Skip to main content

PPP1R15B Antibody - BSA Free

Novus Biologicals, part of Bio-Techne | Catalog # NBP3-46918

Novus Biologicals, part of Bio-Techne
Catalog #
Availability
Size / Price
Qty
Loading...
NBP3-46918

Key Product Details

Species Reactivity

Human, Mouse, Rat

Applications

Immunohistochemistry, Western Blot, ELISA, Immunocytochemistry/ Immunofluorescence, Immunoprecipitation

Label

Unconjugated

Antibody Source

Polyclonal Rabbit IgG

Format

BSA Free

Concentration

Please see the vial label for concentration. If unlisted please contact technical services.

Product Specifications

Immunogen

protein phosphatase 1, regulatory(inhibitor) subunit 15B. (Uniprot# Q5SWA1)

Clonality

Polyclonal

Host

Rabbit

Isotype

IgG

Description

Novus Biologicals Rabbit PPP1R15B Antibody - BSA Free (NBP3-46918) is a polyclonal antibody validated for use in IHC, WB, ELISA, ICC/IF and IP. All Novus Biologicals antibodies are covered by our 100% guarantee.

Scientific Data Images for PPP1R15B Antibody - BSA Free

PPP1R15B Antibody - BSA Free

Western Blot: PPP1R15B Antibody - BSA Free [NBP3-46918] -

Western Blot: PPP1R15B Antibody - BSA Free [NBP3-46918] - SGC-7901 cells were subjected to SDS PAGE followed by western blot with (PPP1R15B;CReP antibody) at dilution of 1:1000
PPP1R15B Antibody - BSA Free

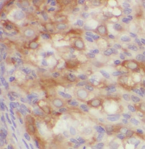
Immunohistochemistry: PPP1R15B Antibody - BSA Free [NBP3-46918] -

Immunohistochemistry: PPP1R15B Antibody - BSA Free [NBP3-46918] - Immunohistochemistry of paraffin-embedded human ovary using (PPP1R15B antibody) at dilution of 1:100
PPP1R15B Antibody - BSA Free

Immunoprecipitation: PPP1R15B Antibody - BSA Free [NBP3-46918] -

Immunoprecipitation: PPP1R15B Antibody - BSA Free [NBP3-46918] - IP Result of anti-PPP1R15B;CReP (IP:, 3ug; Detection: 1:1000) with MCF-7 cells lysate 2500ug.

Applications for PPP1R15B Antibody - BSA Free

Application
Recommended Usage

Immunocytochemistry/ Immunofluorescence

1:20-1:200

Immunohistochemistry

1:20-1:200

Immunoprecipitation

1:200-1:1000

Western Blot

1:500-1:2000
Application Notes
Theoretical Molecular Weight is 100-110 kDa

Formulation, Preparation, and Storage

Purification

Immunogen affinity purified

Formulation

PBS, 50% Glycerol, pH (7.3)

Format

BSA Free

Preservative

0.02% Sodium Azide

Concentration

Please see the vial label for concentration. If unlisted please contact technical services.

Shipping

The product is shipped with polar packs. Upon receipt, store it immediately at the temperature recommended below.

Stability & Storage

Store at -20C. Avoid freeze-thaw cycles.

Background: PPP1R15B

PPP1R15B belongs to the PPP1R15 family. It maintains low levels of EIF2S1 phosphorylation in un-stressed cells by promoting its dephosphorylation by PP1. The phosphatase activity of the PPP1R15B-PP1 complex toward EIF2S1 is specifically inhibited by Salubrinal, a drug that protects cells from endoplasmic reticulum stress.

Alternate Names

CREP, FLJ14744, protein phosphatase 1 regulatory subunit 15B, protein phosphatase 1, regulatory (inhibitor) subunit 15B

Gene Symbol

PPP1R15B

Additional PPP1R15B Products

Product Documents for PPP1R15B Antibody - BSA Free

Certificate of Analysis

To download a Certificate of Analysis, please enter a lot number in the search box below.

Product Specific Notices for PPP1R15B Antibody - BSA Free

This product is for research use only and is not approved for use in humans or in clinical diagnosis. Primary Antibodies are guaranteed for 1 year from date of receipt.

Loading...
Loading...
Loading...
Loading...