Skip to main content

Plectin Antibody - BSA Free

Novus Biologicals, part of Bio-Techne | Catalog # NBP1-84019

Novus Biologicals, part of Bio-Techne
Catalog #
Availability
Size / Price
Qty
Loading...
NBP1-84019
NBP1-84019-25ul

Key Product Details

Validated by

Orthogonal Validation, Independent Antibodies

Species Reactivity

Validated:

Human

Predicted:

Mouse (90%), Rat (92%). Backed by our 100% Guarantee.

Applications

Immunohistochemistry, Immunohistochemistry-Paraffin, Immunocytochemistry/ Immunofluorescence

Label

Unconjugated

Antibody Source

Polyclonal Rabbit IgG

Format

BSA Free

Concentration

Concentrations vary lot to lot. See vial label for concentration. If unlisted please contact technical services.

Product Specifications

Immunogen

This antibody was developed against Recombinant Protein corresponding to amino acids: TEIIRQQGLASYDYVRRRLTAEDLFEARIISLETYNLLREGTRSLREALEAESAWCYLYGTGSVAGVYLPGSRQTLSIYQALKKGLLSAEVARLLLEAQAA

Clonality

Polyclonal

Host

Rabbit

Isotype

IgG

Scientific Data Images for Plectin Antibody - BSA Free

Immunohistochemistry-Paraffin: Plectin Antibody [NBP1-84019]

Immunohistochemistry-Paraffin: Plectin Antibody [NBP1-84019]

Immunohistochemistry-Paraffin: Plectin Antibody [NBP1-84019] - Analysis in human skeletal muscle and liver tissues using NBP1-84019 antibody. Corresponding PLEC RNA-seq data are presented for the same tissues.
Immunohistochemistry-Paraffin: Plectin Antibody [NBP1-84019]

Immunohistochemistry-Paraffin: Plectin Antibody [NBP1-84019]

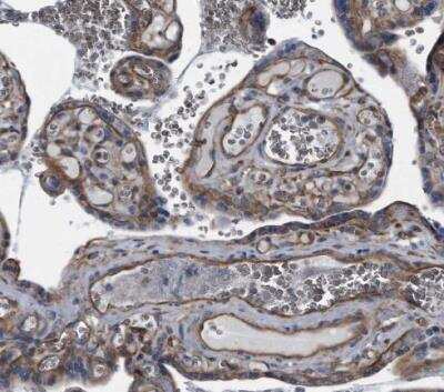
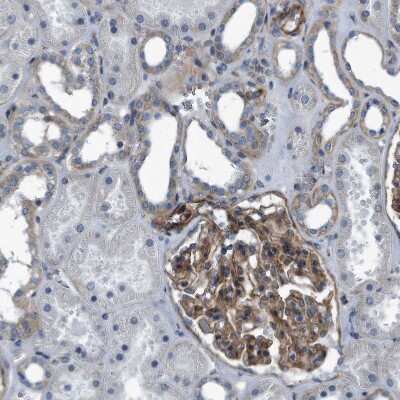
Immunohistochemistry-Paraffin: Plectin Antibody [NBP1-84019] - Staining of human kidney, liver, placenta and skeletal muscle using Anti-Plectin antibody NBP1-84019 (A) shows similar protein distribution across tissues to independent antibody NBP1-84020 (B).
Immunocytochemistry/ Immunofluorescence: Plectin Antibody [NBP1-84019]

Immunocytochemistry/ Immunofluorescence: Plectin Antibody [NBP1-84019]

Immunocytochemistry/Immunofluorescence: Plectin Antibody [NBP1-84019] - Staining of human cell line U-251 MG shows localization to cytosol, intermediate filaments and focal adhesion sites. Antibody staining is shown in green.

Applications for Plectin Antibody - BSA Free

Application
Recommended Usage

Immunocytochemistry/ Immunofluorescence

0.25-2 ug/ml

Immunohistochemistry

1:200 - 1:500

Immunohistochemistry-Paraffin

1:200 - 1:500
Application Notes
For IHC-Paraffin, HIER pH 6 retrieval is recommended. ICC/IF Fixation Permeabilization: Use PFA/Triton X-100.

Formulation, Preparation, and Storage

Purification

Affinity purified

Formulation

PBS (pH 7.2) and 40% Glycerol

Format

BSA Free

Preservative

0.02% Sodium Azide

Concentration

Concentrations vary lot to lot. See vial label for concentration. If unlisted please contact technical services.

Shipping

The product is shipped with polar packs. Upon receipt, store it immediately at the temperature recommended below.

Stability & Storage

Store at 4C short term. Aliquot and store at -20C long term. Avoid freeze-thaw cycles.

Background: Plectin

Plectin, a 500-kDa intermediate filament binding protein, is localized to the cytoplasm and acts to both stabilize and give strength to cells via cross-linking (1). Plectin cross-links intermediate filaments to microtubules and microfilaments, and anchors intermediate filaments to the plasma and nuclear membranes (2,3). Plectin binds many proteins, including actin, vimentin, and Lamin B. Phosphorylation by PKA or PKC results in decreased binding to Lamin B, and phosphorylation by PKA enhances the plectin-vimentin interactions (4).

Alternate Names

EBS1, HD1, Hemidesmosomal protein 1, LGMD2Q, PCNplectin 1, intermediate filament binding protein, 500kD, PLEC1b, PLEC1EBSO, plectin, plectin 1, intermediate filament binding protein 500kDa, plectin-1, PLTNepidermolysis bullosa simplex 1 (Ogna)

Gene Symbol

PLEC

Additional Plectin Products

Product Documents for Plectin Antibody - BSA Free

Certificate of Analysis

To download a Certificate of Analysis, please enter a lot number in the search box below.

Product Specific Notices for Plectin Antibody - BSA Free

This product is for research use only and is not approved for use in humans or in clinical diagnosis. Primary Antibodies are guaranteed for 1 year from date of receipt.

Loading...
Loading...
Loading...
Loading...