Skip to main content

PMCA1 Antibody (5F10)

Novus Biologicals, part of Bio-Techne | Catalog # NB300-578

Novus Biologicals, part of Bio-Techne
Catalog #
Availability
Size / Price
Qty
Loading...
NB300-578
NB300-578-0.025ml

Key Product Details

Species Reactivity

Validated:

Human, Mouse, Rat, Porcine, Amphibian, Canine, Chicken, Feline, Hamster, Primate, Rabbit, Sheep

Cited:

Human, Mouse

Applications

Validated:

Immunohistochemistry, Immunohistochemistry-Paraffin, Immunohistochemistry-Frozen, Western Blot, Flow Cytometry, Immunocytochemistry/ Immunofluorescence, Immunoprecipitation

Cited:

Western Blot

Label

Unconjugated

Antibody Source

Monoclonal Mouse IgG2A Clone # 5F10

Concentration

This product is unpurified. The exact concentration of antibody is not quantifiable.

Product Specifications

Immunogen

Purified human erythrocyte calcium ATPase.

Epitope

This antibody recognizes an epitope between amino acids 724-783 of the human erythrocyte calcium pump.

Reactivity Notes

Hamster reactivity reported in scientific literature (PMID: 11022033). Porcine reactivity reported in scientific literature (PMID: 17680983). Please note that this antibody is reactive to Mouse and derived from the same host, Mouse. Additional Mouse on Mouse blocking steps may be required for IHC and ICC experiments. Please contact Technical Support for more information.

Clonality

Monoclonal

Host

Mouse

Isotype

IgG2A

Scientific Data Images for PMCA1 Antibody (5F10)

Western Blot: PMCA1 Antibody (5F10) [NB300-578]

Western Blot: PMCA1 Antibody (5F10) [NB300-578]

Western Blot: PMCA1 Antibody (5F10) [NB300-578] - Analysis of 25 ug of U251 (lane 1), human brain (lane 2) and C2C12 (lane 3).
Immunocytochemistry/ Immunofluorescence: PMCA1 Antibody (5F10) [NB300-578]

Immunocytochemistry/ Immunofluorescence: PMCA1 Antibody (5F10) [NB300-578]

Immunocytochemistry/Immunofluorescence: PMCA1 Antibody (5F10) [NB300-578] - Analysis of PMCA ATPase using Anti-PMCA ATPase Monoclonal Antibody (5F10) shows staining in U251 Cells. PMCA ATPase staining (green), F-Actin staining with Phalloidin (red) and nuclei with DAPI (blue) is shown. Cells were grown on chamber slides and fixed with formaldehyde prior to staining. Cells were probed without (control) or with or an antibody recognizing PMCA ATPase at a dilution of 1:200 over night at 4C, washed with PBS and incubated with a DyLight-488 conjugated.
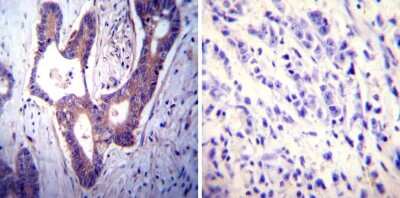
Immunohistochemistry-Paraffin: PMCA1 Antibody (5F10) [NB300-578]

Immunohistochemistry-Paraffin: PMCA1 Antibody (5F10) [NB300-578]

Immunohistochemistry-Paraffin: PMCA1 Antibody (5F10) [NB300-578] - Both normal and cancer biopsies of deparaffinized Human colon carcinoma tissues.

Applications for PMCA1 Antibody (5F10)

Application
Recommended Usage

Flow Cytometry

1 ug

Immunocytochemistry/ Immunofluorescence

1:10-1:500

Immunohistochemistry-Frozen

1:10 - 1:500

Immunohistochemistry-Paraffin

1:500

Immunoprecipitation

1:10 - 1:500

Western Blot

1:1000 - 1:5000
Application Notes
Blocking/Neutralizing and ELISA usages were reported in scientific literature.

Formulation, Preparation, and Storage

Purification

Unpurified

Formulation

Ascites

Preservative

0.05% Sodium Azide

Concentration

This product is unpurified. The exact concentration of antibody is not quantifiable.

Shipping

The product is shipped with polar packs. Upon receipt, store it immediately at the temperature recommended below.

Stability & Storage

Store at -20C. Avoid freeze-thaw cycles.

Background: PMCA1

The calcium pump of the plasma membrane (PMCA ATPase) pumps calcium from the cytosol to the extracellular space. This membrane-bound enzyme is related to a number of other ATPases including the sarcoplasmic and endoplasmic reticulum calcium (SERCA) ATPase and the sodium/potassium pump. Studies indicate that there are four known isoforms of the PMCA ATPase which are encoded by a multigene family.

Alternate Names

ATPase, Ca++ transporting, plasma membrane 1, EC 3.6.3, EC 3.6.3.8, plasma membrane calcium ATPase, Plasma membrane calcium ATPase isoform 1, plasma membrane calcium pump, Plasma membrane calcium pump isoform 1, plasma membrane calcium-ATPase, PMCA1kb, PMCA1plasma membrane calcium-transporting ATPase 1

Entrez Gene IDs

490 (Human); 67972 (Mouse); 29598 (Rat); 374244 (Chicken); 100009543 (Rabbit)

Gene Symbol

ATP2B1

UniProt

Additional PMCA1 Products

Product Documents for PMCA1 Antibody (5F10)

Certificate of Analysis

To download a Certificate of Analysis, please enter a lot number in the search box below.

Product Specific Notices for PMCA1 Antibody (5F10)

This product is for research use only and is not approved for use in humans or in clinical diagnosis. Primary Antibodies are guaranteed for 1 year from date of receipt.

Loading...
Loading...
Loading...
Loading...
Loading...