Skip to main content

PNMT Antibody (CL11434) - Azide and BSA Free

Novus Biologicals, part of Bio-Techne | Catalog # NBP3-44139

Novus Biologicals, part of Bio-Techne
Catalog #
Availability
Size / Price
Qty
Loading...
NBP3-44139
Conjugate
Catalog #
Forumulation
Catalog #

Key Product Details

Validated by

Orthogonal Validation

Species Reactivity

Human

Applications

Immunohistochemistry-Paraffin

Label

Unconjugated

Antibody Source

Monoclonal Mouse IgG1 Clone # CL11434

Format

Azide and BSA Free

Concentration

LYOPH mg/ml

Product Specifications

Immunogen

This antibody was generated using a recombinant protein sequence of P11086, with the exact immunogen sequence remaining proprietary.

Clonality

Monoclonal

Host

Mouse

Isotype

IgG1

Scientific Data Images for PNMT Antibody (CL11434) - Azide and BSA Free

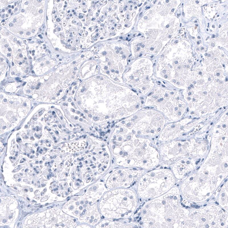
PNMT Antibody (CL11434) - Azide and BSA Free Immunohistochemistry-Paraffin: PNMT Antibody [NBP3-44139]

Immunohistochemistry-Paraffin: PNMT Antibody [NBP3-44139]

Analysis in human adrenal gland and kidney tissues using NBP3-44139 antibody. Corresponding PNMT RNA-seq data are presented for the same tissues.
PNMT Antibody (CL11434) - Azide and BSA Free Immunohistochemistry-Paraffin: PNMT Antibody [NBP3-44139]

Immunohistochemistry-Paraffin: PNMT Antibody [NBP3-44139]

Staining of human Adrenal gland shows strong cytoplasmic positivity in neuroendocrine cells.
PNMT Antibody (CL11434) - Azide and BSA Free Immunohistochemistry-Paraffin: PNMT Antibody [NBP3-44139]

Immunohistochemistry-Paraffin: PNMT Antibody [NBP3-44139]

Staining of human Cerebral cortex shows very weak cytoplasmic positivity in neuronal cells.

Applications for PNMT Antibody (CL11434) - Azide and BSA Free

Application
Recommended Usage

Immunohistochemistry-Paraffin

1:200-1:500
Application Notes
For IHC-Paraffin, HIER pH 6 retrieval is recommended.

Formulation, Preparation, and Storage

Purification

Protein A purified

Reconstitution

Centrifuge the vial of lyophilized antibody at 12,000 x g for 20 seconds. Reconstitute by adding sterile, distilled water to achieve a final antibody concentration of 1mg/ml.

Formulation

Lyophilized from a 0.2 um filtered solution in PBS with Trehalose

Format

Azide and BSA Free

Preservative

No Preservative

Concentration

LYOPH mg/ml

Shipping

The product is shipped at ambient temperature. Upon receipt, store it immediately at the temperature recommended below.

Stability & Storage

Store at 4C short term. Aliquot and store at -20C long term. Avoid freeze-thaw cycles.

Background: PNMT

The product of this gene catalyzes the last step of the catecholamine biosynthesis pathway, which methylates norepinephrine to form epinephrine (adrenaline). The enzyme also has beta-carboline 2N-methyltransferase activity. This gene is thought to play a key step in regulating epinephrine production.

Long Name

Phenylethanolamine N-Methyltransferase

Alternate Names

Noradrenaline N-methyltransferase, PENT, PNMTase

Gene Symbol

PNMT

Additional PNMT Products

Product Documents for PNMT Antibody (CL11434) - Azide and BSA Free

Certificate of Analysis

To download a Certificate of Analysis, please enter a lot number in the search box below.

Product Specific Notices for PNMT Antibody (CL11434) - Azide and BSA Free

This product is for research use only and is not approved for use in humans or in clinical diagnosis. Primary Antibodies are guaranteed for 1 year from date of receipt.

Loading...
Loading...
Loading...
Loading...
Loading...