Skip to main content

POLG2 Antibody - BSA Free

Novus Biologicals, part of Bio-Techne | Catalog # NBP3-47096

Novus Biologicals, part of Bio-Techne
Catalog #
Availability
Size / Price
Qty
Loading...
NBP3-47096

Key Product Details

Species Reactivity

Human, Mouse, Rat

Applications

Immunohistochemistry, Western Blot, ELISA, Immunocytochemistry/ Immunofluorescence

Label

Unconjugated

Antibody Source

Polyclonal Rabbit IgG

Format

BSA Free

Concentration

Please see the vial label for concentration. If unlisted please contact technical services.

Product Specifications

Immunogen

polymerase (DNA directed), gamma 2, accessory subunit. (Uniprot# Q9UHN1)

Clonality

Polyclonal

Host

Rabbit

Isotype

IgG

Theoretical MW

55 kDa.
Disclaimer note: The observed molecular weight of the protein may vary from the listed predicted molecular weight due to post translational modifications, post translation cleavages, relative charges, and other experimental factors.

Description

Novus Biologicals Rabbit POLG2 Antibody - BSA Free (NBP3-47096) is a polyclonal antibody validated for use in IHC, WB, ELISA and ICC/IF. All Novus Biologicals antibodies are covered by our 100% guarantee.

Scientific Data Images for POLG2 Antibody - BSA Free

POLG2 Antibody - BSA Free

Western Blot: POLG2 Antibody - BSA Free [NBP3-47096] -

Western Blot: POLG2 Antibody - BSA Free [NBP3-47096] - COLO 320 cells were subjected to SDS PAGE followed by western blot with ( POLG2 Antibody) at dilution of 1:1000
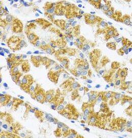
POLG2 Antibody - BSA Free

Immunohistochemistry: POLG2 Antibody - BSA Free [NBP3-47096] -

Immunohistochemistry: POLG2 Antibody - BSA Free [NBP3-47096] - Immunohistochemistry of paraffin-embedded human stomach using (POLG2 antibody) at dilution of 1:100

Applications for POLG2 Antibody - BSA Free

Application
Recommended Usage

Immunocytochemistry/ Immunofluorescence

1:50 - 1:100

Immunohistochemistry

1:50 - 1:200

Western Blot

1:500 - 1:2000

Formulation, Preparation, and Storage

Purification

Immunogen affinity purified

Formulation

PBS, 50% Glycerol, pH (7.3)

Format

BSA Free

Preservative

0.02% Sodium Azide

Concentration

Please see the vial label for concentration. If unlisted please contact technical services.

Shipping

The product is shipped with polar packs. Upon receipt, store it immediately at the temperature recommended below.

Stability & Storage

Store at -20C. Avoid freeze-thaw cycles.

Background: POLG2

The accuracy of mitochondrial DNA (mtDNA) replication depends on the coordinated action of many nuclear-encoded proteins and on the correct balance of nucleotides within the mitochondrial matrix. mtDNA is replicated by DNA polymerase gamma, which is composed of a 140-kD catalytic subunit (POLG1; MIM 174763) and a 55-kD accessory subunit (POLG2).[supplied by OMIM]

Alternate Names

DNA polymerase gamma accessory 55 kDa subunit, DNA polymerase subunit gamma-2, mitochondrial, EC 2.7.7.7, HP55, Mitochondrial DNA polymerase accessory subunit, mitochondrial DNA polymerase subunit gamma-2, mitochondrial DNA polymerase, accessory subunit, MtPolB, MTPOLBPOLG-BETA, p55, PEOA4, POLB, POLGB, PolG-beta, polymerase (DNA directed), gamma 2, accessory subunit

Gene Symbol

POLG2

Additional POLG2 Products

Product Documents for POLG2 Antibody - BSA Free

Certificate of Analysis

To download a Certificate of Analysis, please enter a lot number in the search box below.

Product Specific Notices for POLG2 Antibody - BSA Free

This product is for research use only and is not approved for use in humans or in clinical diagnosis. Primary Antibodies are guaranteed for 1 year from date of receipt.

Loading...
Loading...
Loading...
Loading...