PLP2 Antibody - BSA Free
Novus Biologicals, part of Bio-Techne | Catalog # NBP3-06290
Conjugate
Catalog #
Key Product Details
Species Reactivity
Human
Applications
Immunohistochemistry, Immunohistochemistry-Paraffin
Label
Unconjugated
Antibody Source
Polyclonal Rabbit IgG
Format
BSA Free
Concentration
Please see the vial label for concentration. If unlisted please contact technical services.
Product Specifications
Immunogen
Produced in rabbits immunized with E. coli-derived Human PLP2 fragment.
Clonality
Polyclonal
Host
Rabbit
Isotype
IgG
Description
This antibody can be stored at 2C-8C for one month without detectable loss of activity. Antibody products are stable for twelve months from date of receipt when stored at -20C to -80C. Avoid repeated freeze-thaw cycles.
Scientific Data Images for PLP2 Antibody - BSA Free
Immunohistochemistry-Paraffin: PLP2 Antibody [NBP3-06290]
Immunohistochemistry-Paraffin: PLP2 Antibody [NBP3-06290] - Immunochemical staining of human PLP2 in human liver with rabbit polyclonal antibody at 1:100 dilution, formalin-fixed paraffin embedded sections.Immunohistochemistry: PLP2 Antibody [NBP3-06290]
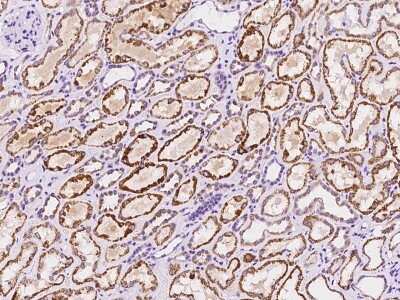
Immunohistochemistry: PLP2 Antibody [NBP3-06290] - Immunochemical staining of human PLP2 in human kidney with rabbit polyclonal antibody at 1:100 dilution, formalin-fixed paraffin embedded sections.Applications for PLP2 Antibody - BSA Free
Application
Recommended Usage
Immunohistochemistry-Paraffin
1:50-1:200
Formulation, Preparation, and Storage
Purification
Antigen and protein A Affinity-purified
Formulation
PBS
Format
BSA Free
Preservative
0.03% Proclin 300
Concentration
Please see the vial label for concentration. If unlisted please contact technical services.
Shipping
The product is shipped with polar packs. Upon receipt, store it immediately at the temperature recommended below.
Stability & Storage
Store at 4C short term. Aliquot and store at -20C long term. Avoid freeze-thaw cycles.
Background: PLP2
Alternate Names
A4 differentiation-dependent protein, A4A4LSB, A4-LSB, Differentiation-dependent protein A4, Intestinal membrane A4 protein, MGC126187, proteolipid protein 2, proteolipid protein 2 (colonic epithelium-enriched)
Gene Symbol
PLP2
Additional PLP2 Products
Product Specific Notices for PLP2 Antibody - BSA Free
This product is for research use only and is not approved for use in humans or in clinical diagnosis. Primary Antibodies are guaranteed for 1 year from date of receipt.
Loading...
Loading...
Loading...
Loading...