concentration
Please see the vial label for concentration. If unlisted please contact technical services.
Product Specifications
Immunogen
PPPDE peptidase domain containing 1. (Uniprot# Q9BSY9)
Clonality
Polyclonal
Host
Rabbit
Isotype
IgG
Theoretical MW
23 kDa.
Disclaimer note: The observed molecular weight of the protein may vary from the listed predicted molecular weight due to post translational modifications, post translation cleavages, relative charges, and other experimental factors.
Disclaimer note: The observed molecular weight of the protein may vary from the listed predicted molecular weight due to post translational modifications, post translation cleavages, relative charges, and other experimental factors.
Description
Novus Biologicals Rabbit PPPDE1 Antibody - BSA Free (NBP3-46909) is a polyclonal antibody validated for use in IHC, WB, ELISA, ICC/IF and IP. All Novus Biologicals antibodies are covered by our 100% guarantee.
Scientific Data Images for PPPDE1 Antibody - BSA Free
Immunoprecipitation: PPPDE1 Antibody - BSA Free [NBP3-46909] -
Immunoprecipitation: PPPDE1 Antibody - BSA Free [NBP3-46909] - IP Result of anti-PPPDE1/PNAS4 (IP:, 4ug; Detection: 1:500) with A549 cells lysate 2800ug.Immunohistochemistry: PPPDE1 Antibody - BSA Free [NBP3-46909] -
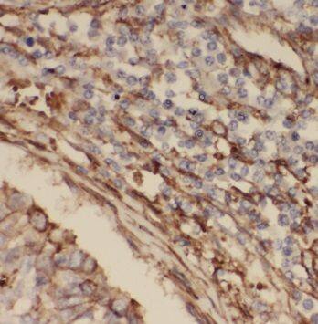
Immunohistochemistry: PPPDE1 Antibody - BSA Free [NBP3-46909] - Immunohistochemistry of paraffin-embedded human lung cancer using (PPPDE1 antibody) at dilution of 1:50Western Blot: PPPDE1 Antibody - BSA Free [NBP3-46909] -
Western Blot: PPPDE1 Antibody - BSA Free [NBP3-46909] - A549 cells were subjected to SDS PAGE followed by western blot with (PPPDE1 antibody) at dilution of 1:500Applications for PPPDE1 Antibody - BSA Free
Application
Recommended Usage
Immunocytochemistry/ Immunofluorescence
1:20-1:200
Immunohistochemistry
1:20-1:200
Immunoprecipitation
1:200-1:1000
Western Blot
1:500-1:2000
Formulation, Preparation, and Storage
Purification
Immunogen affinity purified
Formulation
PBS, 50% Glycerol, pH (7.3)
Format
BSA Free
Preservative
0.02% Sodium Azide
Concentration
Please see the vial label for concentration. If unlisted please contact technical services.
Shipping
The product is shipped with polar packs. Upon receipt, store it immediately at the temperature recommended below.
Stability & Storage
Store at -20C. Avoid freeze-thaw cycles.
Background: PPPDE1
Alternate Names
C1orf121, CGI-146, chromosome 1 open reading frame 121, FAM152A, FLJ21998, member A, PNAS-4, PPPDE peptidase domain containing 1, PPPDE peptidase domain-containing protein 1, Protein FAM152A
Gene Symbol
DESI2
Additional PPPDE1 Products
Product Documents for PPPDE1 Antibody - BSA Free
Product Specific Notices for PPPDE1 Antibody - BSA Free
This product is for research use only and is not approved for use in humans or in clinical diagnosis. Primary Antibodies are guaranteed for 1 year from date of receipt.
Loading...
Loading...
Loading...
Loading...