Skip to main content

PLRG1 Antibody - BSA Free

Novus Biologicals, part of Bio-Techne | Catalog # NBP1-31265

Novus Biologicals, part of Bio-Techne
Catalog #
Availability
Size / Price
Qty
Loading...
NBP1-31265

Key Product Details

Species Reactivity

Validated:

Human, Mouse

Predicted:

Bovine (100%), Porcine (100%), Primate (100%), Rat (100%), Xenopus (100%). Backed by our 100% Guarantee.

Applications

Immunohistochemistry, Immunohistochemistry-Paraffin, Western Blot, Immunocytochemistry/ Immunofluorescence

Label

Unconjugated

Antibody Source

Polyclonal Rabbit IgG

Format

BSA Free

Concentration

Concentrations vary lot to lot. See vial label for concentration. If unlisted please contact technical services.

Product Specifications

Immunogen

Carrier-protein conjugated synthetic peptide encompassing a sequence within the C-terminus region of human PLRG1. The exact sequence is proprietary.

Localization

Nucleus speckle

Clonality

Polyclonal

Host

Rabbit

Isotype

IgG

Theoretical MW

57 kDa.
Disclaimer note: The observed molecular weight of the protein may vary from the listed predicted molecular weight due to post translational modifications, post translation cleavages, relative charges, and other experimental factors.

Scientific Data Images for PLRG1 Antibody - BSA Free

Western Blot: PLRG1 Antibody [NBP1-31265]

Western Blot: PLRG1 Antibody [NBP1-31265]

Western Blot: PLRG1 Antibody [NBP1-31265] - Sample (30 ug of whole cell lysate) A: Hep G2 7. 5% SDS PAGE; antibody diluted at 1:1000.
PLRG1 Antibody

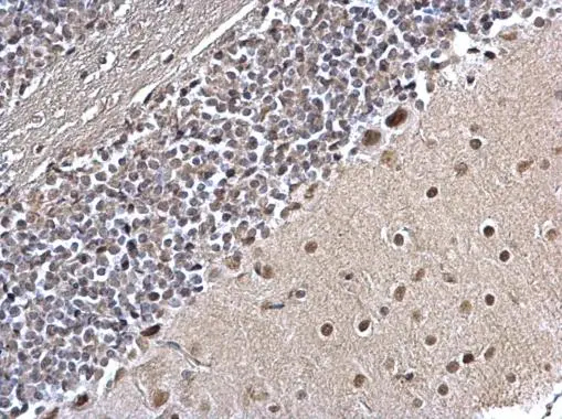
Immunohistochemistry: PLRG1 Antibody [NBP1-31265] -

Immunohistochemistry: PLRG1 Antibody [NBP1-31265] - PLRG1 antibody [C3], C-term detects PLRG1 protein at nucleus on mouse hind brain by immunohistochemical analysis.
Sample: Paraffin-embedded mouse hind brain.
PLRG1 antibody [C3], C-term (NBP1-31265) dilution: 1:500.

Antigen Retrieval: Trilogy™ (EDTA based, pH 8.0) buffer, 15min
PLRG1 Antibody - BSA Free

Immunocytochemistry/ Immunofluorescence: PLRG1 Antibody [NBP1-31265] -

PLRG1 antibody [C3], C-term detects PLRG1 protein at nucleus by immunofluorescent analysis.
Sample: H1299 cells were fixed in 4% paraformaldehyde at RT for 15 min.
Green: PLRG1 protein stained by PLRG1 antibody [C3], C-term (NBP1-31265) diluted at 1:500.
Blue: Hoechst 33342 staining.

Applications for PLRG1 Antibody - BSA Free

Application
Recommended Usage

Immunocytochemistry/ Immunofluorescence

1:100-1:1000

Immunohistochemistry

1:100-1:1000

Immunohistochemistry-Paraffin

1:100-1:1000

Western Blot

1:500-1:3000

Formulation, Preparation, and Storage

Purification

Antigen Affinity-purified

Formulation

PBS, 10% Glycerol

Format

BSA Free

Preservative

0.01% Thimerosal

Concentration

Concentrations vary lot to lot. See vial label for concentration. If unlisted please contact technical services.

Shipping

The product is shipped with polar packs. Upon receipt, store it immediately at the temperature recommended below.

Stability & Storage

Aliquot and store at -20C or -80C. Avoid freeze-thaw cycles.

Background: PLRG1

PLRG1 is a spliceosomal protein that is highly conserved across species. PLRG1 has been shown to be part of sub-spliceosomal protein complexes that are essential for pre-mRNA splicing in both yeast and humans. PLRG1 and CDC5L interact directly in vitro. This interaction is mediated by WD40 regions in PLRG1 and the C-terminal domain of CDC5L.

Alternate Names

MGC110980, pleiotropic regulator 1 (PRL1 homolog, Arabidopsis), PRL1Arabidopsis homolog)

Gene Symbol

PLRG1

Additional PLRG1 Products

Product Documents for PLRG1 Antibody - BSA Free

Certificate of Analysis

To download a Certificate of Analysis, please enter a lot number in the search box below.

Product Specific Notices for PLRG1 Antibody - BSA Free

This product is for research use only and is not approved for use in humans or in clinical diagnosis. Primary Antibodies are guaranteed for 1 year from date of receipt.

Loading...
Loading...
Loading...
Loading...

⚠ WARNING: This product can expose you to chemicals including mercury, which is known to the State of California to cause reproductive toxicity with developmental effects.  For more information go to www.P65Warnings.ca.gov.