Skip to main content

POLG2 Antibody - BSA Free

Novus Biologicals, part of Bio-Techne | Catalog # NBP1-83227

Novus Biologicals, part of Bio-Techne
Catalog #
Availability
Size / Price
Qty
Loading...
NBP1-83227
NBP1-83227-25ul

Key Product Details

Species Reactivity

Human

Applications

Immunohistochemistry, Immunohistochemistry-Paraffin

Label

Unconjugated

Antibody Source

Polyclonal Rabbit IgG

Format

BSA Free

Concentration

Concentrations vary lot to lot. See vial label for concentration. If unlisted please contact technical services.

Product Specifications

Immunogen

This antibody was developed against Recombinant Protein corresponding to amino acids: LDRGMLAYLYDSFQLTENSFTRKKNLHRKVLKLHPCLAPIKVALDVGRGPTLELRQVCQGLFNELLENGISVWPGYLETMQSSLEQLYSKYDEMSILFTVLVTETTLENGLIHLRSRDTTMKE

Reactivity Notes

Immunogen displays the following percentage of sequence identity for non-tested species: Rat (89%), Mouse (86%)

Clonality

Polyclonal

Host

Rabbit

Isotype

IgG

Scientific Data Images for POLG2 Antibody - BSA Free

Immunohistochemistry-Paraffin: POLG2 Antibody [NBP1-83227]

Immunohistochemistry-Paraffin: POLG2 Antibody [NBP1-83227]

Immunohistochemistry-Paraffin: POLG2 Antibody [NBP1-83227] - Staining of human heart muscle shows cytoplasmic positivity.
Immunohistochemistry-Paraffin: POLG2 Antibody [NBP1-83227]

Immunohistochemistry-Paraffin: POLG2 Antibody [NBP1-83227]

Immunohistochemistry-Paraffin: POLG2 Antibody [NBP1-83227] - Staining of human duodenum shows cytoplasmic positivity in glandular cells.
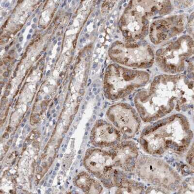
Immunohistochemistry-Paraffin: POLG2 Antibody [NBP1-83227]

Immunohistochemistry-Paraffin: POLG2 Antibody [NBP1-83227]

Immunohistochemistry-Paraffin: POLG2 Antibody [NBP1-83227] - Staining of human kidney shows moderate granular cytoplasmic positivity in cells in tubules.

Applications for POLG2 Antibody - BSA Free

Application
Recommended Usage

Immunohistochemistry

1:20 - 1:50

Immunohistochemistry-Paraffin

1:20 - 1:50
Application Notes
For IHC-Paraffin, HIER pH 6 retrieval is recommended.

Formulation, Preparation, and Storage

Purification

Affinity purified

Formulation

PBS (pH 7.2) and 40% Glycerol

Format

BSA Free

Preservative

0.02% Sodium Azide

Concentration

Concentrations vary lot to lot. See vial label for concentration. If unlisted please contact technical services.

Shipping

The product is shipped with polar packs. Upon receipt, store it immediately at the temperature recommended below.

Stability & Storage

Store at 4C short term. Aliquot and store at -20C long term. Avoid freeze-thaw cycles.

Background: POLG2

The accuracy of mitochondrial DNA (mtDNA) replication depends on the coordinated action of many nuclear-encoded proteins and on the correct balance of nucleotides within the mitochondrial matrix. mtDNA is replicated by DNA polymerase gamma, which is composed of a 140-kD catalytic subunit (POLG1; MIM 174763) and a 55-kD accessory subunit (POLG2).[supplied by OMIM]

Alternate Names

DNA polymerase gamma accessory 55 kDa subunit, DNA polymerase subunit gamma-2, mitochondrial, EC 2.7.7.7, HP55, Mitochondrial DNA polymerase accessory subunit, mitochondrial DNA polymerase subunit gamma-2, mitochondrial DNA polymerase, accessory subunit, MtPolB, MTPOLBPOLG-BETA, p55, PEOA4, POLB, POLGB, PolG-beta, polymerase (DNA directed), gamma 2, accessory subunit

Gene Symbol

POLG2

Additional POLG2 Products

Product Documents for POLG2 Antibody - BSA Free

Certificate of Analysis

To download a Certificate of Analysis, please enter a lot number in the search box below.

Product Specific Notices for POLG2 Antibody - BSA Free

This product is for research use only and is not approved for use in humans or in clinical diagnosis. Primary Antibodies are guaranteed for 1 year from date of receipt.

Loading...
Loading...
Loading...
Loading...