Skip to main content

POLR3K Antibody - BSA Free

Novus Biologicals, part of Bio-Techne | Catalog # NBP1-80815

Novus Biologicals, part of Bio-Techne
Catalog #
Availability
Size / Price
Qty
Loading...
NBP1-80815

Key Product Details

Species Reactivity

Validated:

Human

Cited:

Mouse

Predicted:

Mouse (99%), Rat (99%). Backed by our 100% Guarantee.

Applications

Validated:

Immunohistochemistry, Immunohistochemistry-Paraffin, Western Blot

Cited:

Immunohistochemistry-Paraffin

Label

Unconjugated

Antibody Source

Polyclonal Rabbit IgG

Format

BSA Free

Concentration

Concentrations vary lot to lot. See vial label for concentration. If unlisted please contact technical services.

Product Specifications

Immunogen

This antibody was developed against Recombinant Protein corresponding to amino acids: PGCGNGLIVEEGQRCHRFACNTCPYVHNITRKVTNRKYPKLKEVDDVLGGAAAWENVDSTAESCPKCEHPRAYFMQLQTRSADEPMTTFYKCCNAQCGHRWRD

Clonality

Polyclonal

Host

Rabbit

Isotype

IgG

Description

Novus Biologicals Rabbit POLR3K Antibody - BSA Free (NBP1-80815) is a polyclonal antibody validated for use in IHC and WB. Anti-POLR3K Antibody: Cited in 1 publication. All Novus Biologicals antibodies are covered by our 100% guarantee.

Scientific Data Images for POLR3K Antibody - BSA Free

Western Blot: POLR3K Antibody [NBP1-80815]

Western Blot: POLR3K Antibody [NBP1-80815]

Western Blot: POLR3K Antibody [NBP1-80815] - Analysis in control (vector only transfected HEK293T lysate) and POLR3K over-expression lysate (Co-expressed with a C-terminal myc-DDK tag (3.1 kDa) in mammalian HEK293T cells).
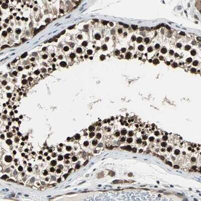
Immunohistochemistry-Paraffin: POLR3K Antibody [NBP1-80815]

Immunohistochemistry-Paraffin: POLR3K Antibody [NBP1-80815]

Immunohistochemistry-Paraffin: POLR3K Antibody [NBP1-80815] - Staining of human testis shows strong nuclear positivity in cells of seminiferus ducts.

Applications for POLR3K Antibody - BSA Free

Application
Recommended Usage

Immunohistochemistry

1:50 - 1:200

Immunohistochemistry-Paraffin

1:50 - 1:200

Western Blot

0.04-0.4 ug/ml
Application Notes
For IHC-Paraffin, HIER pH 6 retrieval is recommended.

Formulation, Preparation, and Storage

Purification

Affinity purified

Formulation

PBS (pH 7.2) and 40% Glycerol

Format

BSA Free

Preservative

0.02% Sodium Azide

Concentration

Concentrations vary lot to lot. See vial label for concentration. If unlisted please contact technical services.

Shipping

The product is shipped with polar packs. Upon receipt, store it immediately at the temperature recommended below.

Stability & Storage

Store at 4C short term. Aliquot and store at -20C long term. Avoid freeze-thaw cycles.

Background: POLR3K

POLR3K encodes a small essential subunit of RNA polymerase III, the polymerase responsible for synthesizing transfer and small ribosomal RNAs in eukaryotes. The carboxy-terminal domain of this subunit shares a high degree of sequence similarity to the carboxy-terminal domain of an RNA polymerase II elongation factor. This similarity in sequence is supported by functional studies showing that this subunit is required for proper pausing and termination during transcription.

Alternate Names

C11, DNA-directed RNA polymerase III subunit K, DNA-directed RNA polymerase III subunit RPC10, DNA-directed RNA polymerases III 12.5 kDa polypeptide, hRPC11, HsC11p, polymerase (RNA) III (DNA directed) polypeptide K (12.3 kDa), polymerase (RNA) III (DNA directed) polypeptide K, 12.3 kDa, RNA polymerase III 12.5 kDa subunit, RNA polymerase III subunit (hRPC11), RNA polymerase III subunit C10, RNA polymerase III subunit C11, RNA polymerase III subunit CII, RPC10, RPC11C11-RNP3, RPC12.5

Entrez Gene IDs

51728 (Human)

Gene Symbol

POLR3K

Additional POLR3K Products

Product Documents for POLR3K Antibody - BSA Free

Certificate of Analysis

To download a Certificate of Analysis, please enter a lot number in the search box below.

Product Specific Notices for POLR3K Antibody - BSA Free

This product is for research use only and is not approved for use in humans or in clinical diagnosis. Primary Antibodies are guaranteed for 1 year from date of receipt.

Loading...
Loading...
Loading...
Loading...