PLCXD3 Antibody - BSA Free
Novus Biologicals, part of Bio-Techne | Catalog # NBP2-13769
Key Product Details
Species Reactivity
Validated:
Human
Predicted:
Mouse (98%), Rat (99%). Backed by our 100% Guarantee.
Applications
Immunohistochemistry, Immunohistochemistry-Paraffin, Immunocytochemistry/ Immunofluorescence
Label
Unconjugated
Antibody Source
Polyclonal Rabbit IgG
Format
BSA Free
Concentration
Concentrations vary lot to lot. See vial label for concentration. If unlisted please contact technical services.
Product Specifications
Immunogen
This antibody was developed against a recombinant protein corresponding to the amino acids: QFLQASITERRKKGSFFISQVVLTPKASTVVKGVASGLRETITERALPAMMQWVRTQKPGESGINIVTADFVELGDFISTVIKLNYVFDEGEANT
Clonality
Polyclonal
Host
Rabbit
Isotype
IgG
Description
Novus Biologicals Rabbit PLCXD3 Antibody - BSA Free (NBP2-13769) is a polyclonal antibody validated for use in IHC and ICC/IF. All Novus Biologicals antibodies are covered by our 100% guarantee.
Scientific Data Images for PLCXD3 Antibody - BSA Free
Immunocytochemistry/ Immunofluorescence: PLCXD3 Antibody [NBP2-13769]
Immunocytochemistry/Immunofluorescence: PLCXD3 Antibody [NBP2-13769] - Staining of human cell line SH-SY5Y shows localization to the Golgi apparatus.Immunohistochemistry-Paraffin: PLCXD3 Antibody [NBP2-13769]
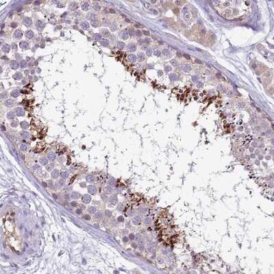
Immunohistochemistry-Paraffin: PLCXD3 Antibody [NBP2-13769] - Staining of human testis shows distinct cytoplasmic and nuclear positivity in subset of cells in seminiferus ducts.Immunohistochemistry-Paraffin: PLCXD3 Antibody [NBP2-13769] -
Immunohistochemistry-Paraffin: PLCXD3 Antibody [NBP2-13769] - Staining of human heart muscle shows moderate cytoplasmic positivity in cardiomyocytes.Applications for PLCXD3 Antibody - BSA Free
Application
Recommended Usage
Immunocytochemistry/ Immunofluorescence
0.25-2 ug/ml
Immunohistochemistry
1:20 - 1:50
Immunohistochemistry-Paraffin
1:20 - 1:50
Application Notes
For IHC-Paraffin, HIER pH 6 retrieval is recommended. ICC/IF,Fixation Permeabilization: Use PFA/Triton X-100.
Formulation, Preparation, and Storage
Purification
Affinity purified
Formulation
PBS (pH 7.2) and 40% Glycerol
Format
BSA Free
Preservative
0.02% Sodium Azide
Concentration
Concentrations vary lot to lot. See vial label for concentration. If unlisted please contact technical services.
Shipping
The product is shipped with polar packs. Upon receipt, store it immediately at the temperature recommended below.
Stability & Storage
Store at 4C short term. Aliquot and store at -20C long term. Avoid freeze-thaw cycles.
Background: PLCXD3
Alternate Names
phosphatidylinositol-specific phospholipase C, X domain containing 3, PI-PLC X domain-containing protein 3
Gene Symbol
PLCXD3
Additional PLCXD3 Products
Product Documents for PLCXD3 Antibody - BSA Free
Product Specific Notices for PLCXD3 Antibody - BSA Free
This product is for research use only and is not approved for use in humans or in clinical diagnosis. Primary Antibodies are guaranteed for 1 year from date of receipt.
Loading...
Loading...
Loading...
Loading...