PPP4R1 Antibody - BSA Free
Novus Biologicals, part of Bio-Techne | Catalog # NBP1-87241
Key Product Details
Validated by
Independent Antibodies
Species Reactivity
Validated:
Human
Cited:
Human
Applications
Validated:
Immunohistochemistry, Immunohistochemistry-Paraffin, Western Blot
Cited:
Western Blot
Label
Unconjugated
Antibody Source
Polyclonal Rabbit IgG
Format
BSA Free
Concentration
Concentrations vary lot to lot. See vial label for concentration. If unlisted please contact technical services.
Product Specifications
Immunogen
This antibody was developed against Recombinant Protein corresponding to amino acids: LDAHEETISIEKRSDLQDELDINELPNCKINQEDSVPLISDAVENMDSTLHYIHSDSDLSNNSSFSPDEERRTKVQ
Reactivity Notes
Human reactivity reported in scientific literature (PMID: 26300649).
Clonality
Polyclonal
Host
Rabbit
Isotype
IgG
Scientific Data Images for PPP4R1 Antibody - BSA Free
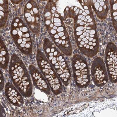
Immunohistochemistry-Paraffin: PPP4R1 Antibody [NBP1-87241]
Immunohistochemistry-Paraffin: PPP4R1 Antibody [NBP1-87241] - Staining of human colon shows strong cytoplasmic positivity in glandular cells.Applications for PPP4R1 Antibody - BSA Free
Application
Recommended Usage
Immunohistochemistry
1:200 - 1:500
Immunohistochemistry-Paraffin
1:200 - 1:500
Western Blot
0.04-0.4 ug/ml
Application Notes
WB reported in scientific literature (PMID: 26472971). For IHC-Paraffin, HIER pH 6 retrieval is recommended. Immunocytochemistry/Immunofluorescence Fixation Permeabilization: Use PFA/Triton X-100.
Formulation, Preparation, and Storage
Purification
Affinity purified
Formulation
PBS (pH 7.2) and 40% Glycerol
Format
BSA Free
Preservative
0.02% Sodium Azide
Concentration
Concentrations vary lot to lot. See vial label for concentration. If unlisted please contact technical services.
Shipping
The product is shipped with polar packs. Upon receipt, store it immediately at the temperature recommended below.
Stability & Storage
Store at 4C short term. Aliquot and store at -20C long term. Avoid freeze-thaw cycles.
Background: PPP4R1
Alternate Names
MEG1, PP4R1PP4(Rmeg), protein phosphatase 4, regulatory subunit 1, serine/threonine phosphatase 4, serine/threonine-protein phosphatase 4 regulatory subunit 1
Gene Symbol
PPP4R1
Additional PPP4R1 Products
Product Documents for PPP4R1 Antibody - BSA Free
Product Specific Notices for PPP4R1 Antibody - BSA Free
This product is for research use only and is not approved for use in humans or in clinical diagnosis. Primary Antibodies are guaranteed for 1 year from date of receipt.
Loading...
Loading...
Loading...
Loading...