Skip to main content

PPP2R2A Antibody - BSA Free

Novus Biologicals, part of Bio-Techne | Catalog # NBP2-93798

Novus Biologicals, part of Bio-Techne
Catalog #
Availability
Size / Price
Qty
Loading...
NBP2-93798-0.02ml
NBP2-93798-0.1ml

Key Product Details

Species Reactivity

Human, Mouse, Rat

Applications

ELISA, Immunohistochemistry, Immunohistochemistry-Paraffin, Western Blot

Label

Unconjugated

Antibody Source

Polyclonal Rabbit IgG

Format

BSA Free

Concentration

Please see the vial label for concentration. If unlisted please contact technical services.

Product Specifications

Immunogen

Recombinant fusion protein containing a sequence corresponding to amino acids 1-447 of human PPP2R2A (NP_002708.1). MAGAGGGNDIQWCFSQVKGAVDDDVAEADIISTVEFNHSGELLATGDKGGRVVIFQQEQENKIQSHSRGEYNVYSTFQSHEPEFDYLKSLEIEEKINKIRWLPQKNAAQFLLSTNDKTIKLWKISERDKRPEGYNLKEEDGRYRDPTTVTTLRVPVFRPMDLMVEASPRRIFANAHTYHINSISINSDYETYLSADDLRINLWHLEITDRSFNIVDIKPANMEELTEVITAAEFHPNSCNTFVYSSSKGTIRLCDMRASALCDRHSKLFEEPEDPSNRSFFSEIISSISDVKFSHSGRYMMTRDYLSVKIWDLNMENRPVETYQVHEYLRSKLCSLYENDCIFDKFECCWNGSDSVVMTGSYNNFFRMFDRNTKRDITLEASRENNKPRTVLKPRKVCASGKRKKDEISVDSLDFNKKILHTAWHPKENIIAVATTNNLYIFQDKVN

Clonality

Polyclonal

Host

Rabbit

Isotype

IgG

Theoretical MW

52 kDa.
Disclaimer note: The observed molecular weight of the protein may vary from the listed predicted molecular weight due to post translational modifications, post translation cleavages, relative charges, and other experimental factors.

Description

Novus Biologicals Rabbit PPP2R2A Antibody - BSA Free (NBP2-93798) is a polyclonal antibody validated for use in IHC, WB and ELISA. All Novus Biologicals antibodies are covered by our 100% guarantee.

Scientific Data Images for PPP2R2A Antibody - BSA Free

Western Blot: PPP2R2A AntibodyBSA Free [NBP2-93798]

Western Blot: PPP2R2A AntibodyBSA Free [NBP2-93798]

Western Blot: PPP2R2A Antibody [NBP2-93798] - Analysis of extracts of various cell lines, using PPP2R2A at 1:1000 dilution. Secondary antibody: HRP Goat Anti-Rabbit IgG (H+L) at 1:10000 dilution. Lysates/proteins: 25ug per lane. Blocking buffer: 3% nonfat dry milk in TBST.
Immunohistochemistry-Paraffin: PPP2R2A Antibody - BSA Free [NBP2-93798]

Immunohistochemistry-Paraffin: PPP2R2A Antibody - BSA Free [NBP2-93798]

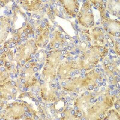
Immunohistochemistry-Paraffin: PPP2R2A Antibody [NBP2-93798] - Rat kidney using PPP2R2A antibody at dilution of 1:100 (40x lens).
Immunohistochemistry-Paraffin: PPP2R2A Antibody - BSA Free [NBP2-93798]

Immunohistochemistry-Paraffin: PPP2R2A Antibody - BSA Free [NBP2-93798]

Immunohistochemistry-Paraffin: PPP2R2A Antibody [NBP2-93798] - Human esophagus using PPP2R2A antibody at dilution of 1:100 (40x lens).

Applications for PPP2R2A Antibody - BSA Free

Application
Recommended Usage

Immunohistochemistry

1:50-1:200

Western Blot

1:500-1:2000

Formulation, Preparation, and Storage

Purification

Affinity purified

Formulation

PBS (pH 7.3), 50% glycerol

Format

BSA Free

Preservative

0.02% Sodium Azide

Concentration

Please see the vial label for concentration. If unlisted please contact technical services.

Shipping

The product is shipped with polar packs. Upon receipt, store it immediately at the temperature recommended below.

Stability & Storage

Store at -20C. Avoid freeze-thaw cycles.

Background: PPP2R2A

The product of the PPP2R2A gene belongs to the phosphatase 2 regulatory subunit B family. Protein phosphatase 2 is one of the four major Ser/Thr phosphatases, and it is implicated in the negative control of cell growth and division. It consists of a common heteromeric core enzyme, which is composed of a catalytic subunit and a constant regulatory subunit, that associates with a variety of regulatory subunits. The B regulatory subunit might modulate substrate selectivity and catalytic activity. This gene encodes an alpha isoform of the regulatory subunit B55 subfamily. (provided by RefSeq)

Alternate Names

B55A, B55ALPHA, DKFZp686N05117, FLJ26613, FLJ41727, MGC52248, PP2A subunit B isoform alpha, PP2A subunit B isoform B55-alpha, PP2A subunit B isoform PR55-alpha, PP2A subunit B isoform R2-alpha, PR52A, PR55A, protein phosphatase 2 (formerly 2A), regulatory subunit B (PR 52), alphaisoform, protein phosphatase 2 (formerly 2A), regulatory subunit B (PR52), alpha isoform, protein phosphatase 2 (formerly 2A), regulatory subunit B, alpha isoform, protein phosphatase 2, regulatory subunit B, alpha, serine/threonine protein phosphatase 2A, 55 KDA regulatory subunit B, alphaisoform, serine/threonine-protein phosphatase 2A 55 kDa regulatory subunit B alphaisoform

Gene Symbol

PPP2R2A

Additional PPP2R2A Products

Product Documents for PPP2R2A Antibody - BSA Free

Certificate of Analysis

To download a Certificate of Analysis, please enter a lot number in the search box below.

Product Specific Notices for PPP2R2A Antibody - BSA Free

This product is for research use only and is not approved for use in humans or in clinical diagnosis. Primary Antibodies are guaranteed for 1 year from date of receipt.

Loading...
Loading...
Loading...
Loading...