Skip to main content

PPP2R5D Antibody (OTI5E7) - Azide and BSA Free

Novus Biologicals, part of Bio-Techne | Catalog # NBP2-73587

Novus Biologicals, part of Bio-Techne

Key Product Details

Species Reactivity

Human, Mouse, Rat

Applications

Immunohistochemistry, Immunohistochemistry-Paraffin, Western Blot

Label

Unconjugated

Antibody Source

Monoclonal Mouse IgG2B Clone # OTI5E7

Format

Azide and BSA Free

Concentration

LYOPH mg/ml

Product Specifications

Immunogen

Full length human recombinant protein of human PPP2R5D (NP_006236) produced in E.coli.

Reactivity Notes

Please note that this antibody is reactive to Mouse and derived from the same host, Mouse. Mouse-On-Mouse blocking reagent may be needed for IHC and ICC experiments to reduce high background signal. You can find these reagents under catalog numbers PK-2200-NB and MP-2400-NB. Please contact Technical Support if you have any questions.

Clonality

Monoclonal

Host

Mouse

Isotype

IgG2B

Theoretical MW

69.8 kDa.
Disclaimer note: The observed molecular weight of the protein may vary from the listed predicted molecular weight due to post translational modifications, post translation cleavages, relative charges, and other experimental factors.

Description

Novus Biologicals Mouse PPP2R5D Antibody (OTI5E7) - Azide and BSA Free (NBP2-45387) is a monoclonal antibody validated for use in IHC and WB. All Novus Biologicals antibodies are covered by our 100% guarantee.

Scientific Data Images for PPP2R5D Antibody (OTI5E7) - Azide and BSA Free

Western Blot: PPP2R5D Antibody (OTI5E7)Azide and BSA Free [NBP2-73587]

Western Blot: PPP2R5D Antibody (OTI5E7)Azide and BSA Free [NBP2-73587]

Western Blot: PPP2R5D Antibody (OTI5E7) - Azide and BSA Free [NBP2-73587] - Analysis of HEK293T cells were transfected with the pCMV6-ENTRY control (Left lane) or pCMV6-ENTRY PPP2R5D .
Immunohistochemistry: PPP2R5D Antibody (OTI5E7) - Azide and BSA Free [NBP2-73587]

Immunohistochemistry: PPP2R5D Antibody (OTI5E7) - Azide and BSA Free [NBP2-73587]

Immunohistochemistry: PPP2R5D Antibody (OTI5E7) - Azide and BSA Free [NBP2-73587] - Analysis of Carcinoma of Human lung tissue.(Heat-induced epitope retrieval by 1 mM EDTA in 10mM Tris, pH8.5, 120C for 3min)
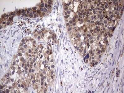
Immunohistochemistry: PPP2R5D Antibody (OTI5E7) - Azide and BSA Free [NBP2-73587]

Immunohistochemistry: PPP2R5D Antibody (OTI5E7) - Azide and BSA Free [NBP2-73587]

Immunohistochemistry: PPP2R5D Antibody (OTI5E7) - Azide and BSA Free [NBP2-73587] - Analysis of Adenocarcinoma of Human ovary tissue. (Heat-induced epitope retrieval by 1 mM EDTA in 10mM Tris, pH8.5, 120C for 3min)

Applications for PPP2R5D Antibody (OTI5E7) - Azide and BSA Free

Application
Recommended Usage

Immunohistochemistry

1:150

Western Blot

1:2000

Formulation, Preparation, and Storage

Purification

Immunogen affinity purified

Reconstitution

we recommend adding 100uL distilled water to a final antibody concentration of about 1 mg/mL. To use this carrier-free antibody for conjugation experiment, we strongly recommend performing another round of desalting process.

Formulation

Lyophilized from PBS (pH 7.3) with 8% Trehalose

Format

Azide and BSA Free

Preservative

No Preservative

Concentration

LYOPH mg/ml

Shipping

The product is shipped with polar packs. Upon receipt, store it immediately at the temperature recommended below.

Stability & Storage

Store at -20C. Avoid freeze-thaw cycles.

Background: PPP2R5D

PP2A is a major serine/threonine phosphatase that is implicated in the negative control of cell cycle progression. It is a trimeric holoenzyme that is comprised of a catalytic, structural, and regulatory subunit. PPP2R5D is a regulatory subunit of PP2A. The regulatory subunits of PP2A are grouped into 3 families: B/PR55, B'/PR61, and B''/PR72. PPP2R5D encodes the delta isoform of the B' subunit, B56. PPP2R5D may function to localize PP2A to the nucleus. Alternate designations for PPP2R5D include serine/threonine-protein phosphatase 2A 56 kDa regulatory subunit delta isoform, PP2A B subunit B' delta isoform, PP2A B subunit B56 delta isoform, PP2A B subunit PR61 delta isoform, PP2A B subunit R5 delta isoform, B56D, MGC2134, and MGC8949.

Alternate Names

MGC2134, MGC8949, PP2A B subunit isoform B56-delta, PP2A B subunit isoform B'-delta, PP2A B subunit isoform PR61-delta, PP2A B subunit isoform R5-delta, PP2A, B subunit, B' delta isoform, PP2A, B subunit, B56 delta isoform, PP2A, B subunit, PR61 delta isoform, PP2A, B subunit, R5 delta isoform, protein phosphatase 2, regulatory subunit B', delta, regulatory subunit B (B56), delta isoform, regulatory subunit B', delta isoform, Serine/threonine protein phosphatase 2A, 56 kDa regulatory subunit, deltaisoform, serine/threonine-protein phosphatase 2A 56 kDa regulatory subunit delta isoform

Gene Symbol

PPP2R5D

Additional PPP2R5D Products

Product Documents for PPP2R5D Antibody (OTI5E7) - Azide and BSA Free

Certificate of Analysis

To download a Certificate of Analysis, please enter a lot number in the search box below.

Product Specific Notices for PPP2R5D Antibody (OTI5E7) - Azide and BSA Free

This product is for research use only and is not approved for use in humans or in clinical diagnosis. Primary Antibodies are guaranteed for 1 year from date of receipt.

Loading...
Loading...
Loading...
Loading...
Loading...