Skip to main content

PNPO Antibody - BSA Free

Novus Biologicals, part of Bio-Techne | Catalog # NBP1-87302

Novus Biologicals, part of Bio-Techne
Catalog #
Availability
Size / Price
Qty
Loading...
NBP1-87302
NBP1-87302-25ul

Key Product Details

Validated by

Orthogonal Validation, Independent Antibodies

Species Reactivity

Human

Applications

Immunohistochemistry, Immunohistochemistry-Paraffin, Western Blot, Immunocytochemistry/ Immunofluorescence

Label

Unconjugated

Antibody Source

Polyclonal Rabbit IgG

Format

BSA Free

Concentration

Concentrations vary lot to lot. See vial label for concentration. If unlisted please contact technical services.

Product Specifications

Immunogen

This antibody was developed against Recombinant Protein corresponding to amino acids: MTCWLRGVTATFGRPAEWPGYLSHLCGRSAAMDLGPMRKSYRGDREAFEETHLTSLDPVKQFAAWFEEAVQCPDIGEANAMCLATCTR

Reactivity Notes

Immunogen displays the following percentage of sequence identity for non-tested species: Mouse (83%), Rat (84%).

Clonality

Polyclonal

Host

Rabbit

Isotype

IgG

Scientific Data Images for PNPO Antibody - BSA Free

PNPO Antibody

Immunohistochemistry-Paraffin: PNPO Antibody [NBP1-87302] -

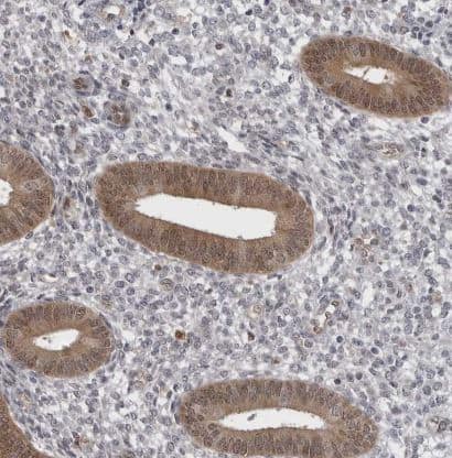
Immunohistochemistry-Paraffin: PNPO Antibody [NBP1-87302] -Analysis in human liver and endometrium tissues using NBP1-87302 antibody. Corresponding PNPO RNA-seq data are presented for the same tissues.
Immunohistochemistry-Paraffin: PNPO Antibody [NBP1-87302]

Immunohistochemistry-Paraffin: PNPO Antibody [NBP1-87302]

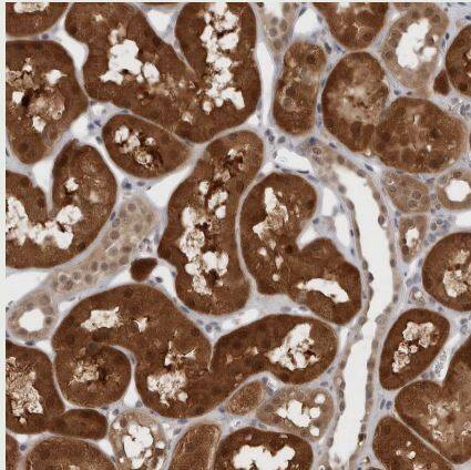
Immunohistochemistry-Paraffin: PNPO Antibody [NBP1-87302] - Staining of human colon, kidney, liver and lymph node using Anti-PNPO antibody NBP1-87302 (A) shows similar protein distribution across tissues to independent antibody NBP1-87303 (B).
Immunocytochemistry/ Immunofluorescence: PNPO Antibody [NBP1-87302]

Immunocytochemistry/ Immunofluorescence: PNPO Antibody [NBP1-87302]

Immunocytochemistry/Immunofluorescence: PNPO Antibody [NBP1-87302] - Staining of human cell line U-2 OS shows localization to nucleoplasm. Antibody staining is shown in green.

Applications for PNPO Antibody - BSA Free

Application
Recommended Usage

Immunocytochemistry/ Immunofluorescence

0.25-2 ug/ml

Immunohistochemistry

1:500 - 1:1000

Immunohistochemistry-Paraffin

1:500 - 1:1000

Western Blot

0.04-0.4 ug/ml
Application Notes
For IHC-Paraffin, HIER pH 6 retrieval is recommended. ICC/IF Fixation Permeabilization: Use PFA/Triton X-100.

Formulation, Preparation, and Storage

Purification

Affinity purified

Formulation

PBS (pH 7.2) and 40% Glycerol

Format

BSA Free

Preservative

0.02% Sodium Azide

Concentration

Concentrations vary lot to lot. See vial label for concentration. If unlisted please contact technical services.

Shipping

The product is shipped with polar packs. Upon receipt, store it immediately at the temperature recommended below.

Stability & Storage

Store at 4C short term. Aliquot and store at -20C long term. Avoid freeze-thaw cycles.

Background: PNPO

Vitamin B6, or pyridoxal 5-prime-phosphate (PLP), is critical for normal cellular function, and some cancer cells have notable differences in vitamin B6 metabolism compared to their normal counterparts. The rate-limiting enzyme in vitamin B6 synthesis is pyridoxine-5-prime-phosphate (PNP) oxidase (PNPO; EC 1.4.3.5).[supplied by OMIM]

Alternate Names

EC 1.4.3.5, FLJ10535, PDXPO, pyridoxal 5'-phosphate synthase, pyridoxamine 5'-phosphate oxidase, Pyridoxamine-phosphate oxidase, pyridoxine 5'-phosphate oxidase, pyridoxine-5'-phosphate oxidase

Gene Symbol

PNPO

Additional PNPO Products

Product Documents for PNPO Antibody - BSA Free

Certificate of Analysis

To download a Certificate of Analysis, please enter a lot number in the search box below.

Product Specific Notices for PNPO Antibody - BSA Free

This product is for research use only and is not approved for use in humans or in clinical diagnosis. Primary Antibodies are guaranteed for 1 year from date of receipt.

Loading...
Loading...
Loading...
Loading...