Skip to main content

PNUTS/PPP1R10 Antibody - BSA Free

Novus Biologicals, part of Bio-Techne | Catalog # NB100-604

Novus Biologicals, part of Bio-Techne

Key Product Details

Validated by

Independent Antibodies, Biological Validation

Species Reactivity

Validated:

Human

Cited:

Human

Applications

Validated:

Immunohistochemistry, Immunohistochemistry-Paraffin, Western Blot, Immunoprecipitation

Cited:

Immunohistochemistry-Paraffin

Label

Unconjugated

Antibody Source

Polyclonal Rabbit IgG

Format

BSA Free

Concentration

1.0 mg/ml

Product Specifications

Immunogen

A synthetic peptide, mapping to a region region between residues 350 and 400 of human Phosphatase Nuclear Targeting Subunit (a.k.a. Protein Phosphatase 1, regulatory subunit 10) using the numbering given in TrEMBL entry Q96QC0 (GeneID 5514).

Clonality

Polyclonal

Host

Rabbit

Isotype

IgG

Description

Novus Biologicals Rabbit PNUTS/PPP1R10 Antibody - BSA Free (NB100-604) is a polyclonal antibody validated for use in IHC, WB and IP. Anti-PNUTS/PPP1R10 Antibody: Cited in 2 publications. All Novus Biologicals antibodies are covered by our 100% guarantee.

Scientific Data Images for PNUTS/PPP1R10 Antibody - BSA Free

Western Blot: PNUTS/PPP1R10 Antibody [NB100-604]

Western Blot: PNUTS/PPP1R10 Antibody [NB100-604]

Western Blot: PNUTS/PPP1R10 Antibody [NB100-604] - Detection of human PNUTS by western blot. Samples: Whole cell lysate (15 ug) from HeLa, HEK293T, and Jurkat cells prepared using NETN lysis buffer. Antibody: Affinity purified rabbit anti-PNUTS antibody NB100-604 used for WB at 0.1 ug/ml. Detection: Chemiluminescence with an exposure time of 30 seconds.
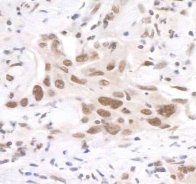
Immunohistochemistry: PNUTS/PPP1R10 Antibody [NB100-604]

Immunohistochemistry: PNUTS/PPP1R10 Antibody [NB100-604]

Immunohistochemistry: PNUTS/PPP1R10 Antibody [NB100-604] - Detection of human PNUTS by immunohistochemistry. Sample: FFPE section of human breast carcinoma. Antibody: Affinity purified rabbit anti- PNUTS (NB100-604). Detection: DAB
Western Blot: PNUTS/PPP1R10 Antibody [NB100-604]

Western Blot: PNUTS/PPP1R10 Antibody [NB100-604]

Western Blot: PNUTS/PPP1R10 Antibody [NB100-604] - Detection of Human PNUTS on HeLa whole cell lysates using NB100-604. IP of PNUTS was successfully performed with NB100-603, NB100-605, and another PNUTS polyclonal. IPed PNUTS was blotted using NB100-605.

Applications for PNUTS/PPP1R10 Antibody - BSA Free

Application
Recommended Usage

Immunohistochemistry-Paraffin

1:500- 1:2000

Immunoprecipitation

1-10 ug/mg lysate

Western Blot

1:1000-1:10000
Application Notes
Epitope retrieval with citrate buffer pH6.0 is recommended for FFPE tissue sections.

Formulation, Preparation, and Storage

Purification

Immunogen affinity purified

Formulation

Tris-Citrate/Phosphate (pH 7.0 - 8.0)

Format

BSA Free

Preservative

0.09% Sodium Azide

Concentration

1.0 mg/ml

Shipping

The product is shipped with polar packs. Upon receipt, store it immediately at the temperature recommended below.

Stability & Storage

Store at 4C. Do not freeze.

Background: PNUTS

Protein phosphatase 1 (PP1) is found in the cell nucleus and has been implicated in several aspects of nuclear function. Phosphatase 1 nuclear targeting subunit (PNUTS) is a novel protein that exhibits a discreet nuclear compartmentalization and is colocalized with chromatin at distinct phases during mitosis. The subcellular localization of PP1 and the activity toward substrates involved in many aspects of cell physiology have previously been shown to be regulated by association with noncatalytic targeting subunits. The properties of PNUTS are consistent with its role as a targeting subunit for the regulation of nuclear PP1 function.

Long Name

Phosphatase-1 Nuclear Targeting Subunit

Alternate Names

PPP1R10

Entrez Gene IDs

5514 (Human)

Gene Symbol

PPP1R10

UniProt

Additional PNUTS Products

Product Documents for PNUTS/PPP1R10 Antibody - BSA Free

Certificate of Analysis

To download a Certificate of Analysis, please enter a lot number in the search box below.

Product Specific Notices for PNUTS/PPP1R10 Antibody - BSA Free

This product is for research use only and is not approved for use in humans or in clinical diagnosis. Primary Antibodies are guaranteed for 1 year from date of receipt.

Loading...
Loading...
Loading...
Loading...