Skip to main content

POU2F3 Antibody - BSA Free

Novus Biologicals, part of Bio-Techne | Catalog # NBP2-88074

Novus Biologicals, part of Bio-Techne
Catalog #
Availability
Size / Price
Qty
Loading...
NBP2-88074

Key Product Details

Species Reactivity

Human, Mouse, Rat

Applications

Immunohistochemistry, Immunohistochemistry-Paraffin, Western Blot

Label

Unconjugated

Antibody Source

Polyclonal Rabbit

Format

BSA Free

Concentration

0.5 mg/ml

Product Specifications

Immunogen

The immunogen is a synthetic peptide directed towards the N terminal region of human POU2F3. Peptide sequence: KMSGDVADSTDARSTLSQVEPGNDRKGLDFNRQIKTEDLSDSLQQTLSHR The peptide sequence for this immunogen was taken from within the described region.

Clonality

Polyclonal

Host

Rabbit

Description

Novus Biologicals Rabbit POU2F3 Antibody - BSA Free (NBP2-88074) is a polyclonal antibody validated for use in IHC and WB. All Novus Biologicals antibodies are covered by our 100% guarantee.

Scientific Data Images for POU2F3 Antibody - BSA Free

Western Blot: POU2F3 Antibody [NBP2-88074]

Western Blot: POU2F3 Antibody [NBP2-88074]

Western Blot: POU2F3 Antibody [NBP2-88074] - WB Suggested Anti-POU2F3 Antibody Titration: 0.2-1 ug/ml. ELISA Titer: 1:312500. Positive Control: HepG2 cell lysate
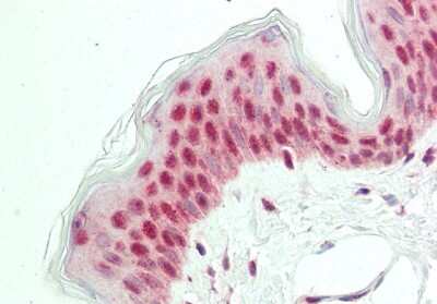
Immunohistochemistry: POU2F3 Antibody [NBP2-88074]

Immunohistochemistry: POU2F3 Antibody [NBP2-88074]

Immunohistochemistry: POU2F3 Antibody [NBP2-88074] - Sample Type: Mouse tongue tissue. Primary Antibody Dilution: 1:100. Secondary Antibody: Anti-rabbit-Cy3. Secondary Antibody Dilution: 1:500. Color/Signal Descriptions: Red: POU2F3. Gene Name: POU2F3. Submitted by: Dr. Hong Wang, Monell Chemical Senses Center
Western Blot: POU2F3 Antibody [NBP2-88074]

Western Blot: POU2F3 Antibody [NBP2-88074]

Western Blot: POU2F3 Antibody [NBP2-88074] - Host: Rat. Target Name: POU2F3. Sample Tissue: Rat Brain. Antibody Dilution: 1ug/ml

Applications for POU2F3 Antibody - BSA Free

Application
Recommended Usage

Western Blot

1.0 ug/ml

Formulation, Preparation, and Storage

Purification

Affinity purified

Formulation

PBS, 2% Sucrose

Format

BSA Free

Preservative

0.09% Sodium Azide

Concentration

0.5 mg/ml

Shipping

The product is shipped with polar packs. Upon receipt, store it immediately at the temperature recommended below.

Stability & Storage

Store at 4C short term. Aliquot and store at -20C long term. Avoid freeze-thaw cycles.

Background: POU2F3

POU2F3, also referred to as POU domain, class 2, transcription factor 3, is a transcription factor that belongs to the POU protein family. POU2F3 has a 436 amino acid long isoform, a 438 amino acid long isoform, and a 432 amino acid long isoform, all three of which are approximately 47kDa. POU2F3 is highly expressed in keratinocytes and the epidermis. Current research surrounding POU2F3 has shown possible interactions with diseases and disorders such as atherosclerosis, bipolar disorder, herpes, cervical cancer, breast cancer, and neuroendocrine tumors. POU2F3 has also been shown to interact with Bcl6, Ubiquitin and KAT3A/CBP.

Long Name

POU class 2 homeobox 3

Alternate Names

Epoc-1, OCT-11, OCT11, OTF-11, PLA-1, PLA1, Skn-1a

Gene Symbol

POU2F3

Additional POU2F3 Products

Product Documents for POU2F3 Antibody - BSA Free

Certificate of Analysis

To download a Certificate of Analysis, please enter a lot number in the search box below.

Product Specific Notices for POU2F3 Antibody - BSA Free

This product is for research use only and is not approved for use in humans or in clinical diagnosis. Primary Antibodies are guaranteed for 1 year from date of receipt.

Loading...
Loading...
Loading...
Loading...