Skip to main content

PNMA2 Antibody - BSA Free

Novus Biologicals, part of Bio-Techne | Catalog # NBP1-82806

Novus Biologicals, part of Bio-Techne
Catalog #
Availability
Size / Price
Qty
Loading...
NBP1-82806
NBP1-82806-25ul

Key Product Details

Validated by

Orthogonal Validation

Species Reactivity

Human

Applications

Immunohistochemistry, Immunohistochemistry-Paraffin, Western Blot

Label

Unconjugated

Antibody Source

Polyclonal Rabbit IgG

Format

BSA Free

Concentration

Concentrations vary lot to lot. See vial label for concentration. If unlisted please contact technical services.

Product Specifications

Immunogen

This antibody was developed against Recombinant Protein corresponding to amino acids: KQENANAVLLELLEDTDVSAIPSEVQGKGGVWKVIFKTPNQDTEFLERLNLFLEKEGQTVSGMFRALGQEGVSPATVPCISPELLAHLLGQAMAHAPQPLLPMRYRKLRVFSGSAVPAPEEESFEVWLEQATEIVKEWPVTEAEKKRWL

Reactivity Notes

Immunogen displays the following percentage of sequence identity for non-tested species: Rat (82%). Reactivity reported in scientific literature (PMID: 22173169)

Clonality

Polyclonal

Host

Rabbit

Isotype

IgG

Scientific Data Images for PNMA2 Antibody - BSA Free

Western Blot: PNMA2 Antibody [NBP1-82806]

Western Blot: PNMA2 Antibody [NBP1-82806]

Western Blot: PNMA2 Antibody [NBP1-82806] - Analysis in control (vector only transfected HEK293T lysate) and PNMA2 over-expression lysate (Co-expressed with a C-terminal myc-DDK tag (3.1 kDa) in mammalian HEK293T cells).
Immunohistochemistry-Paraffin: PNMA2 Antibody [NBP1-82806]

Immunohistochemistry-Paraffin: PNMA2 Antibody [NBP1-82806]

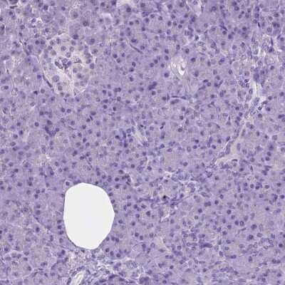
Immunohistochemistry-Paraffin: PNMA2 Antibody [NBP1-82806] - Staining in human cerebral cortex and pancreas tissues using anti-PNMA2 antibody. Corresponding PNMA2 RNA-seq data are presented for the same tissues.
Immunohistochemistry-Paraffin: PNMA2 Antibody [NBP1-82806]

Immunohistochemistry-Paraffin: PNMA2 Antibody [NBP1-82806]

Immunohistochemistry-Paraffin: PNMA2 Antibody [NBP1-82806] - Staining of human cerebral cortex shows high expression.

Applications for PNMA2 Antibody - BSA Free

Application
Recommended Usage

Immunohistochemistry

1:200 - 1:500

Immunohistochemistry-Paraffin

1:200 - 1:500

Western Blot

0.04-0.4 ug/ml
Application Notes
For IHC-Paraffin, HIER pH 6 retrieval is recommended.

Formulation, Preparation, and Storage

Purification

Affinity purified

Formulation

PBS (pH 7.2) and 40% Glycerol

Format

BSA Free

Preservative

0.02% Sodium Azide

Concentration

Concentrations vary lot to lot. See vial label for concentration. If unlisted please contact technical services.

Shipping

The product is shipped with polar packs. Upon receipt, store it immediately at the temperature recommended below.

Stability & Storage

Store at 4C short term. Aliquot and store at -20C long term. Avoid freeze-thaw cycles.

Background: PNMA2

In patients with cancer, symptoms of limbic and brain-stem dysfunction may result from a para-neoplastic disorder. Two proteins, Ma1 and Ma2, were discovered by presence of autoantibodies against them. Antibodies to Ma1 and Ma2 proteins identify a paraneoplastic disorder that affects the limbic system, brain stem, and cerebellum. These autoantibodies were used to clone Ma2, which codes for a protein (Ma2) that was recognized by serum from the 10 patients, but not by serum from 344 control subjects. Ma2 was selectively expressed by normal brain tissue and by the testicular tumors of the patients. Ma2 shares homology with Ma1, a "brain-testis-cancer" gene related to other para-neoplastic syndromes and tumors.

Alternate Names

MA2KIAA0883, MM2, Onconeuronal antigen Ma2, paraneoplastic antigen MA2,40 kDa neuronal protein, Paraneoplastic neuronal antigen MM2, retrotransposon gag domain containing 2, RGAG2

Gene Symbol

PNMA2

Additional PNMA2 Products

Product Documents for PNMA2 Antibody - BSA Free

Certificate of Analysis

To download a Certificate of Analysis, please enter a lot number in the search box below.

Product Specific Notices for PNMA2 Antibody - BSA Free

This product is for research use only and is not approved for use in humans or in clinical diagnosis. Primary Antibodies are guaranteed for 1 year from date of receipt.

Loading...
Loading...
Loading...
Loading...