Skip to main content

PP2A alpha Antibody

Novus Biologicals, part of Bio-Techne | Catalog # NB100-844

Novus Biologicals, part of Bio-Techne
Catalog #
Availability
Size / Price
Qty
Loading...
NB100-844

Key Product Details

Species Reactivity

Validated:

Human, Mouse, Rat, Porcine

Predicted:

Bovine (100%), Canine (100%), Rabbit (100%). Backed by our 100% Guarantee.

Applications

Immunohistochemistry, Immunohistochemistry-Paraffin, Western Blot, Peptide ELISA

Label

Unconjugated

Antibody Source

Polyclonal Goat IgG

Concentration

0.5 mg/ml

Product Specifications

Immunogen

Peptide with sequence C-EPHVTRRTPDYFL corresponding to C-Terminus according to NP_004147.1.

Specificity

Two variants NP_001009552.1 and NP_004147.1 represent identical protein.

Clonality

Polyclonal

Host

Goat

Isotype

IgG

Description

Novus Biologicals Goat PP2A alpha Antibody (NB100-844) is a polyclonal antibody validated for use in IHC, WB and ELISA. Anti-PP2A alpha Antibody: Cited in 1 publication. All Novus Biologicals antibodies are covered by our 100% guarantee.

Scientific Data Images for PP2A alpha Antibody

Western Blot: PP2A alpha Antibody [NB100-844]

Western Blot: PP2A alpha Antibody [NB100-844]

Western Blot: PP2A alpha Antibody [NB100-844] - Staining of Mouse (A), Rat (B) and Pig (C) Brain lysate (35 ug protein in RIPA buffer). Antibody at 0.03 ug/mL. Detected by chemiluminescence.
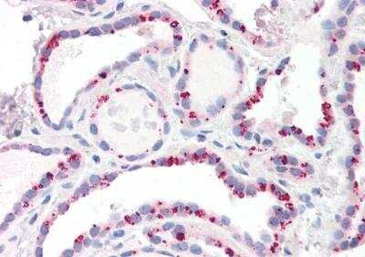
Immunohistochemistry-Paraffin: PP2A alpha Antibody [NB100-844]

Immunohistochemistry-Paraffin: PP2A alpha Antibody [NB100-844]

Immunohistochemistry-Paraffin: PP2A alpha Antibody [NB100-844] - )Staining of paraffin embedded Human Thyroid. Antibody at 10 ug/mL. Steamed antigen retrieval with citrate buffer pH 6, AP-staining.
Western Blot: PP2A alpha Antibody [NB100-844]

Western Blot: PP2A alpha Antibody [NB100-844]

Western Blot: PP2A alpha Antibody [NB100-844] - Staining of Human Cerebellum lysate (35 ug protein in RIPA buffer). Antibody at 0.1 ug/mL. Detected by chemiluminescence.

Applications for PP2A alpha Antibody

Application
Recommended Usage

Immunohistochemistry-Paraffin

10 ug/mL

Peptide ELISA

Detection limit 1:128000

Western Blot

1 - 3 ug/mL
Application Notes
WB: Approx. 36 kDa band observed in human brain (cerebellum), mouse, rat and porcine brain lysates (calculated MW of 35.6 kDa band according to human NP_002706.1, mouse NP_062284.1, rat NP_058735.1 and porcine NP_999531.1).

Formulation, Preparation, and Storage

Purification

Immunogen affinity purified

Formulation

Tris saline (20 mM Tris pH 7.3, 150 mM NaCl), 0.5% BSA

Preservative

0.02% Sodium Azide

Concentration

0.5 mg/ml

Shipping

The product is shipped with polar packs. Upon receipt, store it immediately at the temperature recommended below.

Stability & Storage

Store at -20C. Avoid freeze-thaw cycles.

Background: PP2A

Functions in cell cycle control and growth factor signaling. PP2A can modulate the activity of phosphorylase B kinase casein kinase 2, mitogen-stimulated S6 kinase, and MAP-2 kinase. It can also dephosphorylate SV40 large T antigen and p53.

Alternate Names

PP2CA, PPP2CA, RP-C

Entrez Gene IDs

5515 (Human); 5516 (Human); 19052 (Mouse); 24672 (Rat)

Gene Symbol

PPP2CA

UniProt

Additional PP2A Products

Product Documents for PP2A alpha Antibody

Certificate of Analysis

To download a Certificate of Analysis, please enter a lot number in the search box below.

Product Specific Notices for PP2A alpha Antibody

This product is for research use only and is not approved for use in humans or in clinical diagnosis. Primary Antibodies are guaranteed for 1 year from date of receipt.

Loading...
Loading...
Loading...
Loading...