Skip to main content

PMP70 Antibody (JE39-00)

Novus Biologicals, part of Bio-Techne | Catalog # NBP3-32833

Recombinant Monoclonal Antibody
Novus Biologicals, part of Bio-Techne
Catalog #
Availability
Size / Price
Qty
Loading...
NBP3-32833

Key Product Details

Species Reactivity

Human, Mouse, Rat

Applications

Immunohistochemistry, Immunohistochemistry-Paraffin, Western Blot

Label

Unconjugated

Antibody Source

Recombinant Monoclonal Rabbit IgG Clone # JE39-00 expressed in HEK293

Concentration

1 mg/ml

Product Specifications

Immunogen

Synthetic peptide within Human PMP70 aa 610-659 / 659. (Uniprot: P28288)

Localization

Peroxisome membrane.

Clonality

Monoclonal

Host

Rabbit

Isotype

IgG

Theoretical MW

76 kDa.
Disclaimer note: The observed molecular weight of the protein may vary from the listed predicted molecular weight due to post translational modifications, post translation cleavages, relative charges, and other experimental factors.

Description

Novus Biologicals Rabbit PMP70 Antibody (JE39-00) (NBP3-32833) is a recombinant monoclonal antibody validated for use in IHC and WB. All Novus Biologicals antibodies are covered by our 100% guarantee.

Scientific Data Images for PMP70 Antibody (JE39-00)

PMP70 Antibody (JE39-00)

Western Blot: PMP70 Antibody (JE39-00) [NBP3-32833]

Western Blot: PMP70 Antibody (JE39-00) [NBP3-32833] - Western blot analysis of PMP70 on different lysates with Rabbit anti-PMP70 antibody (NBP3-32833) at 1/1,000 dilution.

Lane 1: Mouse liver tissue lysate
Lane 2: Mouse kidney tissue lysate
Lane 3: Rat liver tissue lysate

Lysates/proteins at 40 ug/Lane.

Predicted band size: 76 kDa
Observed band size: 70 kDa

Exposure time: 3 minutes 10 seconds;

4-20% SDS-PAGE gel.

Proteins were transferred to a PVDF membrane and blocked with 5% NFDM/TBST for 1 hour at room temperature. The primary antibody (NBP3-32833) at 1/1,000 dilution was used in 5% NFDM/TBST at room temperature for 2 hours. Goat Anti-Rabbit IgG - HRP Secondary Antibody at 1:100,000 dilution was used for 1 hour at room temperature.
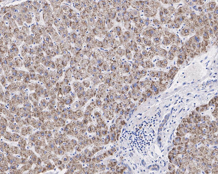
PMP70 Antibody (JE39-00)

Immunohistochemistry: PMP70 Antibody (JE39-00) [NBP3-32833]

Immunohistochemistry: PMP70 Antibody (JE39-00) [NBP3-32833] - Immunohistochemical analysis of paraffin-embedded human liver tissue with Rabbit anti-PMP70 antibody (NBP3-32833) at 1/1,000 dilution.

The section was pre-treated using heat mediated antigen retrieval with Tris-EDTA buffer (pH 9.0) for 20 minutes. The tissues were blocked in 1% BSA for 20 minutes at room temperature, washed with ddH2O and PBS, and then probed with the primary antibody (NBP3-32833) at 1/1,000 dilution for 1 hour at room temperature. The detection was performed using an HRP conjugated compact polymer system. DAB was used as the chromogen. Tissues were counterstained with hematoxylin and mounted with DPX.

Applications for PMP70 Antibody (JE39-00)

Application
Recommended Usage

Immunohistochemistry-Paraffin

1:1000

Western Blot

1:1000

Formulation, Preparation, and Storage

Purification

Protein A purified

Formulation

1*TBS (pH7.4), 0.05% BSA and 40% Glycerol

Preservative

0.05% Sodium Azide

Concentration

1 mg/ml

Shipping

The product is shipped with polar packs. Upon receipt, store it immediately at the temperature recommended below.

Stability & Storage

Store at 4C short term. Aliquot and store at -20C long term. Avoid freeze-thaw cycles.

Background: PMP70

PMP70 is encoded by this gene is a member of the superfamily of ATP-binding cassette (ABC) transporters. ABC proteins transport various molecules across extra- and intra-cellular membranes. ABC genes are divided into seven distinct subfamilies (ABC1, MDR/TAP, MRP, ALD, OABP, GCN20, White). This protein is a member of the ALD subfamily, which is involved in peroxisomal import of fatty acids and/or fatty acyl-CoAs in the organelle. All known peroxisomal ABC transporters are half transporters which require a partner half transporter molecule to form a functional homodimeric or heterodimeric transporter. This peroxisomal membrane protein likely plays an important role in peroxisome biogenesis. Mutations have been associated with some forms of Zellweger syndrome, a heterogeneous group of peroxisome assembly disorders. Alternative splicing results in multiple transcript variants encoding distinct isoforms.

Alternate Names

70 kDa peroxisomal membrane protein, ABC43, ATP-binding cassette, sub-family D (ALD), member 3, peroxisomal membrane protein 1 (70kD, Zellweger syndrome), Peroxisomal membrane protein-1 (70kD), PMP70ATP-binding cassette sub-family D member 3, PXMP1dJ824O18.1 (ATP-binding cassette, sub-family D (ALD), member 3 (PMP70, PXMP1)), ZWS2

Gene Symbol

ABCD3

Additional PMP70 Products

Product Documents for PMP70 Antibody (JE39-00)

Certificate of Analysis

To download a Certificate of Analysis, please enter a lot number in the search box below.

Product Specific Notices for PMP70 Antibody (JE39-00)

This product is for research use only and is not approved for use in humans or in clinical diagnosis. Primary Antibodies are guaranteed for 1 year from date of receipt.

Loading...
Loading...
Loading...
Loading...