Skip to main content

PPP2R5D Antibody - BSA Free

Novus Biologicals, part of Bio-Techne | Catalog # NBP1-88959

Novus Biologicals, part of Bio-Techne
Catalog #
Availability
Size / Price
Qty
Loading...
NBP1-88959
NBP1-88959-25ul

Key Product Details

Validated by

Knockout/Knockdown, Independent Antibodies

Species Reactivity

Human, Mouse, Rat

Applications

Knockout Validated, Immunohistochemistry, Immunohistochemistry-Paraffin, Western Blot, Immunoprecipitation

Label

Unconjugated

Antibody Source

Polyclonal Rabbit IgG

Format

BSA Free

Concentration

Concentrations vary lot to lot. See vial label for concentration. If unlisted please contact technical services.

Product Specifications

Immunogen

This antibody was developed against Recombinant Protein corresponding to amino acids: DCTQQYKAEKQKGRFRMKEREEMWQKIEELARLNPQYPMFRAPPPLPPVYSMETETPTAEDIQLLKRTVETEAVQMLKDIKKEKVLLRRKSELPQDVY

Clonality

Polyclonal

Host

Rabbit

Isotype

IgG

Scientific Data Images for PPP2R5D Antibody - BSA Free

PPP2R5D Antibody

Western Blot Shows Human PPP2R5D Specificity Using Knockout Cell Line.

Western blot shows lysates of HAP1 human near-haploid cell line and PPP2R5D knockout HAP1 cell line (KO). Nitrocellulose membrane was probed with PPP2R5D Antibody (Catalog # NBP1-88959) O/N at 4C, followed by HRP-conjugated Secondary Antibody and ECL detection. A specific band was detected for PPP2R5D (as indicated) in the parental HAP1 cell line, but is not detectable in knockout HAP1 cell line. The Ponceau stained transfers of each blot are shown. Image, protocol and testing courtesy of YCharOS Inc. (ycharos.com).
PPP2R5D Antibody

Detection of PPP2R5D by Immunoprecipitation.

HAP1 lysates were prepared, and immunoprecipitation was performed using 2.0 ug of PPP2R5D antibody (Catalog # NBP1-88959) pre-coupled to Dynabeads protein A. Samples were washed and processed for Western Blot with PPP2R5D antibody. For Western Blot, Rb x PPP2R5D was used at 1/5000. The Ponceau stained transfers of each blot are shown. SM=4% starting material; UB=4% unbound fraction; IP=immunoprecipitate. Image, protocol and testing courtesy of YCharOS Inc. (ycharos.com).
Western Blot: PPP2R5D Antibody [NBP1-88959]

Western Blot: PPP2R5D Antibody [NBP1-88959]

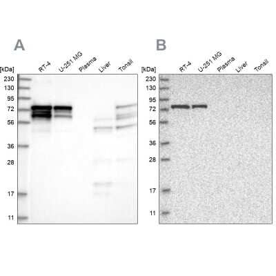
Western Blot: PPP2R5D Antibody [NBP1-88959] - Analysis using Anti-PPP2R5D antibody NBP1-88959 (A) shows similar pattern to independent antibody NBP1-88960 (B).

Applications for PPP2R5D Antibody - BSA Free

Application
Recommended Usage

Immunohistochemistry

1:200 - 1:500

Immunohistochemistry-Paraffin

1:200 - 1:500

Immunoprecipitation

Validated for Immunoprecipitation from YCharOS Inc. (ycharos.com)

Knockout Validated

Validated for Knockout from YCharOS Inc. (ycharos.com)

Western Blot

0.04-0.4 ug/ml
Application Notes
For IHC-Paraffin, HIER pH 6 retrieval is recommended.

Formulation, Preparation, and Storage

Purification

Affinity purified

Formulation

PBS (pH 7.2) and 40% Glycerol

Format

BSA Free

Preservative

0.02% Sodium Azide

Concentration

Concentrations vary lot to lot. See vial label for concentration. If unlisted please contact technical services.

Shipping

The product is shipped with polar packs. Upon receipt, store it immediately at the temperature recommended below.

Stability & Storage

Store at 4C short term. Aliquot and store at -20C long term. Avoid freeze-thaw cycles.

Background: PPP2R5D

PP2A is a major serine/threonine phosphatase that is implicated in the negative control of cell cycle progression. It is a trimeric holoenzyme that is comprised of a catalytic, structural, and regulatory subunit. PPP2R5D is a regulatory subunit of PP2A. The regulatory subunits of PP2A are grouped into 3 families: B/PR55, B'/PR61, and B''/PR72. PPP2R5D encodes the delta isoform of the B' subunit, B56. PPP2R5D may function to localize PP2A to the nucleus. Alternate designations for PPP2R5D include serine/threonine-protein phosphatase 2A 56 kDa regulatory subunit delta isoform, PP2A B subunit B' delta isoform, PP2A B subunit B56 delta isoform, PP2A B subunit PR61 delta isoform, PP2A B subunit R5 delta isoform, B56D, MGC2134, and MGC8949.

Alternate Names

MGC2134, MGC8949, PP2A B subunit isoform B56-delta, PP2A B subunit isoform B'-delta, PP2A B subunit isoform PR61-delta, PP2A B subunit isoform R5-delta, PP2A, B subunit, B' delta isoform, PP2A, B subunit, B56 delta isoform, PP2A, B subunit, PR61 delta isoform, PP2A, B subunit, R5 delta isoform, protein phosphatase 2, regulatory subunit B', delta, regulatory subunit B (B56), delta isoform, regulatory subunit B', delta isoform, Serine/threonine protein phosphatase 2A, 56 kDa regulatory subunit, deltaisoform, serine/threonine-protein phosphatase 2A 56 kDa regulatory subunit delta isoform

Gene Symbol

PPP2R5D

Additional PPP2R5D Products

Product Documents for PPP2R5D Antibody - BSA Free

Certificate of Analysis

To download a Certificate of Analysis, please enter a lot number in the search box below.

Product Specific Notices for PPP2R5D Antibody - BSA Free

This product is for research use only and is not approved for use in humans or in clinical diagnosis. Primary Antibodies are guaranteed for 1 year from date of receipt.

Loading...
Loading...
Loading...
Loading...