Skip to main content

PPAR alpha/NR1C1 Antibody - BSA Free

Novus Biologicals, part of Bio-Techne | Catalog # NBP1-31834

Novus Biologicals, part of Bio-Techne
Catalog #
Availability
Size / Price
Qty
Loading...
NBP1-31834

Key Product Details

Validated by

Knockout/Knockdown, Orthogonal Validation

Species Reactivity

Validated:

Human, Mouse, Rat, Insect, Plant

Predicted:

Canine (92%), Porcine (92%), Rhesus Macaque (98%). Backed by our 100% Guarantee.

Applications

Immunohistochemistry, Immunohistochemistry-Paraffin, Western Blot, Chromatin Immunoprecipitation (ChIP)

Label

Unconjugated

Antibody Source

Polyclonal Rabbit IgG

Format

BSA Free

Concentration

Concentrations vary lot to lot. See vial label for concentration. If unlisted please contact technical services.

Product Specifications

Immunogen

Recombinant protein encompassing a sequence within the N-terminus region of human PPAR alpha/NR1C1. The exact sequence is proprietary.

Reactivity Notes

Queen Bee, Honeybee. Bovine (88%), Guinea pig (87%)

Localization

Nucleus

Clonality

Polyclonal

Host

Rabbit

Isotype

IgG

Theoretical MW

52 kDa.
Disclaimer note: The observed molecular weight of the protein may vary from the listed predicted molecular weight due to post translational modifications, post translation cleavages, relative charges, and other experimental factors.

Description

Novus Biologicals Rabbit PPAR alpha/NR1C1 Antibody - BSA Free (NBP1-31834) is a polyclonal antibody validated for use in IHC, WB and ChIP. All Novus Biologicals antibodies are covered by our 100% guarantee.

Scientific Data Images for PPAR alpha/NR1C1 Antibody - BSA Free

Chromatin Immunoprecipitation: PPAR alpha/NR1C1 Antibody [NBP1-31834] - Cross-linked ChIP was performed with HepG2 chromatin extract and 5 ug of either control rabbit IgG or anti-PPAR alpha antibody. The precipitated DNA was detected by PCR with primer set targeting to C3 promotor or NOD1 gene.
PPAR alpha/NR1C1 Antibody

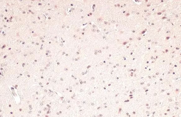
Immunohistochemistry-Paraffin: PPAR alpha/NR1C1 Antibody [NBP1-31834] -

Immunohistochemistry-Paraffin: PPAR alpha/NR1C1 Antibody [NBP1-31834] - PPAR alpha/NR1C1 antibody detects PPAR alpha/NR1C1 protein at nucleus by immunohistochemical analysis.
Sample: Paraffin-embedded rat brain.
PPAR alpha/NR1C1 stained by PPAR alpha/NR1C1 antibody (NBP1-31834) diluted at 1:165.
Antigen Retrieval: Citrate buffer, pH 6.0, 15 min
PPAR alpha/NR1C1 Antibody

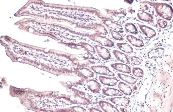
Immunohistochemistry-Paraffin: PPAR alpha/NR1C1 Antibody [NBP1-31834] -

Immunohistochemistry-Paraffin: PPAR alpha/NR1C1 Antibody [NBP1-31834] - PPAR alpha/NR1C1 antibody detects PPAR alpha/NR1C1 protein at nucleus by immunohistochemical analysis.
Sample: Paraffin-embedded mouse intestine.
PPAR alpha/NR1C1 stained by PPAR alpha/NR1C1 antibody (NBP1-31834) diluted at 1:165.
Antigen Retrieval: Citrate buffer, pH 6.0, 15 min

Applications for PPAR alpha/NR1C1 Antibody - BSA Free

Application
Recommended Usage

Chromatin Immunoprecipitation (ChIP)

Assay dependent

Immunohistochemistry-Paraffin

Assay dependent

Western Blot

1:500-1:3000

Formulation, Preparation, and Storage

Purification

Antigen Affinity-purified

Formulation

PBS, 20% Glycerol

Format

BSA Free

Preservative

0.025% Proclin 300

Concentration

Concentrations vary lot to lot. See vial label for concentration. If unlisted please contact technical services.

Shipping

The product is shipped with polar packs. Upon receipt, store it immediately at the temperature recommended below.

Stability & Storage

Aliquot and store at -20C or -80C. Avoid freeze-thaw cycles.

Background: PPAR alpha/NR1C1

Peroxisome proliferators include hypolipidemic drugs, herbicides, leukotriene antagonists, and plasticizers; this term arises because they induce an increase in the size and number of peroxisomes. Peroxisomes are subcellular organelles found in plants and animals that contain enzymes for respiration and for cholesterol and lipid metabolism. The action of peroxisome proliferators is thought to be mediated via specific receptors, called PPARs, which belong to the steroid hormone receptor superfamily. PPARs affect the expression of target genes involved in cell proliferation, cell differentiation and in immune and inflammation responses. Three closely related subtypes (alpha, beta/delta, and gamma) have been identified. This gene encodes the subtype PPAR-alpha, which is a nuclear transcription factor. Multiple alternatively spliced transcript variants have been described for this gene, although the full-length nature of only two has been determined. [provided by RefSeq]

Long Name

Peroxisome Proliferator-activated Receptor alpha

Alternate Names

NR1C1, PPARA

Gene Symbol

PPARA

Additional PPAR alpha/NR1C1 Products

Product Documents for PPAR alpha/NR1C1 Antibody - BSA Free

Certificate of Analysis

To download a Certificate of Analysis, please enter a lot number in the search box below.

Product Specific Notices for PPAR alpha/NR1C1 Antibody - BSA Free

This product is for research use only and is not approved for use in humans or in clinical diagnosis. Primary Antibodies are guaranteed for 1 year from date of receipt.

Loading...
Loading...
Loading...
Loading...
Loading...

⚠ WARNING: This product can expose you to chemicals including mercury, which is known to the State of California to cause reproductive toxicity with developmental effects.  For more information go to www.P65Warnings.ca.gov.