Skip to main content

PNMA3 Antibody (OTI2E6)

Novus Biologicals, part of Bio-Techne | Catalog # NBP2-46460

Novus Biologicals, part of Bio-Techne

Key Product Details

Species Reactivity

Human

Applications

Immunohistochemistry, Immunohistochemistry-Paraffin, Western Blot

Label

Unconjugated

Antibody Source

Monoclonal Mouse IgG1 Clone # OTI2E6

Concentration

1 mg/ml

Product Specifications

Immunogen

Human recombinant corresponding to amino acids 1-250 of human PNMA3(NP_037496) produced in E.coli.

Clonality

Monoclonal

Host

Mouse

Isotype

IgG1

Theoretical MW

52.2 kDa.
Disclaimer note: The observed molecular weight of the protein may vary from the listed predicted molecular weight due to post translational modifications, post translation cleavages, relative charges, and other experimental factors.

Description

Novus Biologicals Mouse PNMA3 Antibody (OTI2E6) (NBP2-46460) is a monoclonal antibody validated for use in IHC and WB. All Novus Biologicals antibodies are covered by our 100% guarantee.

Scientific Data Images for PNMA3 Antibody (OTI2E6)

Western Blot: PNMA3 Antibody (OTI2E6) [NBP2-46460]

Western Blot: PNMA3 Antibody (OTI2E6) [NBP2-46460]

Western Blot: PNMA3 Antibody (2E6) [NBP2-46460] - Analysis of HEK293T cells were transfected with the pCMV6-ENTRY control (Left lane) or pCMV6-ENTRY PNMA3.
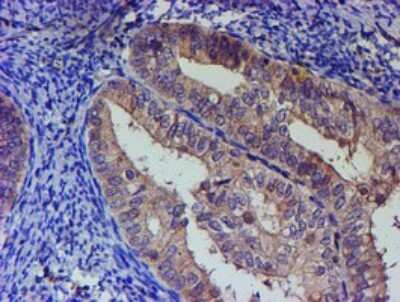
Immunohistochemistry: PNMA3 Antibody (OTI2E6) [NBP2-46460]

Immunohistochemistry: PNMA3 Antibody (OTI2E6) [NBP2-46460]

Immunohistochemistry: PNMA3 Antibody (2E6) [NBP2-46460] - Analysis of Adenocarcinoma of Human endometrium tissue. (Heat-induced epitope retrieval by 10mM citric buffer, pH6.0, 120C for 3min)

Applications for PNMA3 Antibody (OTI2E6)

Application
Recommended Usage

Immunohistochemistry

1:150

Western Blot

1:500

Formulation, Preparation, and Storage

Purification

Immunogen affinity purified

Formulation

PBS (pH 7.3), 1.0% BSA and 50% Glycerol

Preservative

0.02% Sodium Azide

Concentration

1 mg/ml

Shipping

The product is shipped with polar packs. Upon receipt, store it immediately at the temperature recommended below.

Stability & Storage

Store at -20C. Avoid freeze-thaw cycles.

Background: PNMA3

The PNMA3 gene is a member of the paraneoplastic antigen MA (PNMA) gene family, whose protein products share homology with retroviral Gag proteins. They are highly expressed in the brain and also in a range of tumors associated with serious neurological phenot

Alternate Names

MA3MA5, MGC132756, MGC132758, paraneoplastic antigen MA3, paraneoplastic cancer-testis-brain antigen

Gene Symbol

PNMA3

Additional PNMA3 Products

Product Documents for PNMA3 Antibody (OTI2E6)

Certificate of Analysis

To download a Certificate of Analysis, please enter a lot number in the search box below.

Product Specific Notices for PNMA3 Antibody (OTI2E6)

This product is for research use only and is not approved for use in humans or in clinical diagnosis. Primary Antibodies are guaranteed for 1 year from date of receipt.

Loading...
Loading...
Loading...
Loading...