Skip to main content

POLR2C Antibody (3T8K8)

Novus Biologicals, part of Bio-Techne | Catalog # NBP3-16871

Recombinant Monoclonal Antibody
Novus Biologicals, part of Bio-Techne
Catalog #
Availability
Size / Price
Qty
Loading...
NBP3-16871-100ul
NBP3-16871-20ul

Key Product Details

Species Reactivity

Human, Mouse, Rat

Applications

Immunohistochemistry, Immunohistochemistry-Paraffin, Western Blot

Label

Unconjugated

Antibody Source

Recombinant Monoclonal Rabbit IgG Clone # 3T8K8 expressed in HEK293

Concentration

Please see the vial label for concentration. If unlisted please contact technical services.

Product Specifications

Immunogen

A synthetic peptide corresponding to a sequence within amino acids 1-100 of human POLR2C (P19387). MPYANQPTVRITELTDENVKFIIENTDLAVANSIRRVFIAEVPIIAIDWVQIDANSSVLHDEFIAHRLGLIPLISDDIVDKLQYSRDCTCEEFCPECSVE

Clonality

Monoclonal

Host

Rabbit

Isotype

IgG

Description

Novus Biologicals Rabbit POLR2C Antibody (3T8K8) (NBP3-16871) is a recombinant monoclonal antibody validated for use in IHC and WB. All Novus Biologicals antibodies are covered by our 100% guarantee.

Scientific Data Images for POLR2C Antibody (3T8K8)

Western Blot: POLR2C Antibody (3T8K8) [NBP3-16871]

Western Blot: POLR2C Antibody (3T8K8) [NBP3-16871]

Western Blot: POLR2C Antibody (3T8K8) [NBP3-16871] - Western blot analysis of extracts of various cell lines, using POLR2C antibody (NBP3-16871) at 1:500 dilution. Secondary antibody: HRP Goat Anti-Rabbit IgG (H+L) at 1:10000 dilution. Lysates/proteins: 25ug per lane. Blocking buffer: 3% nonfat dry milk in TBST. Detection: ECL Enhanced Kit. Exposure time: 180s.
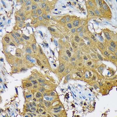
Immunohistochemistry-Paraffin: POLR2C Antibody (3T8K8) [NBP3-16871]

Immunohistochemistry-Paraffin: POLR2C Antibody (3T8K8) [NBP3-16871]

Immunohistochemistry-Paraffin: POLR2C Antibody (3T8K8) [NBP3-16871] - Immunohistochemistry of paraffin-embedded human lung cancer using POLR2C Rabbit mAb (NBP3-16871) at dilution of 1:100 (40x lens).Perform microwave antigen retrieval with 10 mM Tris/EDTA buffer pH 9.0 before commencing with IHC staining protocol.
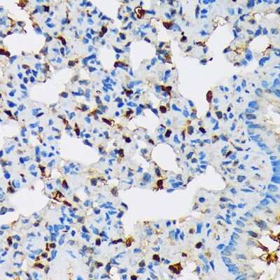
Immunohistochemistry-Paraffin: POLR2C Antibody (3T8K8) [NBP3-16871]

Immunohistochemistry-Paraffin: POLR2C Antibody (3T8K8) [NBP3-16871]

Immunohistochemistry-Paraffin: POLR2C Antibody (3T8K8) [NBP3-16871] - Immunohistochemistry of paraffin-embedded rat lung using POLR2C Rabbit mAb (NBP3-16871) at dilution of 1:100 (40x lens).Perform microwave antigen retrieval with 10 mM Tris/EDTA buffer pH 9.0 before commencing with IHC staining protocol.

Applications for POLR2C Antibody (3T8K8)

Application
Recommended Usage

Immunohistochemistry

1:50 - 1:200

Western Blot

1:100 - 1:500

Formulation, Preparation, and Storage

Purification

Affinity purified

Formulation

PBS (pH 7.3), 50% glycerol, 0.05% BSA

Preservative

0.02% Sodium Azide

Concentration

Please see the vial label for concentration. If unlisted please contact technical services.

Shipping

The product is shipped with polar packs. Upon receipt, store it immediately at the temperature recommended below.

Stability & Storage

Store at -20C. Avoid freeze-thaw cycles.

Background: POLR2C

The POLR2C gene encodes the third largest subunit of RNA polymerase II, the polymerase responsible for synthesizing messenger RNA in eukaryotes. The product of this gene contains a cysteine rich region and exists as a heterodimer with another polymerase subunit

Alternate Names

DNA-directed RNA polymerase II 33 kDa polypeptide, DNA-directed RNA polymerase II subunit C, DNA-directed RNA polymerase II subunit RPB3, hRPB33, hsRPB3, polymerase (RNA) II (DNA directed) polypeptide C (33kD), polymerase (RNA) II (DNA directed) polypeptide C, 33kDa, RNA polymerase II subunit 3, RNA polymerase II subunit B3, RPB3, RPB31, RPB33

Gene Symbol

POLR2C

Additional POLR2C Products

Product Documents for POLR2C Antibody (3T8K8)

Certificate of Analysis

To download a Certificate of Analysis, please enter a lot number in the search box below.

Product Specific Notices for POLR2C Antibody (3T8K8)

This product is for research use only and is not approved for use in humans or in clinical diagnosis. Primary Antibodies are guaranteed for 1 year from date of receipt.

Loading...
Loading...
Loading...
Loading...