Skip to main content

PON2 Antibody

Novus Biologicals, part of Bio-Techne | Catalog # NBP1-52005

Novus Biologicals, part of Bio-Techne
Catalog #
Availability
Size / Price
Qty
Loading...
NBP1-52005

Key Product Details

Species Reactivity

Human

Applications

Immunohistochemistry, Immunohistochemistry-Paraffin, Western Blot, Peptide ELISA

Label

Unconjugated

Antibody Source

Polyclonal Goat IgG

Concentration

0.5 mg/ml

Product Specifications

Immunogen

Peptide with sequence C-EKPRARELRIS corresponding to internal region according to NP_000296.2, NP_001018171.1.

Epitope

C-EKPRARELRIS

Reactivity Notes

Expected from sequence similarity: Rat, Porcine, Canine

Specificity

This antibody is expected to recognize isoforms 1 and 2 (NP_000296.2; NP_001018171.1).

Clonality

Polyclonal

Host

Goat

Isotype

IgG

Description

Novus Biologicals Goat PON2 Antibody (NBP1-52005) is a polyclonal antibody validated for use in IHC, WB and ELISA. Anti-PON2 Antibody: Cited in 1 publication. All Novus Biologicals antibodies are covered by our 100% guarantee.

Scientific Data Images for PON2 Antibody

Western Blot: PON2 Antibody [NBP1-52005]

Western Blot: PON2 Antibody [NBP1-52005]

Western Blot: PON2 Antibody [NBP1-52005] - HepG2 lysate (35ug protein in RIPA buffer) using NBP1-52005 at 0.2ug/ml. Primary incubation was 1 hour. Detected by chemiluminescence.
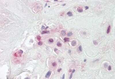
Immunohistochemistry-Paraffin: PON2 Antibody [NBP1-52005]

Immunohistochemistry-Paraffin: PON2 Antibody [NBP1-52005]

Immunohistochemistry-Paraffin: PON2 Antibody [NBP1-52005] - 3.75ug/ml staining of paraffin embedded Human Placenta. Steamed antigen retrieval with citrate buffer pH 6, AP-staining.

Applications for PON2 Antibody

Application
Recommended Usage

Peptide ELISA

Detection limit 1:32000

Western Blot

0.2 ug/ml
Application Notes
Western blot: Approx 40kDa double band observed in lysates of HepG2 (calculated MW of 39.4kDa according to NP_000296.2 and of 38.0kDa according to NP_001018171.1). Primary incubation was 1 hour. An additional band of unknown identity was also consistently observed at 60kDa. This band was successfully blocked by incubation with the immunizing peptide
IHC: Paraffin embedded Human Placenta.

Formulation, Preparation, and Storage

Purification

Immunogen affinity purified

Formulation

Tris saline (20 mM Tris pH 7.3, 150 mM NaCl), 0.5% BSA

Preservative

0.02% Sodium Azide

Concentration

0.5 mg/ml

Shipping

The product is shipped with polar packs. Upon receipt, store it immediately at the temperature recommended below.

Stability & Storage

Store at -20C. Avoid freeze-thaw cycles.

Background: PON2

This gene encodes a member of the paraoxonase gene family, which includes three known members located adjacent to each other on the long arm of chromosome 7. The encoded protein is ubiquitously expressed in human tissues, membrane-bound, and may act as a cellular antioxidant, protecting cells from oxidative stress. Hydrolytic activity against acylhomoserine lactones, important bacterial quorum-sensing mediators, suggests the encoded protein may also play a role in defense responses to pathogenic bacteria. Mutations in this gene may be associated with vascular disease and a number of quantitative phenotypes related to diabetes. Alternatively spliced transcript variants encoding different isoforms have been described.

Long Name

Paraoxonase 2

Alternate Names

A-esterase 2, Serum Aryldialkylphosphatase 2

Entrez Gene IDs

5445 (Human); 296851 (Rat)

Gene Symbol

PON2

Additional PON2 Products

Product Documents for PON2 Antibody

Certificate of Analysis

To download a Certificate of Analysis, please enter a lot number in the search box below.

Product Specific Notices for PON2 Antibody

This product is for research use only and is not approved for use in humans or in clinical diagnosis. Primary Antibodies are guaranteed for 1 year from date of receipt.

Loading...
Loading...
Loading...
Loading...