Skip to main content

PNRC1 Antibody - BSA Free

Novus Biologicals, part of Bio-Techne | Catalog # NBP1-90837

Novus Biologicals, part of Bio-Techne
Catalog #
Availability
Size / Price
Qty
Loading...
NBP1-90837
NBP1-90837-25ul

Key Product Details

Species Reactivity

Validated:

Human

Predicted:

Mouse (92%), Rat (91%). Backed by our 100% Guarantee.

Applications

Immunohistochemistry, Immunohistochemistry-Paraffin, Western Blot

Label

Unconjugated

Antibody Source

Polyclonal Rabbit IgG

Format

BSA Free

Concentration

Concentrations vary lot to lot. See vial label for concentration. If unlisted please contact technical services.

Product Specifications

Immunogen

This antibody was developed against Recombinant Protein corresponding to amino acids: QLVHGIHLYEQPKINRQKSKYNLPLTKITSAKRNENNFWQDSVSSDRIQKQEKKPFKNTENIKNSHLKKSAFLTEVSQKENYAGAKFSDPPSPSVLPK

Clonality

Polyclonal

Host

Rabbit

Isotype

IgG

Scientific Data Images for PNRC1 Antibody - BSA Free

Western Blot: PNRC1 Antibody [NBP1-90837]

Western Blot: PNRC1 Antibody [NBP1-90837]

Western Blot: PNRC1 Antibody [NBP1-90837] - Lane 1: Marker [kDa] 230, 130, 95, 72, 56, 36, 28, 17, 11. Lane 2: Human cell line RT-4. Lane 3: Human cell line U-251MG sp
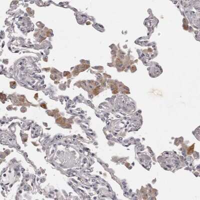
Immunohistochemistry-Paraffin: PNRC1 Antibody [NBP1-90837]

Immunohistochemistry-Paraffin: PNRC1 Antibody [NBP1-90837]

Immunohistochemistry-Paraffin: PNRC1 Antibody [NBP1-90837] - Staining of human lung shows weak to moderate cytoplasmic positivity in macrophages.
Immunohistochemistry-Paraffin: PNRC1 Antibody [NBP1-90837]

Immunohistochemistry-Paraffin: PNRC1 Antibody [NBP1-90837]

Immunohistochemistry-Paraffin: PNRC1 Antibody [NBP1-90837] - Staining of human skeletal muscle shows moderate to strong cytoplasmic positivity in myocytes.

Applications for PNRC1 Antibody - BSA Free

Application
Recommended Usage

Immunohistochemistry

1:20 - 1:50

Immunohistochemistry-Paraffin

1:20 - 1:50

Western Blot

0.04-0.4 ug/ml
Application Notes
For IHC-Paraffin, HIER pH 6 retrieval is recommended.

Formulation, Preparation, and Storage

Purification

Affinity purified

Formulation

PBS (pH 7.2) and 40% Glycerol

Format

BSA Free

Preservative

0.02% Sodium Azide

Concentration

Concentrations vary lot to lot. See vial label for concentration. If unlisted please contact technical services.

Shipping

The product is shipped with polar packs. Upon receipt, store it immediately at the temperature recommended below.

Stability & Storage

Store at 4C short term. Aliquot and store at -20C long term. Avoid freeze-thaw cycles.

Background: PNRC1

Alternate Names

B4-2, PNAS-145, PROL2, proline rich 2 protein, proline-rich nuclear receptor coactivator 1, proline-rich polypeptide 2, proline-rich protein 2, protein B4-2, PRR2

Gene Symbol

PNRC1

Additional PNRC1 Products

Product Documents for PNRC1 Antibody - BSA Free

Certificate of Analysis

To download a Certificate of Analysis, please enter a lot number in the search box below.

Product Specific Notices for PNRC1 Antibody - BSA Free

This product is for research use only and is not approved for use in humans or in clinical diagnosis. Primary Antibodies are guaranteed for 1 year from date of receipt.

Loading...
Loading...
Loading...
Loading...