Skip to main content

PLK2 Antibody - BSA Free

Novus Biologicals, part of Bio-Techne | Catalog # NBP2-15078

Novus Biologicals, part of Bio-Techne
Catalog #
Availability
Size / Price
Qty
Loading...
NBP2-15078

Key Product Details

Species Reactivity

Validated:

Human, Mouse

Predicted:

Bovine (98%), Rat (98%). Backed by our 100% Guarantee.

Applications

Immunohistochemistry, Immunohistochemistry-Paraffin, Western Blot

Label

Unconjugated

Antibody Source

Polyclonal Rabbit IgG

Format

BSA Free

Concentration

Concentrations vary lot to lot. See vial label for concentration. If unlisted please contact technical services.

Product Specifications

Immunogen

Recombinant protein encompassing a sequence within the center region of human PLK2. The exact sequence is proprietary.

Reactivity Notes

Xenopus laevis (89%).

Clonality

Polyclonal

Host

Rabbit

Isotype

IgG

Theoretical MW

78 kDa.
Disclaimer note: The observed molecular weight of the protein may vary from the listed predicted molecular weight due to post translational modifications, post translation cleavages, relative charges, and other experimental factors.

Scientific Data Images for PLK2 Antibody - BSA Free

Western Blot: PLK2 Antibody [NBP2-15078]

Western Blot: PLK2 Antibody [NBP2-15078]

Western Blot: PLK2 Antibody [NBP2-15078] - Sample (30 ug of whole cell lysate) A: A549 7. 5% SDS PAGE; antibody diluted at 1:1000.
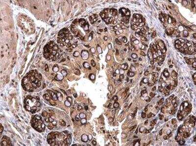
Immunohistochemistry-Paraffin: PLK2 Antibody [NBP2-15078]

Immunohistochemistry-Paraffin: PLK2 Antibody [NBP2-15078]

Immunohistochemistry-Paraffin: PLK2 Antibody [NBP2-15078] - Mouse colon, dilution: 1:500. Antigen Retrieval: Trilogy™ (EDTA based, pH 8.0) buffer, 15min.
PLK2 Antibody - BSA Free

Western Blot: PLK2 Antibody - BSA Free [NBP2-15078] -

HBI-002 effects on autophagy, lysosomes and cathepsin D.a Immunoblots of autophagy and lysosomal activity markers. b Quantification of autophagy and lysosomal activity markers. Ctsd (p = 0.002, 1-beta = 0.99, N = 8, 4 per group) and Plk2 (p = 0.006, 1-beta = 0.99, N = 8, 4 per group), all other markers p > 0.05. c Representative photomicrographs of sir-lysosome staining in SH-SY5Y human neuroblastomas. d Quantification of sir-lysosome staining p = 0.0002, 1-beta = 0.95, N = 38 cells, air treated n = 23, CO-treated n = 14. Error bars represent the mean +/- SEM. Data are statistically different from each other with *** P < 0.001. Image collected and cropped by CiteAb from the following open publication (https://www.nature.com/articles/s41531-024-00763-6), licensed under a CC-BY license. Not internally tested by Novus Biologicals.

Applications for PLK2 Antibody - BSA Free

Application
Recommended Usage

Immunohistochemistry

1:100-1:1000

Immunohistochemistry-Paraffin

1:100-1:1000

Western Blot

1:500-1:3000

Formulation, Preparation, and Storage

Purification

Antigen Affinity-purified

Formulation

PBS, 20% Glycerol

Format

BSA Free

Preservative

0.025% Proclin 300

Concentration

Concentrations vary lot to lot. See vial label for concentration. If unlisted please contact technical services.

Shipping

The product is shipped with polar packs. Upon receipt, store it immediately at the temperature recommended below.

Stability & Storage

Aliquot and store at -20C or -80C. Avoid freeze-thaw cycles.

Background: PLK2

Serum-inducible kinase is a member of the 'polo' family of serine/threonine protein kinases that have a role in normal cell division.[supplied by OMIM]

Long Name

Serine/threonine-protein kinase PLK2

Alternate Names

EC 2.7.11.21, hPlk2, hSNK, PLK-2, Polo-like kinase 2, SNK

Gene Symbol

PLK2

UniProt

Additional PLK2 Products

Product Documents for PLK2 Antibody - BSA Free

Certificate of Analysis

To download a Certificate of Analysis, please enter a lot number in the search box below.

Product Specific Notices for PLK2 Antibody - BSA Free

This product is for research use only and is not approved for use in humans or in clinical diagnosis. Primary Antibodies are guaranteed for 1 year from date of receipt.

Loading...
Loading...
Loading...
Loading...

⚠ WARNING: This product can expose you to chemicals including mercury, which is known to the State of California to cause reproductive toxicity with developmental effects.  For more information go to www.P65Warnings.ca.gov.