PNK Antibody - BSA Free
Novus Biologicals, part of Bio-Techne | Catalog # NBP1-87257
Key Product Details
Species Reactivity
Validated:
Human
Cited:
Human, Mouse
Applications
Validated:
Immunohistochemistry, Immunohistochemistry-Paraffin, Western Blot, Immunocytochemistry/ Immunofluorescence, Simple Western, Knockdown Validated
Cited:
Knockout Validated, Western Blot, IF/IHC, Knockdown Validated
Label
Unconjugated
Antibody Source
Polyclonal Rabbit IgG
Format
BSA Free
Concentration
Concentrations vary lot to lot. See vial label for concentration. If unlisted please contact technical services.
Product Specifications
Immunogen
This antibody was developed against Recombinant Protein corresponding to amino acids: PETRTVAVKQLGVNPSTTGTQELKPGLEGSLGVGDTLYLVNGLHPLTLRWEETRTPESQPDTPPGTPLVSQDEKRDAELPKKRMRKSNPGWENLEKLLVFTAAGVKPQGKVAGFDLDGTLITTRSGKVFPTGP
Clonality
Polyclonal
Host
Rabbit
Isotype
IgG
Scientific Data Images for PNK Antibody - BSA Free
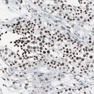
Immunohistochemistry-Paraffin: PNK Antibody [NBP1-87257]
Immunohistochemistry-Paraffin: PNK Antibody [NBP1-87257] - Staining of human testis shows strong nuclear positivity in cells in seminiferus ducts.Applications for PNK Antibody - BSA Free
Application
Recommended Usage
Immunocytochemistry/ Immunofluorescence
0.25-2 ug/ml
Immunohistochemistry
1:20 - 1:50
Immunohistochemistry-Paraffin
1:20 - 1:50
Simple Western
1:20
Western Blot
0.04-0.4 ug/ml
Application Notes
IHC-Paraffin, HIER pH 6 retrieval is recommended. ICC/IF, Fixation Permeabilization: Use PFA/Triton X-100. In Simple Western only 10 - 15 uL of the recommended dilution is used per data point.
See Simple Western Antibody Database for Simple Western validation: Tested in RT-4 and U-251MG, separated by Size, antibody dilution of 1:20, apparent MW was 61 kDa. Separated by Size-Wes, Sally Sue/Peggy Sue.
See Simple Western Antibody Database for Simple Western validation: Tested in RT-4 and U-251MG, separated by Size, antibody dilution of 1:20, apparent MW was 61 kDa. Separated by Size-Wes, Sally Sue/Peggy Sue.
Formulation, Preparation, and Storage
Purification
Affinity purified
Formulation
PBS (pH 7.2) and 40% Glycerol
Format
BSA Free
Preservative
0.02% Sodium Azide
Concentration
Concentrations vary lot to lot. See vial label for concentration. If unlisted please contact technical services.
Shipping
The product is shipped with polar packs. Upon receipt, store it immediately at the temperature recommended below.
Stability & Storage
Store at 4C short term. Aliquot and store at -20C long term. Avoid freeze-thaw cycles.
Background: PNK
Long Name
Bifunctional polynucleotide phosphatase/kinase
Alternate Names
PNKP
Gene Symbol
PNKP
Additional PNK Products
Product Documents for PNK Antibody - BSA Free
Product Specific Notices for PNK Antibody - BSA Free
This product is for research use only and is not approved for use in humans or in clinical diagnosis. Primary Antibodies are guaranteed for 1 year from date of receipt.
Loading...
Loading...
Loading...
Loading...