Skip to main content

PPAP2C Antibody - BSA Free

Novus Biologicals, part of Bio-Techne | Catalog # NBP2-31607

Novus Biologicals, part of Bio-Techne
Catalog #
Availability
Size / Price
Qty
Loading...
NBP2-31607
NBP2-31607-25ul

Key Product Details

Species Reactivity

Human

Applications

Immunohistochemistry, Immunohistochemistry-Paraffin, Immunocytochemistry/ Immunofluorescence

Label

Unconjugated

Antibody Source

Polyclonal Rabbit IgG

Format

BSA Free

Concentration

Concentrations vary lot to lot. See vial label for concentration. If unlisted please contact technical services.

Product Specifications

Immunogen

This antibody was developed against a recombinant protein corresponding to amino acids: PQHCLKEEELERKPSLSLTLTLGEADHNHYGYPHSS

Clonality

Polyclonal

Host

Rabbit

Isotype

IgG

Description

Novus Biologicals Rabbit PPAP2C Antibody - BSA Free (NBP2-31607) is a polyclonal antibody validated for use in IHC and ICC/IF. All Novus Biologicals antibodies are covered by our 100% guarantee.

Scientific Data Images for PPAP2C Antibody - BSA Free

Immunocytochemistry/ Immunofluorescence: PPAP2C Antibody [NBP2-31607]

Immunocytochemistry/ Immunofluorescence: PPAP2C Antibody [NBP2-31607]

Immunocytochemistry/Immunofluorescence: PPAP2C Antibody [NBP2-31607] - Immunofluorescent staining of human cell line U-2 OS shows localization to mitochondria.
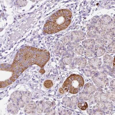
Immunohistochemistry-Paraffin: PPAP2C Antibody [NBP2-31607]

Immunohistochemistry-Paraffin: PPAP2C Antibody [NBP2-31607]

Immunohistochemistry-Paraffin: PPAP2C Antibody [NBP2-31607] - Staining of human salivary gland shows cytoplasmic positivity in glandular cells.

Applications for PPAP2C Antibody - BSA Free

Application
Recommended Usage

Immunocytochemistry/ Immunofluorescence

0.25-2 ug/ml

Immunohistochemistry

1:50 - 1:200

Immunohistochemistry-Paraffin

1:50 - 1:200
Application Notes
For IHC-Paraffin, HIER pH 6 retrieval is recommended. Immunocytochemistry/Immunofluorescence Fixation Permeabilization: Use PFA/Triton X-100.

Formulation, Preparation, and Storage

Purification

Affinity purified

Formulation

PBS (pH 7.2) and 40% Glycerol

Format

BSA Free

Preservative

0.02% Sodium Azide

Concentration

Concentrations vary lot to lot. See vial label for concentration. If unlisted please contact technical services.

Shipping

The product is shipped with polar packs. Upon receipt, store it immediately at the temperature recommended below.

Stability & Storage

Store at 4C short term. Aliquot and store at -20C long term. Avoid freeze-thaw cycles.

Background: PPAP2C

PPAP2C, also referred to as Phosphatidic Acid Phosphatase Type 2C, has a canonical sequence that is 288 amino acids long and approximately 32kDa, and two other isoforms that are 309 and 232 amino acids in length, respectively. PPAP2C is an enzyme that hydrolyzes S1P, C1P and LPA, and catalyzes the conversion of phosphatidic acid to diacylglycerol. Current research surrounding PPAP2C has shown a possible linkage with strabismus and gastroenteritis. PPAP2C has also been shown to interact with APLP1, BAG6, GALC, MLH1, and UNC119 in pathways such as triacylglyceride synthesis, sphingolipid metabolism, triacylglycerol biosynthesis, and Fc gamma R-mediated phagocytosis.

Alternate Names

EC 3.1.3.4, LPP2PAP2-g, PAP2c, PAP-2clipid phosphate phosphohydrolase 2, PAP2-G, PAP2-gamma, Phosphatidate phosphohydrolase type 2c, Phosphatidic acid phosphatase 2c, phosphatidic acid phosphatase type 2C, phosphatidic acid phosphohydrolase type 2c, type-2 phosphatidic acid phosphatase-gamma

Gene Symbol

PLPP2

UniProt

Additional PPAP2C Products

Product Documents for PPAP2C Antibody - BSA Free

Certificate of Analysis

To download a Certificate of Analysis, please enter a lot number in the search box below.

Product Specific Notices for PPAP2C Antibody - BSA Free

This product is for research use only and is not approved for use in humans or in clinical diagnosis. Primary Antibodies are guaranteed for 1 year from date of receipt.

Loading...
Loading...
Loading...
Loading...