Skip to main content

POM121 Antibody - BSA Free

Novus Biologicals, part of Bio-Techne | Catalog # NBP3-46937

Novus Biologicals, part of Bio-Techne
Catalog #
Availability
Size / Price
Qty
Loading...
NBP3-46937

Key Product Details

Species Reactivity

Human, Rat

Applications

Immunohistochemistry, Western Blot, ELISA, Immunocytochemistry/ Immunofluorescence

Label

Unconjugated

Antibody Source

Polyclonal Rabbit IgG

Format

BSA Free

Concentration

Please see the vial label for concentration. If unlisted please contact technical services.

Product Specifications

Immunogen

POM121 membrane glycoprotein(rat). (Uniprot# Q96HA1)

Clonality

Polyclonal

Host

Rabbit

Isotype

IgG

Description

Novus Biologicals Rabbit POM121 Antibody - BSA Free (NBP3-46937) is a polyclonal antibody validated for use in IHC, WB, ELISA and ICC/IF. All Novus Biologicals antibodies are covered by our 100% guarantee.

Scientific Data Images for POM121 Antibody - BSA Free

POM121 Antibody - BSA Free

Western Blot: POM121 Antibody - BSA Free [NBP3-46937] -

Western Blot: POM121 Antibody - BSA Free [NBP3-46937] - HeLa cells were subjected to SDS PAGE followed by western blot with (POM121 Antibody) at dilution of 1:300
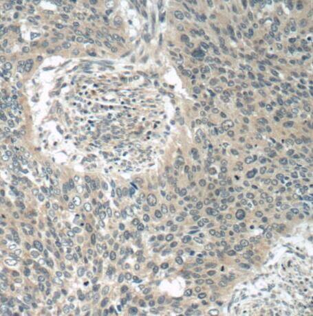
POM121 Antibody - BSA Free

Immunohistochemistry: POM121 Antibody - BSA Free [NBP3-46937] -

Immunohistochemistry: POM121 Antibody - BSA Free [NBP3-46937] - Immunohistochemistry of paraffin-embedded human cervical cancer tissue slide using (POM121 Antibody) at dilution of 1:50

Applications for POM121 Antibody - BSA Free

Application
Recommended Usage

Immunocytochemistry/ Immunofluorescence

1:10-1:100

Immunohistochemistry

1:20-1:200

Western Blot

1:200-1:1000
Application Notes
Theoretical Molecular Weight is 140-150 kDa

Formulation, Preparation, and Storage

Purification

Immunogen affinity purified

Formulation

PBS, 50% Glycerol, pH (7.3)

Format

BSA Free

Preservative

0.02% Sodium Azide

Concentration

Please see the vial label for concentration. If unlisted please contact technical services.

Shipping

The product is shipped with polar packs. Upon receipt, store it immediately at the temperature recommended below.

Stability & Storage

Store at -20C. Avoid freeze-thaw cycles.

Background: POM121

Alternate Names

FLJ41820, MGC3792, nuclear envelope pore membrane protein POM 121, nuclear pore membrane protein 121 kDa, nucleoporin Nup121, NUP121, P145, POM121 membrane glycoprotein, POM121A

Gene Symbol

POM121

Additional POM121 Products

Product Documents for POM121 Antibody - BSA Free

Certificate of Analysis

To download a Certificate of Analysis, please enter a lot number in the search box below.

Product Specific Notices for POM121 Antibody - BSA Free

This product is for research use only and is not approved for use in humans or in clinical diagnosis. Primary Antibodies are guaranteed for 1 year from date of receipt.

Loading...
Loading...
Loading...
Loading...