Skip to main content

PPP2R5E Antibody - BSA Free

Novus Biologicals, part of Bio-Techne | Catalog # NBP3-06478

Novus Biologicals, part of Bio-Techne

Key Product Details

Species Reactivity

Human

Applications

Immunohistochemistry, Immunohistochemistry-Paraffin, Western Blot, Immunoprecipitation

Label

Unconjugated

Antibody Source

Polyclonal Rabbit IgG

Format

BSA Free

Concentration

Please see the vial label for concentration. If unlisted please contact technical services.

Product Specifications

Immunogen

Produced in rabbits immunized with E. coli-derived Human PPP2R5E fragment.

Clonality

Polyclonal

Host

Rabbit

Isotype

IgG

Description

This antibody can be stored at 2C-8C for one month without detectable loss of activity. Antibody products are stable for twelve months from date of receipt when stored at -20C to -80C. Avoid repeated freeze-thaw cycles.

Scientific Data Images for PPP2R5E Antibody - BSA Free

Western Blot: PPP2R5E Antibody [NBP3-06478]

Western Blot: PPP2R5E Antibody [NBP3-06478]

Western Blot: PPP2R5E Antibody [NBP3-06478] - Lane A: HeLa Whole Cell LysateLane B: 293 Whole Cell LysateLysates/proteins at 30 ug per lane.SecondaryGoat Anti-Rabbit IgG (H+L)/HRP at 1/10000 dilution.Developed using the ECL technique.Performed under reducing conditions.Predicted band size:55 kDaObserved band size:53 kDa
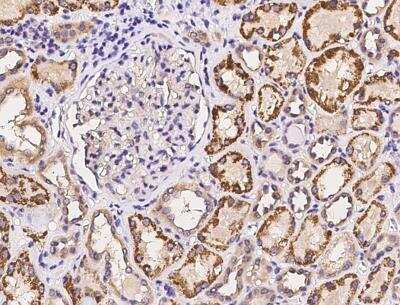
Immunohistochemistry-Paraffin: PPP2R5E Antibody [NBP3-06478]

Immunohistochemistry-Paraffin: PPP2R5E Antibody [NBP3-06478]

Immunohistochemistry-Paraffin: PPP2R5E Antibody [NBP3-06478] - Staining of human PPP2R5E in human kidney with rabbit polyclonal antibody at 1:100 dilution.
Immunoprecipitation: PPP2R5E Antibody [NBP3-06478]

Immunoprecipitation: PPP2R5E Antibody [NBP3-06478]

Immunoprecipitation: PPP2R5E Antibody [NBP3-06478] - Lane A:0.5 mg 293 Whole Cell Lysate4 uL anti-PPP2R5E rabbit polyclonal antibody and 60 ug of Immunomagnetic beads Protein A/G.Primary antibody:Anti-PPP2R5E rabbit polyclonal antibody,at 1:100 dilution Secondary antibody:Clean-Blot IP Detection Reagent (HRP) at 1:1000dilutionDeveloped using the ECL technique.Performed under reducing conditions.Predicted band size: 55 kDaObserved band size :53 kDa

Applications for PPP2R5E Antibody - BSA Free

Application
Recommended Usage

Immunohistochemistry-Paraffin

1:50-1:200

Immunoprecipitation

1-5uL/mg of lysate

Western Blot

1:500-1:2000

Formulation, Preparation, and Storage

Purification

Antigen and protein A Affinity-purified

Formulation

PBS

Format

BSA Free

Preservative

0.03% Proclin 300

Concentration

Please see the vial label for concentration. If unlisted please contact technical services.

Shipping

The product is shipped with polar packs. Upon receipt, store it immediately at the temperature recommended below.

Stability & Storage

Store at 4C short term. Aliquot and store at -20C long term. Avoid freeze-thaw cycles.

Background: PPP2R5E

The product of this gene belongs to the phosphatase 2A regulatory subunit B family. Protein phosphatase 2A is one of the four major Ser/Thr phosphatases, and it is implicated in the negative control of cell growth and division. It consists of a common heteromeric core enzyme, which is composed of a catalytic subunit and a constant regulatory subunit, that associates with a variety of regulatory subunits. The B regulatory subunit might modulate substrate selectivity and catalytic activity. This gene encodes an epsilon isoform of the regulatory subunit B56 subfamily.

Long Name

Serine/threonine-protein phosphatase 2A 56 kDa regulatory subunit epsilon isoform

Alternate Names

epsilon isoform of regulatory subunit B56, protein phosphatase 2A, PP2A B subunit isoform B56-epsilon, PP2A B subunit isoform B'-epsilon, PP2A B subunit isoform PR61-epsilon, PP2A B subunit isoform R5-epsilon, PP2A, B subunit, B' epsilon, PP2A, B subunit, B56 epsilon, PP2A, B subunit, PR61 epsilon, PP2A, B subunit, R5 epsilon, protein phosphatase 2, regulatory subunit B (B56), epsilon isoform, protein phosphatase 2, regulatory subunit B', epsilon isoform, serine/threonine protein phosphatase 2A, 56 kDa regulatory subunit, epsilon, serine/threonine-protein phosphatase 2A 56 kDa regulatory subunit epsilonisoform

Gene Symbol

PPP2R5E

Additional PPP2R5E Products

Product Documents for PPP2R5E Antibody - BSA Free

Certificate of Analysis

To download a Certificate of Analysis, please enter a lot number in the search box below.

Product Specific Notices for PPP2R5E Antibody - BSA Free

This product is for research use only and is not approved for use in humans or in clinical diagnosis. Primary Antibodies are guaranteed for 1 year from date of receipt.

Loading...
Loading...
Loading...
Loading...