Skip to main content

PP2A alpha Antibody - BSA Free

Novus Biologicals, part of Bio-Techne | Catalog # NBP2-46693

Novus Biologicals, part of Bio-Techne
Catalog #
Availability
Size / Price
Qty
Loading...
NBP2-46693
NBP2-46693-25ul

Key Product Details

Species Reactivity

Human, Mouse, Rat

Applications

Immunohistochemistry, Immunohistochemistry-Paraffin, Western Blot

Label

Unconjugated

Antibody Source

Polyclonal Rabbit IgG

Format

BSA Free

Concentration

Concentrations vary lot to lot. See vial label for concentration. If unlisted please contact technical services.

Product Specifications

Immunogen

This antibody was developed against Recombinant Protein corresponding to amino acids: RCGNQAAIMELDDTLKYSFLQFDPAPRRGEPHVTRRTPDYF

Clonality

Polyclonal

Host

Rabbit

Isotype

IgG

Description

Novus Biologicals Rabbit PP2A alpha Antibody - BSA Free (NBP2-46693) is a polyclonal antibody validated for use in IHC and WB. All Novus Biologicals antibodies are covered by our 100% guarantee.

Scientific Data Images for PP2A alpha Antibody - BSA Free

Western Blot: PP2A alpha Antibody [NBP2-46693]

Western Blot: PP2A alpha Antibody [NBP2-46693]

Western Blot: PP2A alpha Antibody [NBP2-46693] - Lane 1: NIH-3T3 cell lysate (Mouse embryonic fibroblast cells). Lane 2: NBT-II cell lysate (Rat Wistar bladder tumor cells).
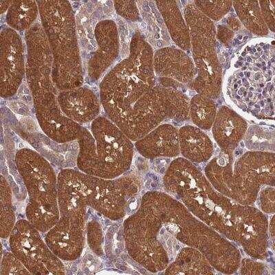
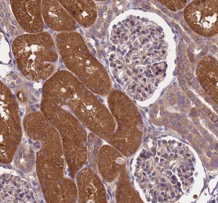
Immunohistochemistry: PP2A alpha Antibody [NBP2-46693]

Immunohistochemistry: PP2A alpha Antibody [NBP2-46693]

Immunohistochemistry: PP2A alpha Antibody [NBP2-46693] - Staining of human kidney shows strong cytoplasmic positivity in cells in tubules.
Western Blot: PP2A alpha Antibody [NBP2-46693]

Western Blot: PP2A alpha Antibody [NBP2-46693]

Western Blot: PP2A alpha Antibody [NBP2-46693] - Lane 1: Marker [kDa] 250, 130, 95, 72, 55, 36, 28, 17, 10, Lane 2: Human cell line RT-4, Lane 3: Human cell line U-251 MG

Applications for PP2A alpha Antibody - BSA Free

Application
Recommended Usage

Immunohistochemistry

1:50 - 1:200

Immunohistochemistry-Paraffin

1:50 - 1:200

Western Blot

0.04-0.4 ug/ml
Application Notes
For IHC-Paraffin, HIER pH 6 retrieval is recommended.

Formulation, Preparation, and Storage

Purification

Affinity purified

Formulation

PBS (pH 7.2) and 40% Glycerol

Format

BSA Free

Preservative

0.02% Sodium Azide

Concentration

Concentrations vary lot to lot. See vial label for concentration. If unlisted please contact technical services.

Shipping

The product is shipped with polar packs. Upon receipt, store it immediately at the temperature recommended below.

Stability & Storage

Store at 4C short term. Aliquot and store at -20C long term. Avoid freeze-thaw cycles.

Background: PP2A

Protein phosphatase type 2A (PP2A ) is a protein serine/threonine phosphatase that controls fundamental cellular processes, including transcription, translation, metabolism, cell growth, apoptosis, and varied other signal transduction pathways. PP2A is comprised of a core enzyme (which is made up of catalytic C and regulatory A (PR65) subunits) and a secondary regulatory B subunit. PP2A alpha refers to the alpha isoform of the PP2A catalytic subunit.

Alternate Names

PP2CA, PPP2CA, RP-C

Entrez Gene IDs

5516 (Human)

Gene Symbol

PPP2CA

Additional PP2A Products

Product Documents for PP2A alpha Antibody - BSA Free

Certificate of Analysis

To download a Certificate of Analysis, please enter a lot number in the search box below.

Product Specific Notices for PP2A alpha Antibody - BSA Free

This product is for research use only and is not approved for use in humans or in clinical diagnosis. Primary Antibodies are guaranteed for 1 year from date of receipt.

Loading...
Loading...
Loading...
Loading...