Skip to main content

PNMA5 Antibody - BSA Free

Novus Biologicals, part of Bio-Techne | Catalog # NBP3-17141

Novus Biologicals, part of Bio-Techne
Catalog #
Availability
Size / Price
Qty
Loading...
NBP3-17141-100ul
NBP3-17141-25ul

Key Product Details

Species Reactivity

Human

Applications

Immunohistochemistry, Immunohistochemistry-Paraffin

Label

Unconjugated

Antibody Source

Polyclonal Rabbit IgG

Format

BSA Free

Concentration

Concentrations vary lot to lot. See vial label for concentration. If unlisted please contact technical services.

Product Specifications

Immunogen

This antibody was developed against Recombinant Protein corresponding to amino acids: KSPLSVRSTDMIRLKHLLARVAMTPALRGKLELLDQRGCPPNFLELMKLIRDEEEWENTEAVMKNKEKPSGR

Clonality

Polyclonal

Host

Rabbit

Isotype

IgG

Description

Novus Biologicals Rabbit PNMA5 Antibody - BSA Free (NBP3-17141) is a polyclonal antibody validated for use in IHC. All Novus Biologicals antibodies are covered by our 100% guarantee.

Scientific Data Images for PNMA5 Antibody - BSA Free

Immunocytochemistry/ Immunofluorescence: PNMA5 Antibody [NBP3-17141]

Immunocytochemistry/ Immunofluorescence: PNMA5 Antibody [NBP3-17141]

Immunocytochemistry/Immunofluorescence: PNMA5 Antibody [NBP3-17141] - Analysis in human testis and pancreas tissues using Anti-PNMA5 antibody. Corresponding PNMA5 RNA-seq data are presented for the same tissues.
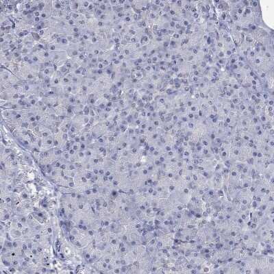
Immunohistochemistry-Paraffin: PNMA5 Antibody [NBP3-17141]

Immunohistochemistry-Paraffin: PNMA5 Antibody [NBP3-17141]

Immunohistochemistry-Paraffin: PNMA5 Antibody [NBP3-17141] - Staining of human pancreas shows low expression as expected.
Immunohistochemistry-Paraffin: PNMA5 Antibody [NBP3-17141]

Immunohistochemistry-Paraffin: PNMA5 Antibody [NBP3-17141]

Immunohistochemistry-Paraffin: PNMA5 Antibody [NBP3-17141] - Staining of human testis shows high expression.

Applications for PNMA5 Antibody - BSA Free

Application
Recommended Usage

Immunohistochemistry

1:1000 - 1:2500

Immunohistochemistry-Paraffin

1:1000 - 1:2500
Application Notes
For IHC-Paraffin, HIER pH 6 retrieval is recommended.

Formulation, Preparation, and Storage

Purification

Affinity purified

Formulation

PBS, pH 7.2, 40% glycerol

Format

BSA Free

Preservative

0.02% Sodium Azide

Concentration

Concentrations vary lot to lot. See vial label for concentration. If unlisted please contact technical services.

Shipping

The product is shipped with polar packs. Upon receipt, store it immediately at the temperature recommended below.

Stability & Storage

Store at 4C short term. Aliquot and store at -20C long term. Avoid freeze-thaw cycles.

Background: PNMA5

Alternate Names

KIAA1934Tumor antigen BJ-HCC-25, paraneoplastic antigen family 5, paraneoplastic antigen like 5, paraneoplastic antigen-like protein 5

Gene Symbol

PNMA5

Additional PNMA5 Products

Product Documents for PNMA5 Antibody - BSA Free

Certificate of Analysis

To download a Certificate of Analysis, please enter a lot number in the search box below.

Product Specific Notices for PNMA5 Antibody - BSA Free

This product is for research use only and is not approved for use in humans or in clinical diagnosis. Primary Antibodies are guaranteed for 1 year from date of receipt.

Loading...
Loading...
Loading...
Loading...