Skip to main content

PPFIA4 Antibody - BSA Free

Novus Biologicals, part of Bio-Techne | Catalog # NBP2-31560

Novus Biologicals, part of Bio-Techne
Catalog #
Availability
Size / Price
Qty
Loading...
NBP2-31560
NBP2-31560-25ul

Key Product Details

Validated by

Orthogonal Validation

Species Reactivity

Validated:

Human

Predicted:

Mouse (93%), Rat (91%). Backed by our 100% Guarantee.

Applications

Immunohistochemistry, Immunohistochemistry-Paraffin

Label

Unconjugated

Antibody Source

Polyclonal Rabbit IgG

Format

BSA Free

Concentration

Concentrations vary lot to lot. See vial label for concentration. If unlisted please contact technical services.

Product Specifications

Immunogen

This antibody was developed against a recombinant protein corresponding to amino acids: ERVTTLEEQLAGAHQQVSALQQGAGVRDGAAEEEGTVELGPKRLWKEDTGRVEELQ

Clonality

Polyclonal

Host

Rabbit

Isotype

IgG

Description

Novus Biologicals Rabbit PPFIA4 Antibody - BSA Free (NBP2-31560) is a polyclonal antibody validated for use in IHC. All Novus Biologicals antibodies are covered by our 100% guarantee.

Scientific Data Images for PPFIA4 Antibody - BSA Free

Immunohistochemistry-Paraffin: PPFIA4 Antibody [NBP2-31560]

Immunohistochemistry-Paraffin: PPFIA4 Antibody [NBP2-31560]

Immunohistochemistry-Paraffin: PPFIA4 Antibody [NBP2-31560] - Staining in human cerebral cortex and pancreas tissues using anti-PPFIA4 antibody. Corresponding PPFIA4 RNA-seq data are presented for the same tissues.
Immunohistochemistry-Paraffin: PPFIA4 Antibody [NBP2-31560]

Immunohistochemistry-Paraffin: PPFIA4 Antibody [NBP2-31560]

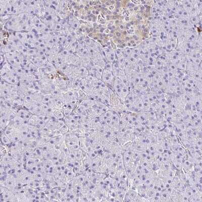
Immunohistochemistry-Paraffin: PPFIA4 Antibody [NBP2-31560] - Staining of human pancreas shows low expression as expected.
Immunohistochemistry-Paraffin: PPFIA4 Antibody [NBP2-31560]

Immunohistochemistry-Paraffin: PPFIA4 Antibody [NBP2-31560]

Immunohistochemistry-Paraffin: PPFIA4 Antibody [NBP2-31560] - Staining of human cerebral cortex shows strong cytoplasmic positivity in neuronal cells.

Applications for PPFIA4 Antibody - BSA Free

Application
Recommended Usage

Immunohistochemistry

1:500 - 1:1000

Immunohistochemistry-Paraffin

1:500 - 1:1000
Application Notes
For IHC-Paraffin, HIER pH 6 retrieval is recommended.

Formulation, Preparation, and Storage

Purification

Affinity purified

Formulation

PBS (pH 7.2) and 40% Glycerol

Format

BSA Free

Preservative

0.02% Sodium Azide

Concentration

Concentrations vary lot to lot. See vial label for concentration. If unlisted please contact technical services.

Shipping

The product is shipped with polar packs. Upon receipt, store it immediately at the temperature recommended below.

Stability & Storage

Store at 4C short term. Aliquot and store at -20C long term. Avoid freeze-thaw cycles.

Background: PPFIA4

PPFIA4, also referred to as Liprin-alpha-4, has a 701 amino acid long isoform that is approximately 78kDa and a slightly shorter 692 amino acid long isoform that is approximately 77kDa. PPFIA4 is a member of the LAR protein-tyrosine phosphatase-interacting protein (liprin) family, and is expressed in the skeletal muscle, heart, and brain. Liprin family members, such as PPFIA4, interact with the LAR family of transmembrane PTPs, which are essential players in mammary gland development and axon guidance. Research has shown that PPFIA4 could play a role in the disassembly of focal adhesions. Current research on PPFIA4 is being performed in relation to several diseases and disorders including hypoxia, hypertension, ataxia, and neuronitis. PPFIA4 has also been shown to interact with GIT1, NCOA2, ERC2, PLCG1, and AGTPBP1.

Alternate Names

KIAA0897, liprin alpha4, Liprin-alpha4, liprin-alpha-4, Protein tyrosine phosphatase receptor type f polypeptide-interacting proteinalpha-4, protein tyrosine phosphatase, receptor type, f polypeptide (PTPRF), interactingprotein (liprin), alpha 4, PTPRF-interacting protein alpha-4

Gene Symbol

PPFIA4

UniProt

Additional PPFIA4 Products

Product Documents for PPFIA4 Antibody - BSA Free

Certificate of Analysis

To download a Certificate of Analysis, please enter a lot number in the search box below.

Product Specific Notices for PPFIA4 Antibody - BSA Free

This product is for research use only and is not approved for use in humans or in clinical diagnosis. Primary Antibodies are guaranteed for 1 year from date of receipt.

Loading...
Loading...
Loading...
Loading...